Telefon:
+49 (0)241 95 163 153
Fax:
+49 (0)241 95 163 155
E-Mail:
orders@antikoerper-online.de

TWIST1 Antikörper (N-Term)

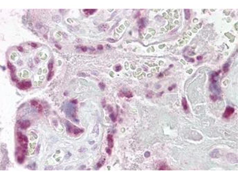
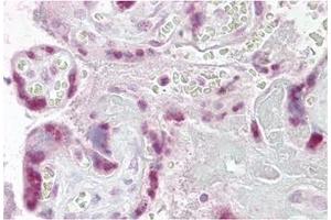
Der Kaninchen Polyklonal anti-TWIST1 Antikörper (ABIN1109415) detektiert spezifisch TWIST1 in WB, EIA und IHC (fro). Dieser Antikörper reagiert spezifisch mit Proben aus Human.
Produktnummer ABIN1109415
950,77 €
Zzgl. Versandkosten 20,00 € und MwSt
0.1 mg
Lieferung nach: Deutschland
Lieferung in 16 Werktagen

Kurzübersicht für TWIST1 Antikörper (N-Term) (ABIN1109415)

Target

Alle TWIST1 Antikörper anzeigen
TWIST1 (Twist Homolog 1 (Drosophila) (TWIST1))

Reaktivität

  • 62
  • 24
  • 20
  • 4
  • 4
  • 4
  • 3
  • 2
  • 2
  • 2
  • 2
  • 1
  • 1
  • 1
Human

Wirt

  • 32
  • 28
  • 3
Kaninchen

Klonalität

  • 32
  • 31
Polyklonal

Konjugat

  • 50
  • 2
  • 2
  • 1
  • 1
  • 1
  • 1
  • 1
  • 1
  • 1
  • 1
  • 1
Dieser TWIST1 Antikörper ist unkonjugiert

Applikation

  • 47
  • 29
  • 15
  • 11
  • 11
  • 9
  • 8
  • 3
  • 2
  • 2
  • 1
  • 1
  • 1
  • 1
Western Blotting (WB), Enzyme Immunoassay (EIA), Immunohistochemistry (Frozen Sections) (IHC (fro))
  • Bindungsspezifität

    • 6
    • 6
    • 6
    • 5
    • 5
    • 3
    • 2
    • 1
    • 1
    • 1
    • 1
    • 1
    • 1
    • 1
    N-Term

    Spezifität

    This antibody reacts with Human 21 kDa TWIST1 protein. It Does not cross reacts with Twist-2.

    Kreuzreaktivität (Details)

    Species reactivity (expected):Mouse, Rat.
    Species reactivity (tested):Human.

    Aufreinigung

    Affinity Chromatography on Protein A

    Immunogen

    Synthetic peptide derived from N-terminal domain of Human Twist-1 protein
  • Applikationshinweise

    Optimal working dilution should be determined by the investigator.

    Beschränkungen

    Nur für Forschungszwecke einsetzbar
  • Rekonstitution

    Restore in distilled water.

    Buffer

    0.1 M Tris, 0.1 M Glycine and 2 % Sucrose, None

    Handhabung

    Avoid repeated freezing and thawing.

    Lagerung

    4 °C/-20 °C

    Informationen zur Lagerung

    Prior to reconstitution store the antibody at -20 °C. Store reconstituted antibody at 2-8 °C for one month or (in aliquots) at -20 °C for longer
  • Target

    TWIST1 (Twist Homolog 1 (Drosophila) (TWIST1))

    Andere Bezeichnung

    TWIST1

    Hintergrund

    Basic helix-loop-helix (bHLH) transcription factors have been implicated in cell lineage determination and differentiation. TWIST1 is a bHLH transcription factor and shares similarity with another bHLH transcription factor, Dermo1. The strongest expression of this mRNA is in placental tissue, in adults, mesodermally derived tissues express this mRNA preferentially. Mutations in this gene have been found in patients with Saethre-Chotzen syndrome.Synonyms: BHLHA38, Class A basic helix-loop-helix protein 38, TWIST, Twist-related protein 1

    Gen-ID

    7291

    NCBI Accession

    NP_000465

    Pathways

    p53 Signalweg, Proton Transport, Tube Formation, Negative Regulation of Transporter Activity
Sie sind hier:
Chat with us!