Telefon:
+49 (0)241 95 163 153
Fax:
+49 (0)241 95 163 155
E-Mail:
orders@antikoerper-online.de

VDAC1 Antikörper

(Voltage-Dependent Anion Channel 1 (VDAC1))

Wählen Sie einen von 108 VDAC1-Antikörpern aus unserem Produktangebot basierend auf 27 Publikationen und 110 Validierungsbilder.

Entdecken Sie zuverlässige VDAC1-Antikörper von einer großen Zahl namhafter Hersteller. Unser Portfolio ermöglicht eine präzise VDAC1-Detektion in verschiedenen Spezies, darunter Human, Rat, Mouse, Arabidopsis thaliana, Rabbit, Cow, Dog, Guinea Pig, Horse, Pig, Sheep, Bat, Chicken, Monkey, Zebrafish (Danio rerio), Amaranthus palmeri, Beet, Brassica rapa, Cauliflower (Brassica oleracea var. botrytis), Fortunella margarita , Orange, Oryza sativa, Papaver, Physcomytrium Patens, Spinach, und unterstützt vielfältige Forschungsanwendungen wie WB, IHC, ELISA, ICC, IF.

Finden Sie schnell den passenden Antikörper mit unseren Such-, Filter- und Vergleichsfunktionen. Auf jeder Produktseite stehen Ihnen detaillierte Validierungsdaten, Literaturreferenzen und Kundenbewertungen zur Verfügung. Im Gegensatz zu reinen Vergleichsportalen können Sie Ihre Antikörper direkt über unsere Plattform erwerben. Wählen Sie aus polyklonalen, monoklonalen oder rekombinanten VDAC1-Antikörpern aus verschiedenen Wirtsarten wie Rabbit, Mouse, Goat. Durchstöbern Sie unten unsere Auswahl an VDAC1-Antikörpern und bestellen Sie direkt, um Ihre Forschung effizient voranzubringen.

Alternative Bezeichnungen für VDAC1 sind vdac1.S, vdac1, VDAC1, Vdac1.

108 Treffer

VDAC1 Reaktivität: Human, Ratte, Maus WB, IHC, ELISA Wirt: Kaninchen Polyclonal unconjugated
Pubmed 2 Referenzen
Produktnummer ABIN6265958
525,71 €
Zzgl. Versandkosten 20,00 € und MwSt
100 μL (Weitere Mengeneinheiten)
Lieferung nach: Deutschland
Lieferung in 9 bis 11 Werktagen
 
VDAC1 Reaktivität: Human, Ratte, Maus WB, IHC, ELISA, ICC, IF Wirt: Kaninchen Polyclonal unconjugated
Pubmed 1 reference
Produktnummer ABIN6265957
525,71 €
Zzgl. Versandkosten 20,00 € und MwSt
100 μL (Weitere Mengeneinheiten)
Lieferung nach: Deutschland
Lieferung in 9 bis 11 Werktagen
 
VDAC1 Reaktivität: Human WB, ELISA, IF Wirt: Maus Monoclonal 2E10 unconjugated
Produktnummer ABIN521313
651,20 €
Zzgl. Versandkosten 20,00 € und MwSt
100 μg
Lieferung nach: Deutschland
Lieferung in 8 bis 9 Werktagen
 
VDAC1 Reaktivität: Human WB, ELISA Wirt: Maus Monoclonal 2A8 unconjugated
Produktnummer ABIN521314
651,20 €
Zzgl. Versandkosten 20,00 € und MwSt
100 μg
Lieferung nach: Deutschland
Lieferung in 8 bis 9 Werktagen
 
VDAC1 Reaktivität: Human WB, ELISA Wirt: Maus Monoclonal 4C4 unconjugated
Produktnummer ABIN521312
651,20 €
Zzgl. Versandkosten 20,00 € und MwSt
100 μg
Lieferung nach: Deutschland
Lieferung in 8 bis 9 Werktagen
 
VDAC1 Reaktivität: Human, Ratte, Maus, Hund WB, IHC Wirt: Kaninchen Polyclonal unconjugated
Produktnummer ABIN630114
1.075,31 €
Zzgl. Versandkosten 20,00 € und MwSt
100 μg
Lieferung nach: Deutschland
Lieferung in 13 bis 17 Werktagen
 
VDAC1 Reaktivität: Human, Ratte WB, ELISA, IHC (p), IF (cc), IF (p), IHC (fro) Wirt: Kaninchen Polyclonal unconjugated
Pubmed 5 Referenzen
Produktnummer ABIN686872
120,76 €
Zzgl. Versandkosten 20,00 € und MwSt
100 μL
Lieferung nach: Deutschland
Lieferung in 8 bis 12 Werktagen
 
