Telefon:
+49 (0)241 95 163 153
Fax:
+49 (0)241 95 163 155
E-Mail:
orders@antikoerper-online.de

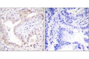
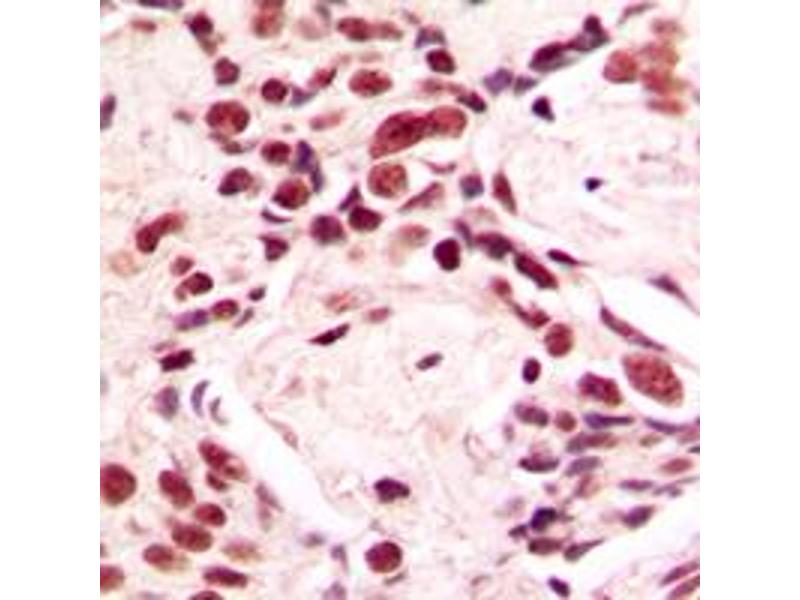
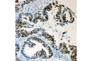
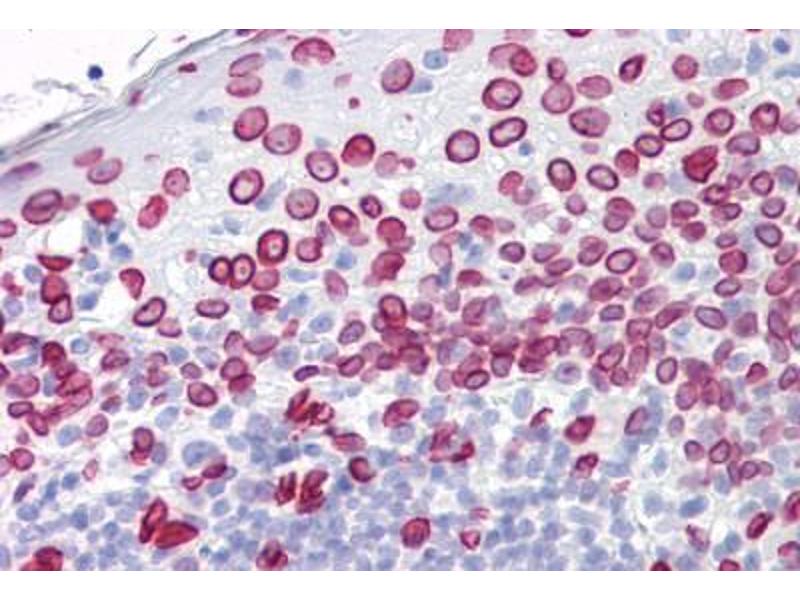
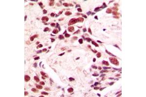
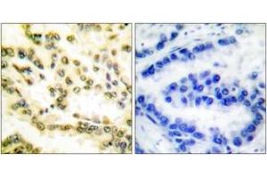
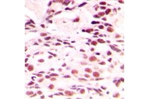
Lamin A/C Antikörper

(Lamin A/C (LMNA))

Wählen Sie einen von 201 Lamin A/C-Antikörpern aus unserem Produktangebot basierend auf 48 Publikationen und 159 Validierungsbilder.

Entdecken Sie zuverlässige Lamin A/C-Antikörper von einer großen Zahl namhafter Hersteller. Unser Portfolio ermöglicht eine präzise Lamin A/C-Detektion in verschiedenen Spezies, darunter Human, Mouse, Rat, Cow, Pig, Dog, Monkey, Rabbit, Hamster, Horse, Sheep, Chicken, Cynodon dactylon, Plant, Green Monkey, Guinea Pig, Mammalian, Xenopus laevis, Asterina miniata, Avian, Cat, Donkey, Fish, Goat, und unterstützt vielfältige Forschungsanwendungen wie WB, IHC, IF, ELISA, ICC.

