Telefon:
+49 (0)241 95 163 153
Fax:
+49 (0)241 95 163 155
E-Mail:
orders@antikoerper-online.de

Aquaporin 7 (AQP7) Peptid

AQP7 Wirt: Synthetic BP, WB, IHC
Produktnummer ABIN7234775
485,54 €
Zzgl. Versandkosten 20,00 € und MwSt
40 μg
Lieferung nach: Deutschland
Lieferung in 8 bis 9 Werktagen

Kurzübersicht für Aquaporin 7 (AQP7) Peptid (ABIN7234775)

Target

Aquaporin 7 (AQP7)

Quelle

  • 3
Synthetic

Applikation

Blocking Peptide (BP), Western Blotting (WB), Immunohistochemistry (IHC)
  • Verwendungszweck

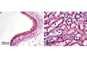
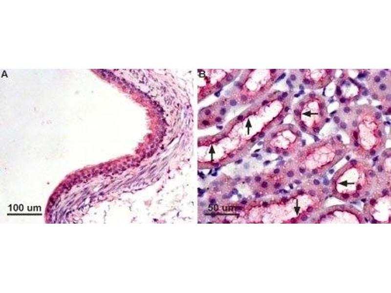
    Aquaporin 7 Negative Control Antigen

    Sequenz

    ENIQSVLQKT WVREFLAE, correspond ing to amino acid residues 7-24 of rat AQP7 (Accession P56403).

    Produktmerkmale

    Synthetic peptide, A Blocking peptide for Anti-Aquaporin 7 Antibody (ABIN7042943, ABIN7045203 and ABIN7045204). Intended to be used as a negative control.

    Reinheit

    >70 %
  • Applikationshinweise

    Antigen Preadsorption Control: 1 μg peptide per 1 μg antibody.

    Kommentare

    Confirmed by amino acid analysis and mass spectrometry.

    Beschränkungen

    Nur für Forschungszwecke einsetzbar
  • Format

    Lyophilized

    Rekonstitution

    100 μL double distilled water (DDW).

    Konzentration

    0.4 mg/mL

    Lagerung

    RT,-20 °C

    Informationen zur Lagerung

    Lyophilized powder can be stored intact at room temperature for two weeks. For longer periods, it should be stored at -20°C.
  • Target

    Aquaporin 7 (AQP7)

    Gen-ID

    29171

    NCBI Accession

    NM_001170

    UniProt

    P56403
Sie sind hier:
Chat with us!