VDAC1 Reaktivität: Human, Ratte, Maus, Kaninchen, Rind (Kuh), Hund, Schaf, Pferd, Meerschweinchen, Schwein, Zebrafisch (Danio rerio), Affe, Huhn, Fledermaus WB, IHC, IHC (p) Wirt: Kaninchen Polyclonal unconjugated
Produktnummer ABIN202157
741,67 €
Zzgl. Versandkosten 20,00 € und MwSt
100 μL
Lieferung nach: Deutschland
Lieferung in 15 bis 20 Werktagen
 
Rockland 600-401-882 VDAC1 Reaktivität: Human, Ratte, Maus WB, IHC, ELISA Wirt: Kaninchen Polyclonal unconjugated
Pubmed 3 Referenzen
Produktnummer ABIN129654
515,59 €
Zzgl. Versandkosten 20,00 €, Trockeneispauschale 20,00 € sowie MwSt
200 μg (Weitere Mengeneinheiten)
Lieferung nach: Deutschland
Lieferung in 5 bis 8 Werktagen
Rockland Original
VDAC1 Reaktivität: Human WB, IHC, ICC, IP Wirt: Kaninchen Polyclonal unconjugated
Produktnummer ABIN7441406
323,02 €
Zzgl. Versandkosten 20,00 € und MwSt
100 μL (Weitere Mengeneinheiten)
Lieferung nach: Deutschland
Lieferung in 11 bis 15 Werktagen
 
VDAC1 Reaktivität: Human IHC, ELISA Wirt: Kaninchen Polyclonal unconjugated
Produktnummer ABIN7140219
328,90 €
Zzgl. Versandkosten 20,00 € und MwSt
100 μL (Weitere Mengeneinheiten)
Lieferung nach: Deutschland
Lieferung in 11 bis 15 Werktagen
 
VDAC1 Reaktivität: Arabidopsis thaliana WB, ELISA Wirt: Kaninchen Polyclonal unconjugated
Produktnummer ABIN7140522
328,90 €
Zzgl. Versandkosten 20,00 € und MwSt
100 μL (Weitere Mengeneinheiten)
Lieferung nach: Deutschland
Lieferung in 11 bis 15 Werktagen
 
VDAC1 Reaktivität: Human WB Wirt: Kaninchen Monoclonal 25GB05 unconjugated Recombinant Antibody
Produktnummer ABIN7800845
394,31 €
Zzgl. Versandkosten 20,00 € und MwSt
100 μL
Lieferung nach: Deutschland
Lieferung in 7 bis 10 Werktagen
 
VDAC1 Reaktivität: Human, Ratte, Maus WB, ELISA Wirt: Kaninchen Polyclonal unconjugated
Produktnummer ABIN3187897
377,51 €
Zzgl. Versandkosten 20,00 € und MwSt
100 μL (Weitere Mengeneinheiten)
Lieferung nach: Deutschland
Lieferung in 8 bis 10 Werktagen
 
VDAC1 Reaktivität: Human WB, ELISA Wirt: Kaninchen Polyclonal unconjugated
Produktnummer ABIN7189074
218,90 €
Zzgl. Versandkosten 20,00 € und MwSt
100 μg (Weitere Mengeneinheiten)
Lieferung nach: Deutschland
Lieferung in 11 bis 15 Werktagen
 
VDAC1 Reaktivität: Arabidopsis thaliana, Oryza sativa, Papaver, Physcomytrium Patens, Spinach, Mais (Zea mays), Orange, Fortunella margarita , Cauliflower (Brassica oleracea var. botrytis), Brassica rapa, Beet, Amaranthus palmeri WB, BN PAGE Wirt: Kaninchen Polyclonal unconjugated
Pubmed 5 Referenzen
Produktnummer ABIN3155731
435,69 €
Zzgl. Versandkosten 20,00 € und MwSt
50 μg
Lieferung nach: Deutschland
Lieferung in 3 bis 5 Werktagen
 
VDAC1 Reaktivität: Human, Ratte, Maus WB, IHC, IF, IHC (p) Wirt: Kaninchen Monoclonal 9A7 unconjugated
Produktnummer ABIN6945277
456,42 €
Zzgl. Versandkosten 20,00 € und MwSt
100 μL
Lieferung nach: Deutschland
Lieferung in 12 bis 17 Werktagen
 
VDAC1 Reaktivität: Human, Ratte WB, IF (cc), IF (p) Wirt: Kaninchen Polyclonal AbBy Fluor® 350
Produktnummer ABIN919528
189,43 €
Zzgl. Versandkosten 20,00 € und MwSt
100 μL
Lieferung nach: Deutschland
Lieferung in 20 bis 25 Werktagen
 