Finden Sie schnell den passenden Antikörper mit unseren Such-, Filter- und Vergleichsfunktionen. Auf jeder Produktseite stehen Ihnen detaillierte Validierungsdaten, Literaturreferenzen und Kundenbewertungen zur Verfügung. Im Gegensatz zu reinen Vergleichsportalen können Sie Ihre Antikörper direkt über unsere Plattform erwerben. Wählen Sie aus polyklonalen, monoklonalen oder rekombinanten Lamin A/C-Antikörpern aus verschiedenen Wirtsarten wie Rabbit, Mouse, Goat. Durchstöbern Sie unten unsere Auswahl an Lamin A/C-Antikörpern und bestellen Sie direkt, um Ihre Forschung effizient voranzubringen.

Alternative Bezeichnungen für Lamin A/C sind LMNA, Lmna, Lam, lmna, lmna.L, LMINA.

201 Treffer

LMNA Reaktivität: Human WB, IP Wirt: Kaninchen Polyclonal unconjugated
Produktnummer ABIN517538
636,80 €
Zzgl. Versandkosten 20,00 € und MwSt
100 μL
Lieferung nach: Deutschland
Lieferung in 8 bis 9 Werktagen
 
LMNA Reaktivität: Human WB, IP Wirt: Kaninchen Polyclonal unconjugated
Produktnummer ABIN6136134
385,00 €
Zzgl. Versandkosten 20,00 € und MwSt
100 μL (Weitere Mengeneinheiten)
Lieferung nach: Deutschland
Lieferung in 7 bis 9 Werktagen
 
LMNA Reaktivität: Human WB, IF, ICC, IP Wirt: Maus Monoclonal 12A-2F5 unconjugated
Pubmed 1 reference
Produktnummer ABIN1042618
764,94 €
Zzgl. Versandkosten 20,00 € und MwSt
100 μL
Lieferung nach: Deutschland
Lieferung in 6 bis 8 Werktagen
 
LMNA Reaktivität: Human WB, IF, ICC, IP Wirt: Maus Monoclonal 5H8-B4 unconjugated
Pubmed 1 reference
Produktnummer ABIN1042617
764,94 €
Zzgl. Versandkosten 20,00 € und MwSt
100 μL
Lieferung nach: Deutschland
Lieferung in 6 bis 8 Werktagen
 
LMNA Reaktivität: Human, Maus WB, IHC, IF, IHC (p) Wirt: Kaninchen Polyclonal unconjugated
Produktnummer ABIN291872
512,07 €
Zzgl. Versandkosten 20,00 € und MwSt
50 μL
Lieferung nach: Deutschland
Lieferung in 15 bis 20 Werktagen
 
LMNA Reaktivität: Human, Maus, Ratte WB, IHC, ELISA, IF Wirt: Kaninchen Polyclonal unconjugated
Produktnummer ABIN1531335
402,00 €
Zzgl. Versandkosten 20,00 € und MwSt
100 μL (Weitere Mengeneinheiten)
Lieferung nach: Deutschland
Lieferung in 6 bis 9 Werktagen
 
LMNA Reaktivität: Human WB, ELISA Wirt: Kaninchen Polyclonal unconjugated
Produktnummer ABIN3031584
631,13 €
Zzgl. Versandkosten 20,00 € und MwSt
0.4 mL (Weitere Mengeneinheiten)
Lieferung nach: Deutschland
Lieferung in 6 bis 9 Werktagen
 
LMNA Reaktivität: Human, Maus, Ratte, Affe, Hamster WB, IF, ICC Wirt: Maus Monoclonal 3A6-4C11 unconjugated
Pubmed 3 Referenzen
Produktnummer ABIN2668844
752,31 €
Zzgl. Versandkosten 20,00 €, Trockeneispauschale 20,00 € sowie MwSt
100 μL (Weitere Mengeneinheiten)
Lieferung nach: Deutschland
Lieferung in 2 bis 4 Werktagen
 
LMNA Reaktivität: Human, Maus, Ratte, Rind (Kuh), Schwein, Affe WB, IHC, IF Wirt: Kaninchen Polyclonal unconjugated
Produktnummer ABIN7296196
330,77 €
Zzgl. Versandkosten 20,00 € und MwSt
100 μL (Weitere Mengeneinheiten)
Lieferung nach: Deutschland
Lieferung in 17 bis 20 Werktagen
 
LMNA Reaktivität: Human, Maus, Ratte, Schwein, Huhn WB, IHC Wirt: Kaninchen Polyclonal unconjugated
Produktnummer ABIN7296198
330,77 €
Zzgl. Versandkosten 20,00 € und MwSt
100 μL (Weitere Mengeneinheiten)
Lieferung nach: Deutschland
Lieferung in 17 bis 20 Werktagen
 
