NEK9 Antikörper
Kurzübersicht für NEK9 Antikörper (ABIN1387020)
Target
Alle NEK9 Antikörper anzeigenReaktivität
Wirt
Klonalität
Konjugat
Applikation
-
-
Kreuzreaktivität
- Human, Maus, Ratte
-
Aufreinigung
- Purified by Protein A.
-
Immunogen
- KLH conjugated synthetic peptide derived from human NEK9
-
Isotyp
- IgG
-
-
-
-
Applikationshinweise
-
WB 1:300-5000
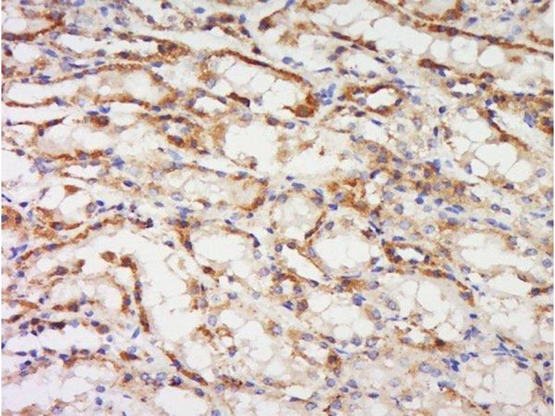
IHC-P 1:200-400
IF(IHC-P) 1:50-200 -
Beschränkungen
- Nur für Forschungszwecke einsetzbar
-
-
-
Format
- Liquid
-
Konzentration
- 1 μg/μL
-
Buffer
- 0.01M TBS( pH 7.4) with 1 % BSA, 0.02 % Proclin300 and 50 % Glycerol.
-
Konservierungsmittel
- ProClin
-
Vorsichtsmaßnahmen
- This product contains ProClin: a POISONOUS AND HAZARDOUS SUBSTANCE, which should be handled by trained staff only.
-
Lagerung
- 4 °C,-20 °C
-
Informationen zur Lagerung
- Shipped at 4°C. Store at -20°C for one year. Avoid repeated freeze/thaw cycles.
-
Haltbarkeit
- 12 months
-
-
- NEK9 (NIMA (Never in Mitosis Gene A)- Related Kinase 9 (NEK9))
-
Andere Bezeichnung
- NEK9
-
Hintergrund
-
Synonyms: Nek 8, NEK 9, Nek8, nek9, Nek-8, nek-9, NEK9_HUMAN, NERCC 1, Nercc 1 kinase, NERCC, NERCC1, Nercc1 kinase, Never in mitosis A related kinase 9, Never in mitosis A-related kinase 9, NIMA never in mitosis gene a related kinase 9, NIMA related kinase 8, NIMA related kinase 9, NIMA related kinase Nek 8, NIMA related kinase Nek 9, NIMA related kinase Nek8, NIMA related kinase Nek9, NimA related protein kinase 9, NIMA-related kinase 8, NimA-related protein kinase 9, Serine/threonine protein kinase Nek 9, Serine/threonine protein kinase Nek9, Serine/threonine-protein kinase Nek9.
Background: Pleiotropic regulator of mitotic progression, participating in the control of spindle dynamics and chromosome separation. Phosphorylates different histones, myelin basic protein, beta-casein, and BICD2. Phosphorylates histone H3 on serine and threonine residues and beta-casein on serine residues. Important for G1/S transition and S phase progression.
-
Gen-ID
- 91754
-
Pathways
- SARS-CoV-2 Protein Interaktom, Phosphorylierungen bei SARS-CoV-2 Infektion
Target
-