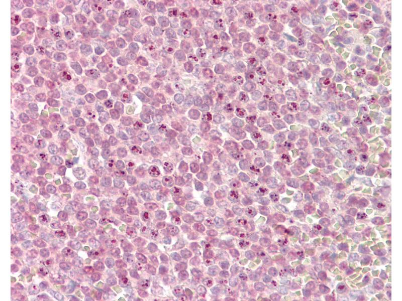
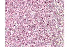
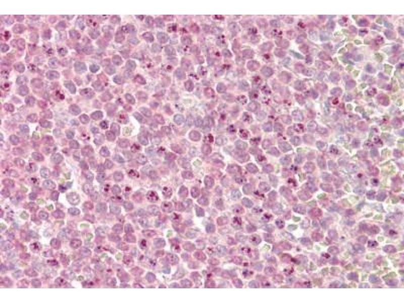
MLL2 Antikörper (AA 2-14)
Kurzübersicht für MLL2 Antikörper (AA 2-14) (ABIN1494780)
Target
Alle MLL2 Antikörper anzeigenReaktivität
Wirt
Klonalität
Konjugat
Applikation
-
-
Bindungsspezifität
- AA 2-14
-
Spezifität
- Human MLL2. The immunizing peptide was designed from NP_003473.1. Since then the sequence has changed in the databases and currently differs at two locations in NP_003473.3.
-
Homologie
- Percent identity by BLAST analysis: Human, Gorilla, Gibbon (85%).
-
Aufreinigung
- Immunoaffinity purified
-
Immunogen
-
Synthetic peptide DSQNLAGEDKDSQ-C from the N-terminus of human MLL2 (NP_003473.3). Percent identity by BLAST analysis: Human, Gorilla, Gibbon (85%).
Type of Immunogen: Synthetic peptide
-
-
-
-
Applikationshinweise
- Approved: IHC, IHC-P (3.75 μg/mL), Peptide-ELISA (1:16000)
-
Kommentare
-
Target Species of Antibody: Human
-
Beschränkungen
- Nur für Forschungszwecke einsetzbar
-
-
-
Format
- Liquid
-
Konzentration
- Lot specific
-
Buffer
- Tris-buffered saline, pH 7.3, 0.5 % BSA, 0.02 % sodium azide
-
Konservierungsmittel
- Sodium azide
-
Vorsichtsmaßnahmen
- This product contains Sodium azide: a POISONOUS AND HAZARDOUS SUBSTANCE which should be handled by trained staff only.
-
Handhabung
- Minimize freezing and thawing.
-
Lagerung
- -20 °C
-
Informationen zur Lagerung
- Store at -20°C. Avoid freeze-thaw cycles.
-
-
- MLL2 (Myeloid/lymphoid Or Mixed-Lineage Leukemia 2 (MLL2))
-
Andere Bezeichnung
- KMT2D / MLL2
-
Hintergrund
-
Name/Gene ID: KMT2D
Synonyms: KMT2D, AAD10, ALL1-related protein, KABUK1, KMS, Lysine N-methyltransferase 2D, MLL2, Kabuki make-up syndrome, ALR, CAGL114, KMT2B, Lysine N-methyltransferase 2B, TNRC21 -
Gen-ID
- 8085
-
NCBI Accession
- NP_003473
-
UniProt
- O14686
-
Pathways
- Intracellular Steroid Hormone Receptor Signaling Pathway, Regulation of Intracellular Steroid Hormone Receptor Signaling, Warburg Effekt
Target
-