FGF21 Antikörper
Kurzübersicht für FGF21 Antikörper (ABIN1169424)
Target
Alle FGF21 Antikörper anzeigenReaktivität
Wirt
Klonalität
Konjugat
Applikation
-
-
Spezifität
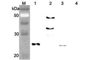
- Recognizes human and mouse FGF-21. Detects a band of ~25 kDa by Western blot.
-
Kreuzreaktivität
- Human, Maus
-
Sterilität
- 0.2 μm filtered
-
Immunogen
- Recombinant human FGF-21.
-
-
-
-
Applikationshinweise
- Optimal working dilution should be determined by the investigator.
-
Beschränkungen
- Nur für Forschungszwecke einsetzbar
-
-
-
Format
- Liquid
-
Konzentration
- Lot specific
-
Buffer
- 0.2μm-filtered solution in PBS, pH 7.4. Contains no preservatives.
-
Konservierungsmittel
- Without preservative
-
Lagerung
- 4 °C,-20 °C
-
Informationen zur Lagerung
-
Short Term Storage: +4°C
Long Term Storage: -20°C
Stable for at least 6 months after receipt when stored at -20°C. -
Haltbarkeit
- 6 months
-
-
- FGF21 (Fibroblast Growth Factor 21 (FGF21))
-
Andere Bezeichnung
- FGF-21
-
Hintergrund
- FGF-21 stimulates glucose uptake in differentiated adipocytes via the induction of glucose transporter SLC2A1/GLUT1 expression (but not SLC2A4/GLUT4 expression). Activity requires the presence of bKlotho.
-
UniProt
- Q9NSA1
-
Pathways
- RTK Signalweg
Target
-