Telefon:
+49 (0)241 95 163 153
Fax:
+49 (0)241 95 163 155
E-Mail:
orders@antikoerper-online.de

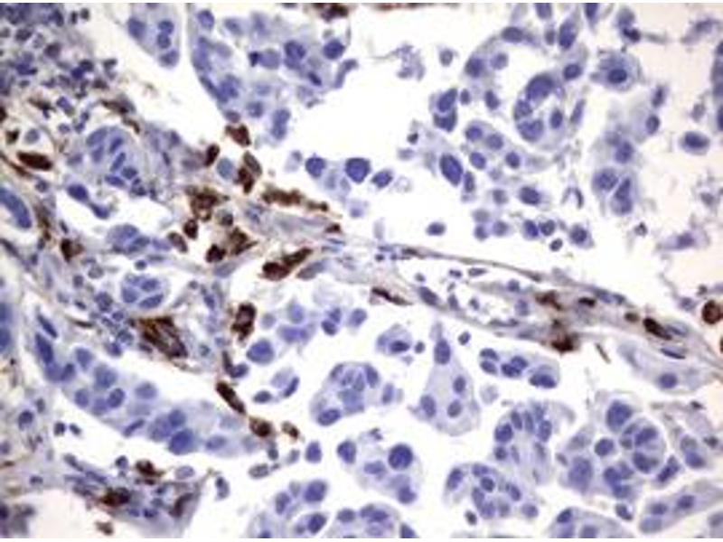
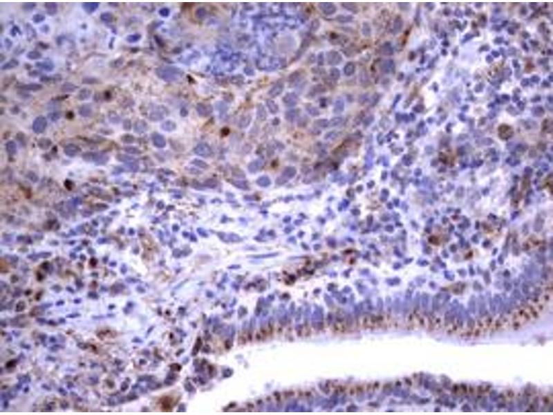
NEU1 Antikörper (AA 48-315)

Der Maus Monoklonal anti-NEU1 Antikörper wird verwendet zum Nachweis von NEU1 in Proben von Human. Er wurde validiert für WB, IHC und IHC (p).
Produktnummer ABIN1491548
806,47 €
Zzgl. Versandkosten 20,00 € und MwSt
100 μL
Lieferung nach: Deutschland
Lieferung in 15 bis 20 Werktagen

Kurzübersicht für NEU1 Antikörper (AA 48-315) (ABIN1491548)

Target

Alle NEU1 Antikörper anzeigen
NEU1 (Sialidase 1 (Lysosomal Sialidase) (NEU1))

Reaktivität

  • 55
  • 13
  • 13
  • 3
  • 2
  • 2
  • 1
  • 1
  • 1
  • 1
  • 1
Human

Wirt

  • 43
  • 15
Maus

Klonalität

  • 45
  • 13
Monoklonal

Konjugat

  • 33
  • 8
  • 7
  • 2
  • 1
  • 1
  • 1
  • 1
  • 1
  • 1
  • 1
  • 1
Dieser NEU1 Antikörper ist unkonjugiert

Applikation

  • 42
  • 23
  • 18
  • 6
  • 5
  • 5
  • 2
  • 1
  • 1
  • 1
  • 1
  • 1
  • 1
Western Blotting (WB), Immunohistochemistry (IHC), Immunohistochemistry (Paraffin-embedded Sections) (IHC (p))

Klon

3D4
  • Bindungsspezifität

    • 8
    • 7
    • 6
    • 5
    • 2
    • 1
    • 1
    • 1
    • 1
    • 1
    • 1
    • 1
    • 1
    • 1
    AA 48-315

    Spezifität

    Human NEU1 / NEU

    Aufreinigung

    Protein A/G purified

    Immunogen

    Human recombinant protein fragment corresponding to amino acids 48-315 of human NEU1 (NP_000425)produced in E. coli.

    Type of Immunogen: Recombinant protein

    Isotyp

    IgG2a
  • Applikationshinweise

    Approved: IHC, IHC-P (1:150), WB (1:2000)

    Kommentare

    Target Species of Antibody: Human

    Beschränkungen

    Nur für Forschungszwecke einsetzbar
  • Format

    Liquid

    Konzentration

    Lot specific

    Buffer

    PBS,  pH 7.3, 1 % BSA, 50 % glycerol, 0.02 % sodium azide

    Konservierungsmittel

    Sodium azide

    Vorsichtsmaßnahmen

    This product contains Sodium azide: a POISONOUS AND HAZARDOUS SUBSTANCE which should be handled by trained staff only.

    Handhabung

    Minimize freezing and thawing.

    Lagerung

    -20 °C

    Informationen zur Lagerung

    Store at -20°C. Avoid freeze-thaw cycles.
  • Target

    NEU1 (Sialidase 1 (Lysosomal Sialidase) (NEU1))

    Andere Bezeichnung

    NEU1 / NEU

    Hintergrund

    Name/Gene ID: NEU1

    Synonyms: NEU1, Acetylneuraminyl hydrolase, G9 gene encoding sialidase, G9 sialidase, Exo-alpha-sialidase, Neu, Sialidase-1, Lysosomal sialidase, SIAL1, N-acetyl-alpha-neuraminidase 1, NANH

    Gen-ID

    4758

    NCBI Accession

    NP_000425

    UniProt

    Q99519

    Pathways

    SARS-CoV-2 Protein Interaktom
Sie sind hier:
Chat with us!