Telefon:
+49 (0)241 95 163 153
Fax:
+49 (0)241 95 163 155
E-Mail:
orders@antikoerper-online.de

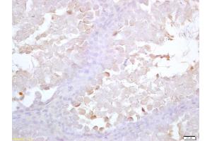
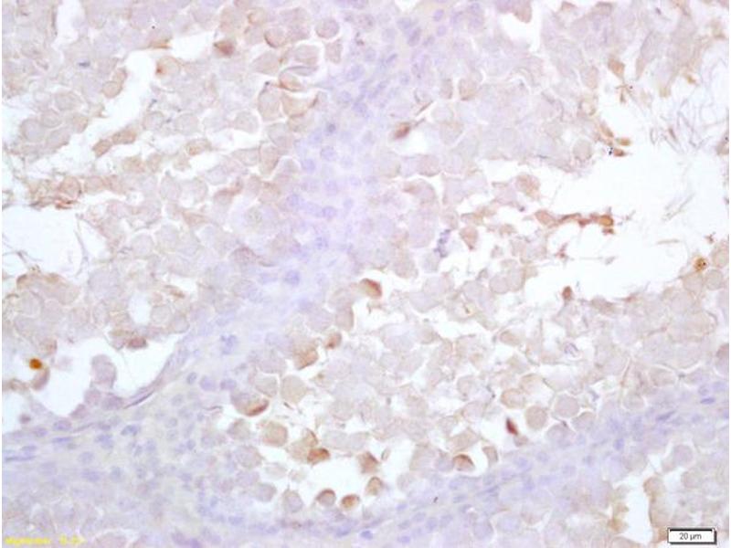
Acrosin Antikörper (AA 201-300)

Zitiert in 4+ Publikationen. Der Kaninchen Polyklonal anti-Acrosin Antikörper (ABIN1387665) detektiert spezifisch Acrosin in WB, ELISA, FACS, IF (cc), IF (p), IHC (p) und IHC (fro). Dieser Antikörper reagiert spezifisch mit Proben aus Human, Ratte, Maus und Ziege.
Produktnummer ABIN1387665
357,70 €
Zzgl. Versandkosten 20,00 € und MwSt
100 μL
Lieferung nach: Deutschland
Lieferung in 8 bis 12 Werktagen

Kurzübersicht für Acrosin Antikörper (AA 201-300) (ABIN1387665)

Target

Alle Acrosin (ACR) Antikörper anzeigen
Acrosin (ACR)

Reaktivität

  • 39
  • 16
  • 16
  • 15
  • 2
  • 2
  • 2
  • 2
Human, Ratte, Maus, Ziege

Wirt

  • 39
  • 3
  • 1
Kaninchen

Klonalität

  • 40
  • 3
Polyklonal

Konjugat

  • 22
  • 1
  • 1
  • 1
  • 1
  • 1
  • 1
  • 1
  • 1
  • 1
  • 1
  • 1
  • 1
  • 1
  • 1
  • 1
  • 1
  • 1
  • 1
  • 1
  • 1
  • 1
Dieser Acrosin Antikörper ist unkonjugiert

Applikation

  • 36
  • 18
  • 12
  • 12
  • 12
  • 9
  • 6
  • 5
  • 2
  • 2
  • 2
  • 2
Western Blotting (WB), ELISA, Flow Cytometry (FACS), Immunofluorescence (Cultured Cells) (IF (cc)), Immunofluorescence (Paraffin-embedded Sections) (IF (p)), Immunohistochemistry (Paraffin-embedded Sections) (IHC (p)), Immunohistochemistry (Frozen Sections) (IHC (fro))
  • Bindungsspezifität

    • 15
    • 4
    • 3
    • 2
    • 2
    • 2
    • 2
    • 2
    • 2
    • 1
    • 1
    • 1
    • 1
    • 1
    • 1
    • 1
    AA 201-300

    Kreuzreaktivität

    Ziege, Human, Maus, Ratte

    Homologie

    Dog,Cow,Sheep,Pig,Horse,Rabbit

    Aufreinigung

    Purified by Protein A.

    Immunogen

    KLH conjugated synthetic peptide derived from human Acrosin

    Isotyp

    IgG
  • Applikationshinweise

    WB 1:300-5000
    ELISA 1:500-1000
    FCM 1:20-100
    IHC-P 1:200-400
    IHC-F 1:100-500
    IF(IHC-P) 1:50-200
    IF(IHC-F) 1:50-200
    IF(ICC) 1:50-200

    Beschränkungen

    Nur für Forschungszwecke einsetzbar
  • Format

    Liquid

    Konzentration

    1 μg/μL

    Buffer

    0.01M TBS( pH 7.4) with 1 % BSA, 0.02 % Proclin300 and 50 % Glycerol.

    Konservierungsmittel

    ProClin

    Vorsichtsmaßnahmen

    This product contains ProClin: a POISONOUS AND HAZARDOUS SUBSTANCE, which should be handled by trained staff only.

    Lagerung

    4 °C,-20 °C

    Informationen zur Lagerung

    Shipped at 4°C. Store at -20°C for one year. Avoid repeated freeze/thaw cycles.

    Haltbarkeit

    12 months
  • Deng, Zhang, Yu, Wang, Chen, Han, Cheng, Lian, Liu et al.: "Melatonin up-regulates the expression of the GATA-4 transcription factor and increases testosterone secretion from Leydig cells through RORα signaling in an in vitro goat spermatogonial stem cell ..." in: Oncotarget, Vol. 8, Issue 66, pp. 110592-110605, (2017) (PubMed).

    Deng, Chen, Wang, Zhang, Tang, Li, Wang, Cheng, Jin, Li, Zhang, Yu, Lian, Liu, Liu: "Melatonin promotes development of haploid germ cells from early developing spermatogenic cells of Suffolk sheep under in vitro condition." in: Journal of pineal research, Vol. 60, Issue 4, pp. 435-47, (2016) (PubMed).

    Liang, Cheng, Jiang, He, Wang, Jiang, Hou, Li, Liu, Wang: "The noncircadian function of the circadian Clock gene in the regulation of male fertility." in: Journal of biological rhythms, Vol. 28, Issue 3, pp. 208-17, (2013) (PubMed).

  • Target

    Acrosin (ACR)

    Andere Bezeichnung

    Acrosin

    Hintergrund

    Synonyms: Acrosin, ACR, ACRS

    Background: Acrosin is the major protease of mammalian spermatozoa. It is a serine protease of trypsin-like cleavage specificity, it is synthesized in a zymogen form, proacrosin and stored in the acrosome.

    Gen-ID

    49

    UniProt

    P10323

    Pathways

    cAMP Metabolic Process
Sie sind hier:
Chat with us!