VDAC1 Reaktivität: Human, Ratte WB, IF (cc), IF (p) Wirt: Kaninchen Polyclonal AbBy Fluor® 488
Produktnummer ABIN919526
189,43 €
Zzgl. Versandkosten 20,00 € und MwSt
100 μL
Lieferung nach: Deutschland
Lieferung in 20 bis 25 Werktagen
 
VDAC1 Reaktivität: Human, Ratte WB, IF (cc), IF (p) Wirt: Kaninchen Polyclonal AbBy Fluor® 555
Produktnummer ABIN919527
189,43 €
Zzgl. Versandkosten 20,00 € und MwSt
100 μL
Lieferung nach: Deutschland
Lieferung in 20 bis 25 Werktagen
 
  • Typ Primary
    • Primary
  • Anwendung
    • Western Blotting (WB)
    • Immunohistochemistry (IHC)
    • ELISA
    • Immunocytochemistry (ICC)
    • Immunofluorescence (IF)
    • Immunofluorescence (Cultured Cells) (IF (cc))
    • Immunofluorescence (Paraffin-embedded Sections) (IF (p))
    • Immunohistochemistry (Paraffin-embedded Sections) (IHC (p))
    • Flow Cytometry (FACS)
    • Immunoprecipitation (IP)
    • Immunohistochemistry (Frozen Sections) (IHC (fro))
    • Fluorescence Microscopy (FM)
    • Blue-native PAGE (BN PAGE)
    • Enzyme Immunoassay (EIA)
    • Immunochromatography (IC)
    • Immunohistochemistry (Formalin-fixed Paraffin-embedded Sections) (IHC (fp))
    • Immunofluorescence (fixed cells) (IF/ICC)
  • Reaktivität
    • Human
    • Rat
    • Mouse
    • Arabidopsis thaliana
    • Rabbit
    • Cow
    • Dog
    • Guinea Pig
    • Horse
    • Pig
    • Sheep
    • Bat
    • Chicken
    • Monkey
    • Zebrafish (Danio rerio)
    • Amaranthus palmeri
    • Beet
    • Brassica rapa
    • Cauliflower (Brassica oleracea var. botrytis)
    • Fortunella margarita 
    • Orange
    • Oryza sativa
    • Papaver
    • Physcomytrium Patens
    • Spinach
    • Zea mays
  • In Publikationen zitiert
  • Abbildungen verfügbar
  • Nur ohne Konservierungsmittel
  • Carrier free only
  • Wirt
    • Rabbit
    • Mouse
    • Goat
  • Klonalität
    • Polyclonal
    • Monoclonal
  • Klon
    • S152B-23
    • S05-7F2
    • N152B-23
    • 25GB05
    • 2A8
    • 2E10
    • 3A1
    • 4C4
    • 9A7
    • C1
    • DBA-22
    • PT0214R
    • RB19920
    • RB19925
    • n152b-11
  • Bindungsspezifität
    • AA 1-283
    • AA 85-190
    • C-Term
    • N-Term
    • AA 1-293
    • AA 2-276
    • AA 32-59
    • AA 1-30
    • AA 163-178
    • AA 175-200
    • AA 2-283
    • AA 95-124
    • Middle Region
    • AA 1-100
    • AA 1-181
    • AA 1-211
    • AA 1-50
    • AA 15-29
    • AA 154-181
    • AA 156-276
    • AA 185-197
    • AA 64-145
    • AA 78-181
    • Intracellular
  • Konjugat
    • Unkonjugiert
    • Biotin
    • FITC
    • HRP
    • Alexa Fluor 488
    • Alexa Fluor 555
    • Alexa Fluor 594
    • Alexa Fluor 647
    • Alexa Fluor 680
    • Alexa Fluor 750
    • PE
    • PerCP
    • APC
    • AbBy Fluor® 350
    • AbBy Fluor® 488
    • AbBy Fluor® 555
    • AbBy Fluor® 594
    • AbBy Fluor® 647
    • AbBy Fluor® 680
    • AbBy Fluor® 750
    • Alexa Fluor 350
    • Alexa Fluor 405
    • Atto 390
    • Atto 488
    • Atto 594
    • Cy3
    • Cy5
    • Cy5.5
    • Cy7
    • FL490
    • FL550
    • FL594
    • FL650
  • Isotyp
    • IgG
    • IgG2a
    • Ig Fraction
    • IgG2b kappa
    • kappa
  • Protein-Typ
    • Recombinant Antibody
  • Format
    • Liquid
    • Lyophilized
  • Grade
    • KO Validated
    • Carrier-free
  • Hersteller
    • antibodies-online
    • Signalway
    • Rockland
    • Antibodies Incorporated
    • Boster Bio
    • Acris
    • NSJ Bioreagents
    • USBio
    • Abbexa
    • Agrisera
    • Alomone Labs
    • Assay Biotechnology Company, Inc.
    • Aviva Systems Biology
    • Biomatik
    • ProSci
    • ProteoGenix
    • RayBiotech
    • Synaptic Systems

Aktuelle Publikationen für unsere VDAC1 Antikörper

Sánchez-Melgar, Vultaggio-Poma, Falzoni, Fructuoso, Albasanz, Di Virgilio, Martín: "Mitochondrial Localization and Function of Adenosine Receptors." in: International journal of biological sciences, Vol. 21, Issue 5, pp. 1874-1893, (2025) (PubMed).

