Telefon:
+49 (0)241 95 163 153
Fax:
+49 (0)241 95 163 155
E-Mail:
orders@antikoerper-online.de

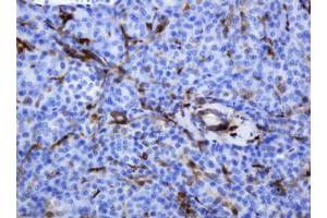
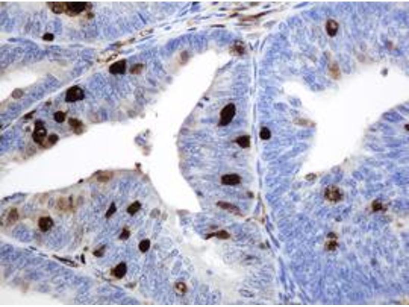
Thymidine Phosphorylase Antikörper (AA 311-482)

Der Maus Monoklonal anti-Thymidine Phosphorylase Antikörper (Klon 1H7) (ABIN1491396) detektiert spezifisch Thymidine Phosphorylase in WB, IHC und IHC (p). Dieser Antikörper reagiert spezifisch mit Proben aus Human.
Produktnummer ABIN1491396
867,17 €
Zzgl. Versandkosten 20,00 € und MwSt
100 μL
Lieferung nach: Deutschland
Lieferung in 15 bis 20 Werktagen

Kurzübersicht für Thymidine Phosphorylase Antikörper (AA 311-482) (ABIN1491396)

Target

Alle Thymidine Phosphorylase (TYMP) Antikörper anzeigen
Thymidine Phosphorylase (TYMP)

Reaktivität

  • 84
  • 40
  • 33
  • 1
  • 1
  • 1
Human

Wirt

  • 74
  • 17
  • 1
Maus

Klonalität

  • 64
  • 28
Monoklonal

Konjugat

  • 41
  • 9
  • 6
  • 3
  • 2
  • 2
  • 2
  • 2
  • 2
  • 2
  • 2
  • 1
  • 1
  • 1
  • 1
  • 1
  • 1
  • 1
  • 1
  • 1
  • 1
  • 1
  • 1
  • 1
  • 1
  • 1
  • 1
  • 1
  • 1
  • 1
Dieser Thymidine Phosphorylase Antikörper ist unkonjugiert

Applikation

  • 68
  • 43
  • 21
  • 20
  • 13
  • 13
  • 10
  • 9
  • 8
  • 3
  • 3
  • 3
  • 2
  • 2
  • 2
  • 1
  • 1
  • 1
Western Blotting (WB), Immunohistochemistry (IHC), Immunohistochemistry (Paraffin-embedded Sections) (IHC (p))

Klon

1H7
  • Bindungsspezifität

    • 15
    • 7
    • 5
    • 5
    • 3
    • 3
    • 2
    • 2
    • 1
    • 1
    • 1
    • 1
    • 1
    • 1
    • 1
    AA 311-482

    Spezifität

    Human PD-ECGF

    Aufreinigung

    Protein A/G purified

    Immunogen

    Human recombinant protein fragment corresponding to amino acids 311-482 of human TYMP (NP_001944) produced in E. coli.

    Type of Immunogen: Recombinant protein

    Isotyp

    IgG1
  • Applikationshinweise

    Approved: IHC, IHC-P (1:150), WB (1:2000)

    Kommentare

    Target Species of Antibody: Human

    Beschränkungen

    Nur für Forschungszwecke einsetzbar
  • Format

    Liquid

    Konzentration

    Lot specific

    Buffer

    PBS,  pH 7.3, 1 % BSA, 50 % glycerol, 0.02 % sodium azide

    Konservierungsmittel

    Sodium azide

    Vorsichtsmaßnahmen

    This product contains Sodium azide: a POISONOUS AND HAZARDOUS SUBSTANCE which should be handled by trained staff only.

    Handhabung

    Minimize freezing and thawing.

    Lagerung

    -20 °C

    Informationen zur Lagerung

    Store at -20°C. Avoid freeze-thaw cycles.
  • Target

    Thymidine Phosphorylase (TYMP)

    Andere Bezeichnung

    TP / Thymidine Phosphorylase

    Hintergrund

    Name/Gene ID: TYMP

    Synonyms: TYMP, ECGF1, HPD-ECGF, MEDPS1, MNGIE, MTDPS1, PD-ECGF, Thymidine phosphorylase, PDECGF, ECGF, Gliostatin, TdRPase, TP

    Gen-ID

    1890

    NCBI Accession

    NP_001944

    UniProt

    P19971

    Pathways

    Signaling Events mediated by VEGFR1 and VEGFR2
Sie sind hier:
Chat with us!