GANP Antikörper (C-Term)
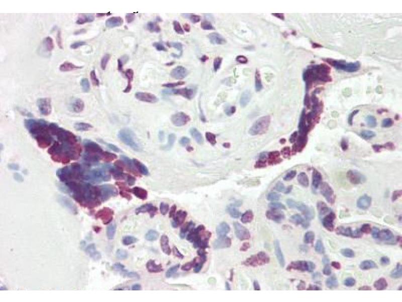
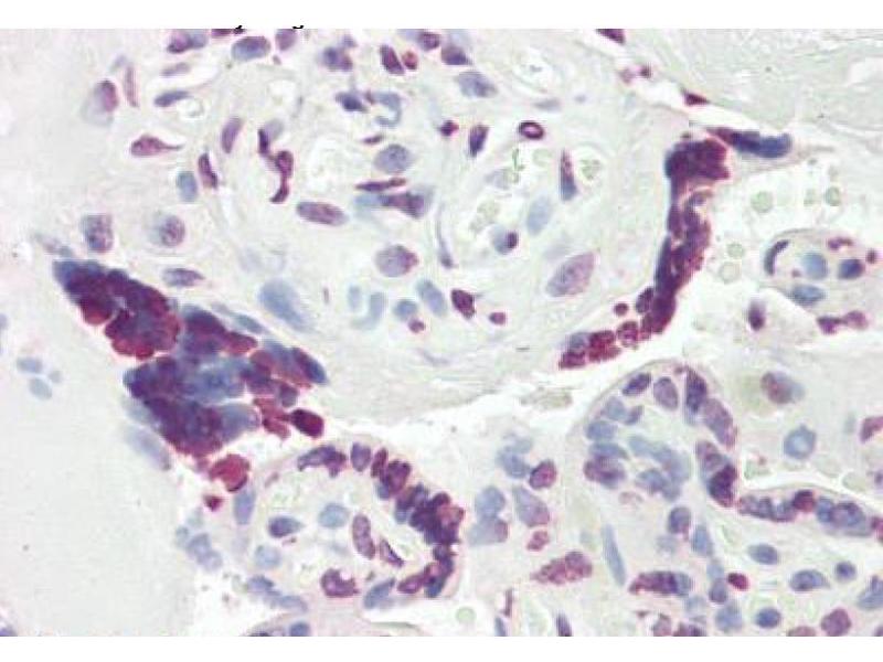
Dieser Kaninchen Polyklonal Antikörper detektiert spezifisch GANP in WB, IHC (p) und EIA. Es zeigt Reaktivität gegenüber Proben von Human und Maus.
Produktnummer ABIN1449664
735,38 €
Zzgl. Versandkosten 20,00 € und MwSt
Lieferung in 16 Werktagen
Kurzübersicht für GANP Antikörper (C-Term) (ABIN1449664)
Target
Alle GANP (MCM3AP) Antikörper anzeigen
GANP (MCM3AP)
(Minichromosome Maintenance Complex Component 3 Associated Protein (MCM3AP))
Reaktivität
Human, Maus
Wirt
Kaninchen
Klonalität
Polyklonal
Konjugat
Dieser GANP Antikörper ist unkonjugiert
Applikation
Western Blotting (WB), Immunohistochemistry (Paraffin-embedded Sections) (IHC (p)), Enzyme Immunoassay (EIA)
-
-
Bindungsspezifität
-
C-Term
-
Kreuzreaktivität (Details)
-
Species reactivity (tested):Human, Mouse.
-
Aufreinigung
-
Immunoaffinity Chromatography
-
Immunogen
-
MCM3AP / GANP antibody was raised against synthetic peptide from Human GANP. Epitope: C-Terminus.
-
Isotyp
-
IgG
-
-
-
Applikationshinweise
-
Optimal working dilution should be determined by the investigator.
-
Beschränkungen
-
Nur für Forschungszwecke einsetzbar
-
-
Konzentration
-
1.0 mg/mL
-
Buffer
-
PBS (without Mg2+, Ca2+), pH 7.4, 150 mM Sodium Chloride, 0.02 % Sodium Azide, 50 % Glycerol
-
Konservierungsmittel
-
Sodium azide
-
Vorsichtsmaßnahmen
-
This product contains sodium azide: a POISONOUS AND HAZARDOUS SUBSTANCE which should be handled by trained staff only.
-
Handhabung
-
Avoid repeated freezing and thawing.
-
Lagerung
-
4 °C/-20 °C
-
Informationen zur Lagerung
-
Store undiluted at 2-8 °C for one month or (in aliquots) at -20 °C for longer.
-
Target
-
GANP (MCM3AP)
(Minichromosome Maintenance Complex Component 3 Associated Protein (MCM3AP))
-
Andere Bezeichnung
-
MCM3AP
-
Hintergrund
-
Synonyms: GANP, KIAA0572, MAP80, MCM3 minichromosome maintenance deficient 3 associated protein
-
Gen-ID
-
8888
-
NCBI Accession
-
NP_003897
-
Pathways
-
Protein targeting to Nucleus
-
Sie sind hier:
-
Startseite
-
anti-GANP Antikörper (C-Term) (ABIN1449664)