Vo, Choi, Choi: "The mitophagy receptor NIX induces vIRF-1 oligomerization and interaction with GABARAPL1 for the promotion of HHV-8 reactivation-induced mitophagy." in: PLoS pathogens, Vol. 19, Issue 7, pp. e1011548, (2023) (PubMed).

Ma, He, Ma, Jiang, Yan, Zhu, Bang, Li, Jia: "Silver Nanoparticle Exposure Causes Pulmonary Structural Damage and Mitochondrial Dynamic Imbalance in the Rat: Protective Effects of Sodium Selenite." in: International journal of nanomedicine, Vol. 15, pp. 633-645, (2020) (PubMed).

Zhu, Liu, Liao, Diao, Wu, Liao, Wang, Li, Zhang, Wang, Xie, Jiang, Xu, Zeng, Yang, Zhang: "Overexpression of lncRNA EPB41L4A-AS1 Induces Metabolic Reprogramming in Trophoblast Cells and Placenta Tissue of Miscarriage." in: Molecular therapy. Nucleic acids, Vol. 18, pp. 518-532, (2019) (PubMed).

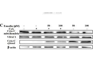
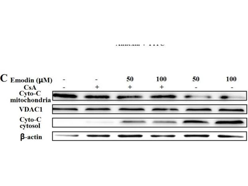
Zhang, He, Li, Liu, Wang, Zheng, Li: "Emodin targets mitochondrial cyclophilin D to induce apoptosis in HepG2 cells." in: Biomedicine & pharmacotherapy, Vol. 90, pp. 222-228, (2018) (PubMed).

Xie, Cao, Yang, Xu, Wei, Wang: "Relaxin Attenuates Contrast-Induced Human Proximal Tubular Epithelial Cell Apoptosis by Activation of the PI3K/Akt Signaling Pathway In Vitro." in: BioMed research international, Vol. 2017, pp. 2869405, (2018) (PubMed).

Li, Chen, Yang, He, He, Xia, Zhang, Xiang: "Single-walled carbon nanohorn aggregates promotes mitochondrial dysfunction-induced apoptosis in hepatoblastoma cells by targeting SIRT3." in: International journal of oncology, Vol. 53, Issue 3, pp. 1129-1137, (2018) (PubMed).

Chen, Liu, Liu, Chen, Li, Chao, Yang, Liu, Mao, Pi: "MEF2D Mediates the Neuroprotective Effect of Methylene Blue Against Glutamate-Induced Oxidative Damage in HT22 Hippocampal Cells." in: Molecular neurobiology, Vol. 54, Issue 3, pp. 2209-2222, (2018) (PubMed).

Thakurela, Garding, Jung, Müller, Goebbels, White, Werner, Tiwari: "The transcriptome of mouse central nervous system myelin." in: Scientific reports, Vol. 6, pp. 25828, (2018) (PubMed).

Wang, Lin, Zhang, Liu, Tan, Ma: "Penehyclidine hydrochloride prevents anoxia/reoxygenation injury and induces H9c2 cardiomyocyte apoptosis via a mitochondrial pathway." in: European journal of pharmacology, Vol. 797, pp. 115-123, (2017) (PubMed).

Aliase für VDAC1 Antikörper

voltage-dependent anion channel 1 S homeolog (vdac1.S) Antikörper
voltage-dependent anion channel 1 (vdac1) Antikörper
voltage dependent anion channel 1 (VDAC1) Antikörper
voltage-dependent anion channel 1 (Vdac1) Antikörper
voltage dependent anion channel 1 (Vdac1) Antikörper
5076 Antikörper
AL033343 Antikörper
ARABIDOPSIS THALIANA VOLTAGE DEPENDENT ANION CHANNEL 1 Antikörper
ATVDAC1 Antikörper
fa13f11 Antikörper
PORIN Antikörper
T22N4.9 Antikörper
T22N4_9 Antikörper
VDAC-1 Antikörper
vdac1 Antikörper
VDAC1 Antikörper
Vdac5 Antikörper
voltage dependent anion channel 1 Antikörper
wu:fa13f11 Antikörper
zgc:85830 Antikörper
Sie sind hier:
Chat with us!