Telefon:
+49 (0)241 95 163 153
Fax:
+49 (0)241 95 163 155
E-Mail:
orders@antikoerper-online.de

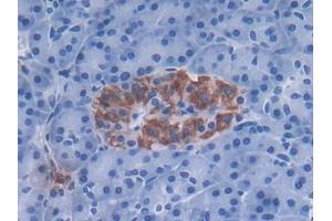
DEFa3 Antikörper (AA 21-94)

Der Kaninchen Polyklonal anti-DEFa3 Antikörper (ABIN1176234) detektiert spezifisch DEFa3 in WB, IHC, ICC und IP. Dieser Antikörper reagiert spezifisch mit Proben aus Human.
Produktnummer ABIN1176234
245,00 €
Zzgl. Versandkosten 20,00 € und MwSt
Lieferung nach: Deutschland
Lieferung in 13 bis 17 Werktagen

Kurzübersicht für DEFa3 Antikörper (AA 21-94) (ABIN1176234)

Target

Alle DEFa3 Antikörper anzeigen
DEFa3 (Defensin, alpha 3, Neutrophil-Specific (DEFa3))

Reaktivität

  • 26
  • 3
Human

Wirt

  • 27
  • 1
Kaninchen

Klonalität

  • 27
  • 1
Polyklonal

Konjugat

  • 18
  • 4
  • 3
  • 1
  • 1
  • 1
Dieser DEFa3 Antikörper ist unkonjugiert

Applikation

  • 23
  • 13
  • 13
  • 5
  • 3
  • 3
  • 1
  • 1
Western Blotting (WB), Immunohistochemistry (IHC), Immunocytochemistry (ICC), Immunoprecipitation (IP)
  • Bindungsspezifität

    • 8
    • 3
    • 3
    • 2
    • 2
    • 1
    • 1
    • 1
    • 1
    • 1
    • 1
    AA 21-94

    Verwendungszweck

    Polyclonal Antibody to Defensin Alpha 3, Neutrophil Specific (DEFa3)

    Spezifität

    The antibody is a rabbit polyclonal antibody raised against DEFa3. It has been selected for its ability to recognize DEFa3 in immunohistochemical staining and western blotting.

    Aufreinigung

    Antigen-specific affinity chromatography followed by Protein A affinity chromatography

    Immunogen

    Recombinant Defensin Alpha 3, Neutrophil Specific (DEFa3) corresdonding to Pro21~Cys94 with N-terminal His Tag

    Isotyp

    IgG
  • Applikationshinweise

    Western blotting: 0.01-2 μg/mL,Immunohistochemistry: 5-20 μg/mL,Immunocytochemistry: 5-20 μg/mL,Optimal working dilutions must be determined by end user.

    Kommentare

    The thermal stability is described by the loss rate. The loss rate was determined by accelerated thermal degradation test, that is, incubate the protein at 37°C for 48h, and no obvious degradation and precipitation were observed. The loss rate is less than 5% within the expiration date under appropriate storage condition.

    Beschränkungen

    Nur für Forschungszwecke einsetzbar
  • Format

    Liquid

    Konzentration

    0.25 mg/mL

    Buffer

    0.01M PBS, pH 7.4, containing 0.05 % Proclin-300, 50 % glycerol.

    Konservierungsmittel

    ProClin

    Vorsichtsmaßnahmen

    WARNING: Reagents contain sodium azide. Sodium azide is very toxic if ingested or inhaled. Avoid contact with skin, eyes, or clothing. Wear eye or face protection when handling. If skin or eye contact occurs, wash with copious amounts of water. If ingested or inhaled, contact a physician immediately. Sodium azide yields toxic hydrazoic acid under acidic conditions. Dilute azide-containing compounds in running water before discarding to avoid accumulation of potentially explosive deposits in lead or copper plumbing.

    Handhabung

    Avoid repeated freeze-thaw cycles.

    Lagerung

    4 °C,-20 °C

    Informationen zur Lagerung

    Store at 4°C for frequent use. Stored at -20°C in a manual defrost freezer for two year without detectable loss of activity. Avoid repeated freeze-thaw cycles.

    Haltbarkeit

    24 months
  • Target

    DEFa3 (Defensin, alpha 3, Neutrophil-Specific (DEFa3))

    Andere Bezeichnung

    DEFa3

    Hintergrund

    HNP3, DEF3, HNP-2, Neutrophil defensin 2

    Pathways

    Cellular Response to Molecule of Bacterial Origin
Sie sind hier:
Chat with us!