Telefon:
+49 (0)241 95 163 153
Fax:
+49 (0)241 95 163 155
E-Mail:
orders@antikoerper-online.de

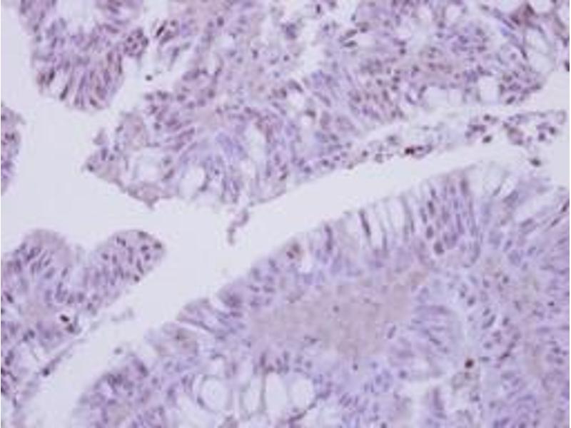
COPS3 Antikörper (AA 139-390)

Der Kaninchen Polyklonal anti-COPS3 Antikörper (ABIN1497573) detektiert spezifisch COPS3 in WB, IHC, IF, ICC und IHC (p). Dieser Antikörper reagiert spezifisch mit Proben aus Human und Ratte.
Produktnummer ABIN1497573
833,74 €
Zzgl. Versandkosten 20,00 € und MwSt
100 μL
Lieferung nach: Deutschland
Lieferung in 15 bis 20 Werktagen

Kurzübersicht für COPS3 Antikörper (AA 139-390) (ABIN1497573)

Target

Alle COPS3 Antikörper anzeigen
COPS3 (COP9 Signalosome Complex Subunit 3 (COPS3))

Reaktivität

  • 64
  • 33
  • 32
  • 7
  • 7
  • 4
  • 4
  • 4
  • 4
  • 4
  • 2
  • 2
  • 1
  • 1
Human, Ratte

Wirt

  • 58
  • 5
  • 1
Kaninchen

Klonalität

  • 45
  • 19
Polyklonal

Konjugat

  • 34
  • 3
  • 2
  • 2
  • 2
  • 2
  • 2
  • 2
  • 1
  • 1
  • 1
  • 1
  • 1
  • 1
  • 1
  • 1
  • 1
  • 1
  • 1
  • 1
  • 1
  • 1
  • 1
Dieser COPS3 Antikörper ist unkonjugiert

Applikation

  • 42
  • 25
  • 22
  • 15
  • 15
  • 14
  • 13
  • 8
  • 6
  • 4
  • 3
  • 1
Western Blotting (WB), Immunohistochemistry (IHC), Immunofluorescence (IF), Immunocytochemistry (ICC), Immunohistochemistry (Paraffin-embedded Sections) (IHC (p))
  • Bindungsspezifität

    • 15
    • 3
    • 3
    • 3
    • 2
    • 2
    • 2
    • 1
    • 1
    • 1
    • 1
    • 1
    • 1
    • 1
    AA 139-390

    Spezifität

    Human COPS3

    Homologie

    Percent identity by BLAST analysis: Human, Rat (100%) Mouse (99%) Chicken (98%) Bovine (97%) Xenopus, Zebrafish (94%).

    Aufreinigung

    Immunoaffinity purified

    Immunogen

    Recombinant fragment corresponding to a region within amino acids 139 and 390 of COPS3 (SwissProt Q9UNS2). Percent identity by BLAST analysis: Human, Rat (100%), Mouse (99%), Chicken (98%), Bovine (97%), Xenopus, Zebrafish (94%).

    Type of Immunogen: Recombinant protein

    Isotyp

    IgG
  • Applikationshinweise

    Approved: ICC (1:100 - 1:1000), IF (1:100 - 1:1000), IHC, IHC-P (1:100 - 1:1000), WB (1:500 - 1:3000)

    Usage: Suggested starting dilutions are as follows: Western blot: 1:500-1:3000, IHC-Paraffin: 1:100-1:1000 [suggested antigen retrieval using heat mediated 10 mM Citrate buffer (  pH 6.0) or Tris-EDTA buffer (  pH 8.0)], ICC/IF: 1:100-1:1000. Not yet tested in other applications. Optimal working dilutions should be determined experimentally by the end user.

    Kommentare

    Target Species of Antibody: Human

    Beschränkungen

    Nur für Forschungszwecke einsetzbar
  • Format

    Liquid

    Konzentration

    Lot specific

    Buffer

    PBS,  pH 7, 1 % BSA, 20 % Glycerol, 0.01 % Thimerosal

    Konservierungsmittel

    Thimerosal (Merthiolate)

    Vorsichtsmaßnahmen

    This product contains Thimerosal (Merthiolate): a POISONOUS AND HAZARDOUS SUBSTANCE which should be handled by trained staff only.

    Handhabung

    Avoid freeze-thaw cycles.

    Lagerung

    -20 °C

    Informationen zur Lagerung

    Aliquot and freeze at -20°C. Avoid freeze-thaw cycles.
  • Target

    COPS3 (COP9 Signalosome Complex Subunit 3 (COPS3))

    Andere Bezeichnung

    COPS3 / CSN3

    Hintergrund

    Name/Gene ID: COPS3

    Synonyms: COPS3, COP9 complex subunit 3, SGN3, Signalosome subunit 3

    Gen-ID

    8533

    UniProt

    Q9UNS2

    Pathways

    Zellzyklus
Sie sind hier:
Chat with us!