Telefon:
+49 (0)241 95 163 153
Fax:
+49 (0)241 95 163 155
E-Mail:
orders@antikoerper-online.de

ACE2 Antikörper (Middle Region 1)

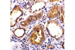
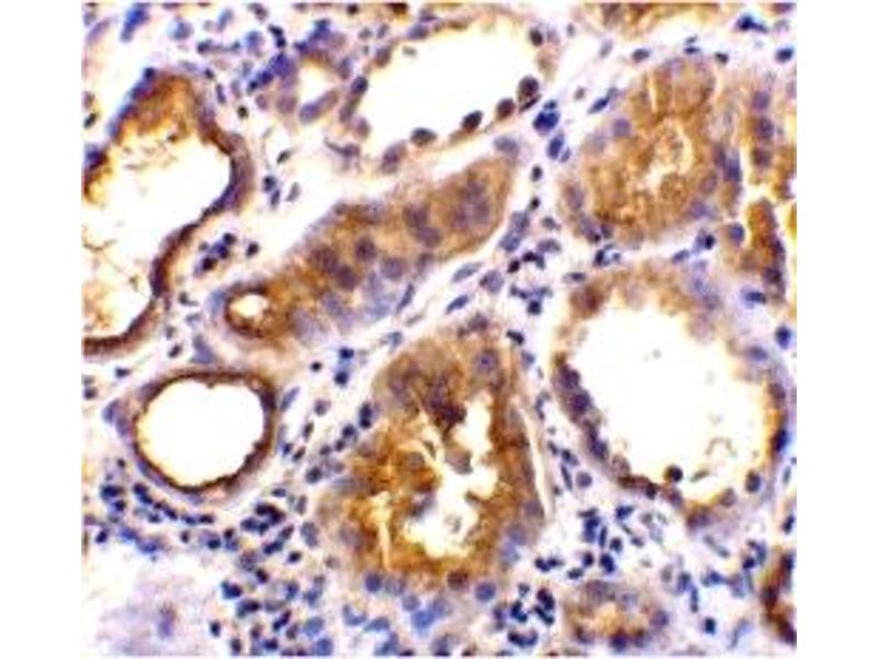
Zitiert in 1 Publikation. Der Kaninchen Polyklonal anti-ACE2 Antikörper (ABIN1031184) detektiert spezifisch ACE2 in WB, IHC und ELISA. Dieser Antikörper reagiert spezifisch mit Proben aus Human und Maus.
Produktnummer ABIN1031184
539,00 €
Zzgl. Versandkosten 20,00 € und MwSt
100 μg
Lieferung nach: Deutschland
Lieferung in 6 bis 9 Werktagen

Kurzübersicht für ACE2 Antikörper (Middle Region 1) (ABIN1031184)

Target

Alle ACE2 Antikörper anzeigen
ACE2 (Angiotensin I Converting Enzyme 2 (ACE2))

Reaktivität

  • 173
  • 65
  • 57
  • 5
  • 4
  • 3
  • 2
  • 2
  • 1
  • 1
  • 1
Human, Maus

Wirt

  • 145
  • 40
  • 6
  • 1
Kaninchen

Klonalität

  • 118
  • 74
Polyklonal

Konjugat

  • 102
  • 18
  • 12
  • 8
  • 6
  • 5
  • 3
  • 3
  • 3
  • 3
  • 3
  • 3
  • 3
  • 3
  • 1
  • 1
  • 1
  • 1
  • 1
  • 1
  • 1
  • 1
  • 1
  • 1
  • 1
  • 1
  • 1
  • 1
  • 1
  • 1
  • 1
Dieser ACE2 Antikörper ist unkonjugiert

Applikation

  • 147
  • 77
  • 77
  • 43
  • 30
  • 27
  • 25
  • 20
  • 18
  • 17
  • 10
  • 6
  • 3
  • 2
  • 2
  • 1
  • 1
  • 1
Western Blotting (WB), Immunohistochemistry (IHC), ELISA
  • Bindungsspezifität

    • 16
    • 15
    • 12
    • 8
    • 8
    • 8
    • 6
    • 5
    • 5
    • 5
    • 4
    • 4
    • 4
    • 3
    • 3
    • 3
    • 2
    • 2
    • 2
    • 1
    • 1
    • 1
    • 1
    • 1
    • 1
    • 1
    • 1
    • 1
    • 1
    • 1
    • 1
    • 1
    • 1
    • 1
    • 1
    • 1
    • 1
    • 1
    • 1
    • 1
    • 1
    • 1
    • 1
    • 1
    • 1
    Middle Region 1

    Spezifität

    Anti-ACE2 has no cross response to ACE1.

    Aufreinigung

    Affinity chromatography purified via peptide column
  • Applikationshinweise

    ACE2 antibody can be used for the detection of ACE2 by Western blot at 0.5 to 2 μg/mL. A 90 kDa band can be detected.

    Beschränkungen

    Nur für Forschungszwecke einsetzbar
  • Format

    Liquid

    Konzentration

    1 mg/mL

    Buffer

    PBS

    Konservierungsmittel

    Sodium azide

    Vorsichtsmaßnahmen

    This product contains sodium azide: a POISONOUS AND HAZARDOUS SUBSTANCE which should be handled by trained staff only.

    Lagerung

    4 °C
  • Nuovo, Magro, Shaffer, Awad, Suster, Mikhail, He, Michaille, Liechty, Tili: "Endothelial cell damage is the central part of COVID-19 and a mouse model induced by injection of the S1 subunit of the spike protein." in: Annals of diagnostic pathology, Vol. 51, pp. 151682, (2020) (PubMed).

  • Target

    ACE2 (Angiotensin I Converting Enzyme 2 (ACE2))

    Andere Bezeichnung

    ACE2

    Pathways

    ACE Inhibitor Pathway, Peptide Hormone Metabolism, Regulation of Systemic Arterial Blood Pressure by Hormones, Feeding Behaviour
Sie sind hier:
Blank Blank Blank Blank
Blank Blank Blank Blank
Chat with us!