LMNA Reaktivität: Human, Maus, Ratte, Rind (Kuh), Schwein, Affe WB, IHC, IF Wirt: Kaninchen Polyclonal unconjugated
Produktnummer ABIN7299332
376,92 €
Zzgl. Versandkosten 20,00 € und MwSt
100 μL (Weitere Mengeneinheiten)
Lieferung nach: Deutschland
Lieferung in 17 bis 20 Werktagen
 
LMNA Reaktivität: Human, Maus, Ratte WB, IHC, ELISA Wirt: Kaninchen Polyclonal unconjugated
Produktnummer ABIN3181810
377,51 €
Zzgl. Versandkosten 20,00 € und MwSt
100 μL (Weitere Mengeneinheiten)
Lieferung nach: Deutschland
Lieferung in 8 bis 10 Werktagen
 
LMNA Reaktivität: Human, Maus, Ratte WB, IHC, ELISA Wirt: Kaninchen Polyclonal unconjugated
Produktnummer ABIN3181809
377,51 €
Zzgl. Versandkosten 20,00 € und MwSt
100 μL (Weitere Mengeneinheiten)
Lieferung nach: Deutschland
Lieferung in 8 bis 10 Werktagen
 
LMNA Reaktivität: Human WB Wirt: Kaninchen Polyclonal RB21443 unconjugated
Produktnummer ABIN1538393
434,77 €
Zzgl. Versandkosten 20,00 € und MwSt
400 μL (Weitere Mengeneinheiten)
Lieferung nach: Deutschland
Lieferung in 14 bis 17 Werktagen
 
LMNA Reaktivität: Human, Maus, Ratte WB, ELISA, IHC (p) Wirt: Kaninchen Polyclonal unconjugated
Produktnummer ABIN7222236
623,62 €
Zzgl. Versandkosten 20,00 € und MwSt
100 μL (Weitere Mengeneinheiten)
Lieferung nach: Deutschland
Lieferung in 10 bis 14 Werktagen
 
LMNA Reaktivität: Human WB, IHC, ELISA Wirt: Kaninchen Polyclonal unconjugated
Produktnummer ABIN7187162
218,90 €
Zzgl. Versandkosten 20,00 € und MwSt
100 μg (Weitere Mengeneinheiten)
Lieferung nach: Deutschland
Lieferung in 11 bis 15 Werktagen
 
LMNA Reaktivität: Cynodon dactylon WB, ELISA Wirt: Kaninchen Polyclonal unconjugated
Produktnummer ABIN7141137
328,90 €
Zzgl. Versandkosten 20,00 € und MwSt
100 μg (Weitere Mengeneinheiten)
Lieferung nach: Deutschland
Lieferung in 11 bis 15 Werktagen
 
LMNA Reaktivität: Human, Maus, Ratte, Rind (Kuh), Hund WB, IHC, ICC, IHC (p), FACS, IHC (fro) Wirt: Maus Monoclonal 133A2 unconjugated
Produktnummer ABIN959428
512,07 €
Zzgl. Versandkosten 20,00 € und MwSt
50 μg
Lieferung nach: Deutschland
Lieferung in 15 bis 20 Werktagen
 
LMNA Reaktivität: Human WB, IHC, ELISA Wirt: Kaninchen Polyclonal unconjugated
Produktnummer ABIN7187163
218,90 €
Zzgl. Versandkosten 20,00 € und MwSt
100 μg (Weitere Mengeneinheiten)
Lieferung nach: Deutschland
Lieferung in 11 bis 15 Werktagen
 
LMNA Reaktivität: Human, Maus, Ratte, Rind (Kuh), Schwein, Säugetier WB, IHC, IF, ICC Wirt: Huhn Polyclonal unconjugated
Produktnummer ABIN1580428
247,50 €
Zzgl. Versandkosten 20,00 € und MwSt
100 μL (Weitere Mengeneinheiten)
Lieferung nach: Deutschland
Lieferung in 6 bis 9 Werktagen
 
