Telefon:
+49 (0)241 95 163 153
Fax:
+49 (0)241 95 163 155
E-Mail:
orders@antikoerper-online.de

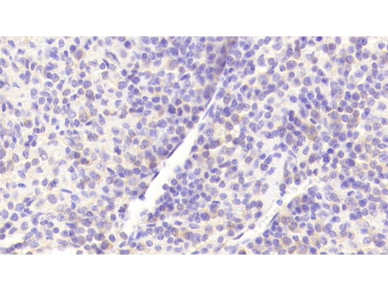
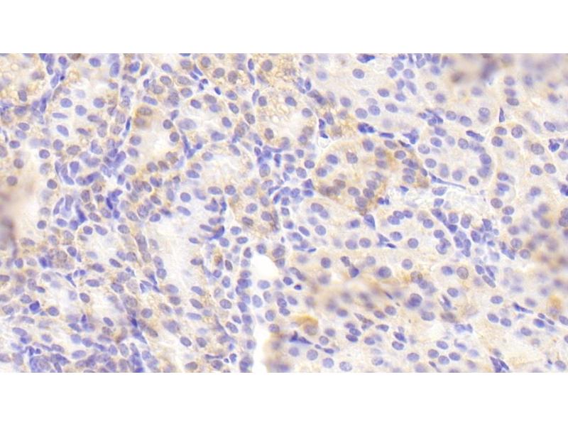
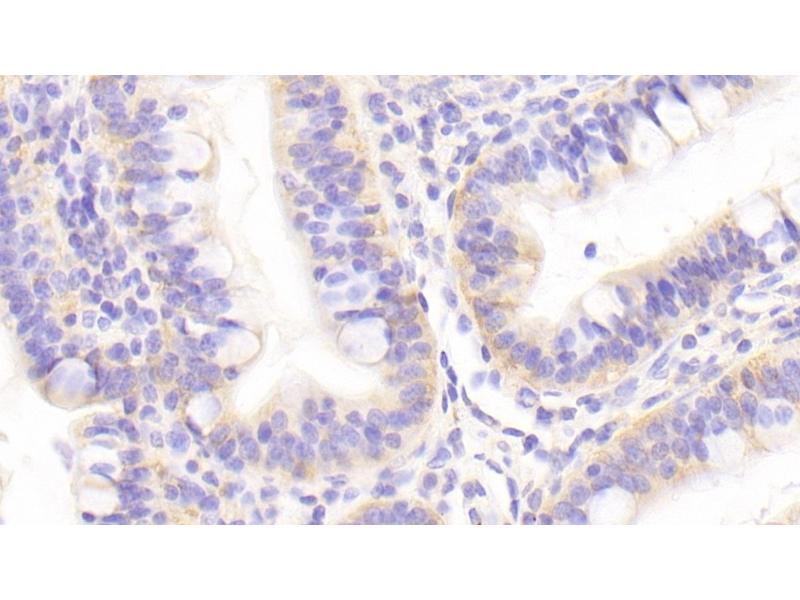
GOLM1 Antikörper (AA 119-223)

Der Kaninchen Polyklonal anti-GOLM1 Antikörper (ABIN7433906) detektiert spezifisch GOLM1 in WB, IHC, ICC und IP. Dieser Antikörper reagiert spezifisch mit Proben aus Human.
Produktnummer ABIN7433906
298,22 €
Zzgl. Versandkosten 20,00 € und MwSt
Lieferung nach: Deutschland
Lieferung in 11 bis 15 Werktagen

Kurzübersicht für GOLM1 Antikörper (AA 119-223) (ABIN7433906)

Target

Alle GOLM1 Antikörper anzeigen
GOLM1 (Golgi Membrane Protein 1 (GOLM1))

Reaktivität

  • 91
  • 37
  • 28
  • 3
  • 2
  • 2
  • 2
  • 1
  • 1
  • 1
  • 1
  • 1
Human

Wirt

  • 66
  • 33
  • 1
Kaninchen

Klonalität

  • 51
  • 49
Polyklonal

Konjugat

  • 54
  • 14
  • 6
  • 3
  • 3
  • 3
  • 3
  • 3
  • 3
  • 3
  • 1
  • 1
  • 1
  • 1
  • 1
Dieser GOLM1 Antikörper ist unkonjugiert

Applikation

  • 73
  • 43
  • 34
  • 30
  • 23
  • 22
  • 10
  • 5
  • 2
  • 2
  • 2
  • 2
  • 1
  • 1
  • 1
Western Blotting (WB), Immunohistochemistry (IHC), Immunocytochemistry (ICC), Immunoprecipitation (IP)
  • Bindungsspezifität

    • 7
    • 4
    • 4
    • 3
    • 3
    • 2
    • 2
    • 2
    • 1
    • 1
    • 1
    • 1
    • 1
    • 1
    • 1
    • 1
    • 1
    • 1
    • 1
    • 1
    AA 119-223

    Verwendungszweck

    Polyclonal Antibody to Golgi Phosphoprotein 2 (GOLPH2)

    Spezifität

    The antibody is a rabbit polyclonal antibody raised against GOLPH2. It has been selected for its ability to recognize GOLPH2 in immunohistochemical staining and western blotting.

    Kreuzreaktivität

    Schwein, Ratte

    Aufreinigung

    Antigen-specific affinity chromatography followed by Protein A affinity chromatography

    Immunogen

    Recombinant Golgi Phosphoprotein 2 (GOLPH2) corresdonding to Val119~Gly223 with N-terminal His and GST Tag

    Isotyp

    IgG
  • Applikationshinweise

    Western blotting: 0.5-5 μg/mL,Immunohistochemistry: 5-20 μg/mL,Immunocytochemistry: 5-20 μg/mL,Optimal working dilutions must be determined by end user.

    Kommentare

    The thermal stability is described by the loss rate. The loss rate was determined by accelerated thermal degradation test, that is, incubate the protein at 37°C for 48h, and no obvious degradation and precipitation were observed. The loss rate is less than 5% within the expiration date under appropriate storage condition.

    Beschränkungen

    Nur für Forschungszwecke einsetzbar
  • Format

    Liquid

    Konzentration

    500 μg/mL

    Buffer

    PBS, pH 7.4, containing 0.02 % Sodium azide, 50 % glycerol.

    Konservierungsmittel

    Sodium azide

    Vorsichtsmaßnahmen

    This product contains Sodium azide: a POISONOUS AND HAZARDOUS SUBSTANCE which should be handled by trained staff only.

    Lagerung

    4 °C,-20 °C

    Informationen zur Lagerung

    Store at 4°C for frequent use. Stored at -20°C in a manual defrost freezer for two year without detectable loss of activity. Avoid repeated freeze-thaw cycles.

    Haltbarkeit

    24 months
  • Target

    GOLM1 (Golgi Membrane Protein 1 (GOLM1))

    Andere Bezeichnung

    GOLPH2

    Hintergrund

    GOLM1, GP73, C9orf155, Golgi Membrane Protein 1, Golgi Protein 73

    UniProt

    Q8NBJ4
Sie sind hier:
Chat with us!