Telefon:
+49 (0)241 95 163 153
Fax:
+49 (0)241 95 163 155
E-Mail:
orders@antikoerper-online.de

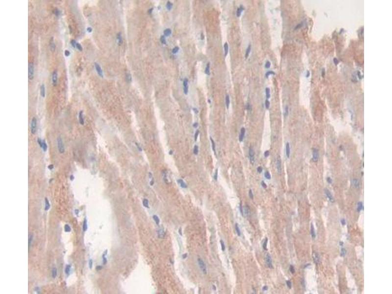
VEGFB Antikörper (AA 21-207)

Der Kaninchen Polyklonal anti-VEGFB Antikörper (ABIN1078650) detektiert spezifisch VEGFB in WB, IHC, IP und ICC. Dieser Antikörper reagiert spezifisch mit Proben aus Maus.
Produktnummer ABIN1078650
227,00 €
Zzgl. Versandkosten 20,00 € und MwSt
Lieferung nach: Deutschland
Lieferung in 13 bis 17 Werktagen

Kurzübersicht für VEGFB Antikörper (AA 21-207) (ABIN1078650)

Target

Alle VEGFB Antikörper anzeigen
VEGFB (Vascular Endothelial Growth Factor B (VEGFB))

Reaktivität

  • 87
  • 22
  • 22
  • 5
  • 4
  • 3
  • 2
  • 1
  • 1
Maus

Wirt

  • 74
  • 19
  • 2
  • 1
Kaninchen

Klonalität

  • 77
  • 19
Polyklonal

Konjugat

  • 54
  • 8
  • 8
  • 3
  • 3
  • 2
  • 1
  • 1
  • 1
  • 1
  • 1
  • 1
  • 1
  • 1
  • 1
  • 1
  • 1
  • 1
  • 1
  • 1
  • 1
  • 1
  • 1
  • 1
Dieser VEGFB Antikörper ist unkonjugiert

Applikation

  • 77
  • 35
  • 28
  • 15
  • 12
  • 11
  • 7
  • 4
  • 2
  • 1
  • 1
  • 1
  • 1
  • 1
  • 1
  • 1
Western Blotting (WB), Immunohistochemistry (IHC), Immunoprecipitation (IP), Immunocytochemistry (ICC)
  • Bindungsspezifität

    • 16
    • 11
    • 8
    • 5
    • 4
    • 3
    • 3
    • 3
    • 2
    • 2
    • 2
    • 2
    • 1
    • 1
    • 1
    • 1
    • 1
    • 1
    • 1
    • 1
    • 1
    AA 21-207

    Verwendungszweck

    Polyclonal Antibody to Vascular Endothelial Growth Factor B (VEGFB)

    Spezifität

    The antibody is a rabbit polyclonal antibody raised against VEGFB. It has been selected for its ability to recognize VEGFB in immunohistochemical staining and western blotting.

    Aufreinigung

    Antigen-specific affinity chromatography followed by Protein A affinity chromatography

    Immunogen

    RPA144Mu01Recombinant Vascular Endothelial Growth Factor B (VEGFB)

    Isotyp

    IgG
  • Applikationshinweise

    Western blotting: 0.5-2 μg/mLImmunohistochemistry: 5-20 μg/mLImmunocytochemistry: 5-20 μg/mLOptimal working dilutions must be determined by end user.

    Kommentare

    The thermal stability is described by the loss rate. The loss rate was determined by accelerated thermal degradation test, that is, incubate the protein at 37°C for 48h, and no obvious degradation and precipitation were observed. The loss rate is less than 5% within the expiration date under appropriate storage condition.

    Beschränkungen

    Nur für Forschungszwecke einsetzbar
  • Format

    Liquid

    Konzentration

    500 μg/mL

    Buffer

    0.01M PBS, pH 7.4, containing 0.05 % Proclin-300, 50 % glycerol.

    Konservierungsmittel

    ProClin

    Vorsichtsmaßnahmen

    WARNING: Reagents contain sodium azide. Sodium azide is very toxic if ingested or inhaled. Avoid contact with skin, eyes, or clothing. Wear eye or face protection when handling. If skin or eye contact occurs, wash with copious amounts of water. If ingested or inhaled, contact a physician immediately. Sodium azide yields toxic hydrazoic acid under acidic conditions. Dilute azide-containing compounds in running water before discarding to avoid accumulation of potentially explosive deposits in lead or copper plumbing.

    Handhabung

    Avoid repeated freeze-thaw cycles.

    Lagerung

    4 °C,-20 °C

    Informationen zur Lagerung

    Store at 4°C for frequent use. Stored at -20°C in a manual defrost freezer for two year without detectable loss of activity. Avoid repeated freeze-thaw cycles.

    Haltbarkeit

    12 months
  • Target

    VEGFB (Vascular Endothelial Growth Factor B (VEGFB))

    Andere Bezeichnung

    VEGFB

    Hintergrund

    VEGF-B, VEGFL, VRF, VEGF-Related Factor

    Pathways

    RTK Signalweg, Signaling Events mediated by VEGFR1 and VEGFR2, VEGFR1 Specific Signals
Sie sind hier:
Chat with us!