Telefon:
+49 (0)241 95 163 153
Fax:
+49 (0)241 95 163 155
E-Mail:
orders@antikoerper-online.de

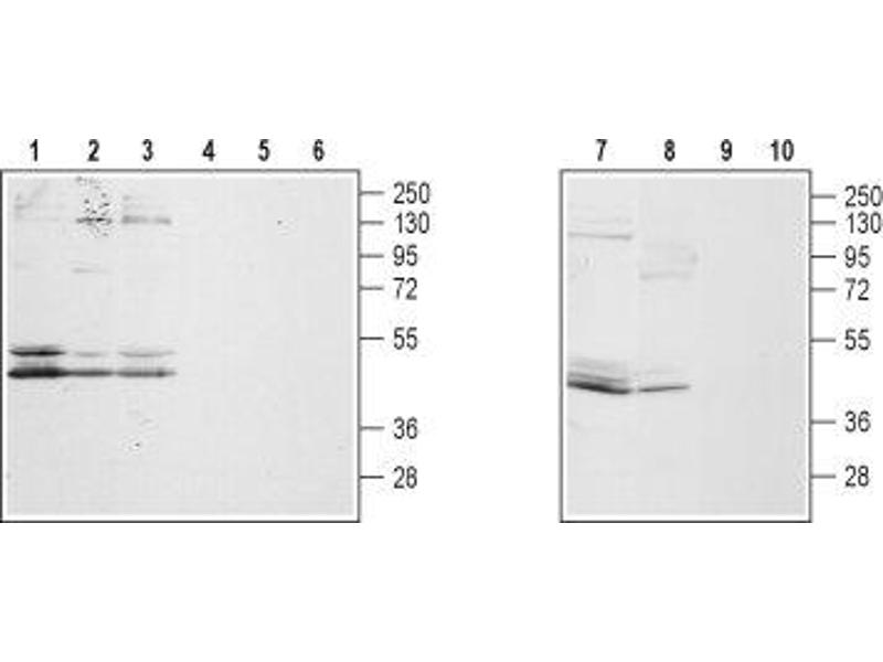
Galanin Receptor 2 (GALR2) Peptid

GALR2 Wirt: Synthetic BP, WB, IHC
Produktnummer ABIN7235477
485,54 €
Zzgl. Versandkosten 20,00 € und MwSt
40 μg
Lieferung nach: Deutschland
Lieferung in 8 bis 9 Werktagen

Kurzübersicht für Galanin Receptor 2 (GALR2) Peptid (ABIN7235477)

Target

GALR2 (Galanin Receptor 2 (GALR2))

Quelle

  • 5
Synthetic

Applikation

Blocking Peptide (BP), Western Blotting (WB), Immunohistochemistry (IHC)
  • Verwendungszweck

    GALR2 Negative Control Antigen

    Sequenz

    (C)GSGSQRAKRK VTR, correspond ing to amino acid residues 223-235 of mouse Galanin receptor type 2 (Accession O88854).

    Produktmerkmale

    Synthetic peptide, A Blocking peptide for Anti-GALR2 Antibody (ABIN7043181, ABIN7044398 and ABIN7044399). Intended to be used as a negative control.

    Reinheit

    >70 %
  • Applikationshinweise

    Antigen Preadsorption Control: 1 μg peptide per 1 μg antibody.

    Kommentare

    Confirmed by amino acid analysis and mass spectrometry.

    Beschränkungen

    Nur für Forschungszwecke einsetzbar
  • Format

    Lyophilized

    Rekonstitution

    100 μL double distilled water (DDW).

    Konzentration

    0.4 mg/mL

    Lagerung

    RT,-20 °C

    Informationen zur Lagerung

    Lyophilized powder can be stored intact at room temperature for two weeks. For longer periods, it should be stored at -20°C.
  • Target

    GALR2 (Galanin Receptor 2 (GALR2))

    Gen-ID

    14428
Sie sind hier:
Chat with us!