  • Typ Primary
    • Primary
  • Anwendung
    • Western Blotting (WB)
    • Immunohistochemistry (IHC)
    • Immunofluorescence (IF)
    • ELISA
    • Immunocytochemistry (ICC)
    • Flow Cytometry (FACS)
    • Immunoprecipitation (IP)
    • Immunohistochemistry (Paraffin-embedded Sections) (IHC (p))
    • Immunohistochemistry (Frozen Sections) (IHC (fro))
    • Immunochromatography (IC)
    • Immunohistochemistry (Formalin-fixed Paraffin-embedded Sections) (IHC (fp))
    • Immunofluorescence (fixed cells) (IF/ICC)
    • Blocking Reagent (BR)
    • Immunofluorescence (Cultured Cells) (IF (cc))
    • Immunofluorescence (Paraffin-embedded Sections) (IF (p))
  • Reaktivität
    • Human
    • Mouse
    • Rat
    • Cow
    • Pig
    • Dog
    • Monkey
    • Rabbit
    • Hamster
    • Horse
    • Sheep
    • Chicken
    • Cynodon dactylon
    • Plant
    • Green Monkey
    • Guinea Pig
    • Mammalian
    • Xenopus laevis
    • Asterina miniata
    • Avian
    • Cat
    • Donkey
    • Fish
    • Goat
  • In Publikationen zitiert
  • Abbildungen verfügbar
  • Nur ohne Konservierungsmittel
  • Carrier free only
  • Wirt
    • Rabbit
    • Mouse
    • Goat
    • Chicken
  • Klonalität
    • Polyclonal
    • Monoclonal
  • Klon
    • S06-7H5
    • S07-1I5
    • 133A2
    • 131C3
    • JOL2
    • 4C4
    • JOL3
    • 12A-2F5
    • 14-LaminAC
    • 22L53
    • 25GB2775
    • 25GB2835
    • 25GB3155
    • 2Q1132
    • 3A5
    • 3A6-4C11
    • 3D6-F4-B7
    • 3E1
    • 4A4
    • 4E7
    • 4H7
    • 5F293
    • 5F3C12
    • 5H8-B4
    • BEO-12
    • C2
    • GT9712
    • JOL4
    • PT0401R
    • Poly6135
    • R07-1I5
    • R27
    • RB21443
    • RB48839
    • X67
  • Bindungsspezifität
    • C-Term
    • AA 2-131
    • AA 401-427
    • pSer392
    • pSer22
    • Internal Region
    • AA 1-664
    • AA 385-572
    • Asp230
    • cleaved
    • AA 1-422
    • AA 598-611
    • Center
    • Cleaved-Asp230
    • AA 1-100
    • AA 1-50
    • AA 150-200
    • AA 319-566
    • AA 398-490
    • AA 400-450
    • AA 455-469
    • AA 465-498
    • AA 481-646
    • AA 550-600
    • Cleavage Site
    • N-Term
    • Ser22
    • AA 150-230
    • AA 17-66
    • AA 180-260
    • AA 181-230
    • AA 2-51
    • AA 212-261
    • AA 361-410
    • AA 400-427
    • AA 403-572
    • AA 430-545
    • AA 451-468
    • AA 59-249
    • AA 59-259
    • AA 59-572
    • Arg386
    • Asn231
    • Asp229
    • Cleaved-Asn231
    • Mature
    • R453W
    • R482W
    • Ser17
    • Ser392
    Please use search to find more...
  • Konjugat
    • Unkonjugiert
    • Biotin
    • FITC
    • HRP
    • Alexa Fluor 488
    • Alexa Fluor 555
    • Alexa Fluor 594
    • Alexa Fluor 647
    • Alexa Fluor 680
    • Alexa Fluor 750
    • Alexa Fluor 350
    • Alexa Fluor 405
    • APC
    • Magnetic Particles
    • PE
    • Sepharose
  • Isotyp
    • IgG
    • IgG1
    • IgG3
    • Ig Fraction
    • IgG1 kappa
    • IgG2a
    • IgG2b
    • IgM
    • IgG2b kappa
    • IgG3 kappa
    • IgY
    • kappa
  • Protein-Typ
    • Recombinant Antibody
  • Format
    • Liquid
    • Lyophilized
  • Grade
    • KD Validated
    • KO Validated
    • Carrier-free
    • KO Validated, KD Validated
    • Verified
  • Hersteller
    • antibodies-online
    • Signalway
    • Cohesion Biosciences
    • Abbexa
    • Boster Bio
    • USBio
    • Acris
    • Assay Biotechnology Company, Inc.
    • Active Motif
    • Biomatik
    • Elabscience
    • EnCor Biotechnology
    • NSJ Bioreagents
    • Aviva Systems Biology
    • BD Biosciences
    • BioLegend
    • Neuromics Antibodies
    • Rockland
    • Wuhan Fine biotech

Aktuelle Publikationen für unsere Lamin A/C Antikörper

Häge, Sonntag, Svrlanska, Borst, Stilp, Horsch, Müller, Kropff, Milbradt, Stamminger, Schlötzer-Schrehardt, Marschall: "Phenotypical Characterization of the Nuclear Egress of Recombinant Cytomegaloviruses Reveals Defective Replication upon ORF-UL50 Deletion but Not pUL50 Phosphosite Mutation." in: Viruses, Vol. 13, Issue 2, (2021) (PubMed).

Schütz, Steingruber, Socher, Müller, Wagner, Kögel, Sticht, Marschall: "Functional Relevance of the Interaction between Human Cyclins and the Cytomegalovirus-Encoded CDK-Like Protein Kinase pUL97." in: Viruses, Vol. 13, Issue 7, (2021) (PubMed).

Häge, Büscher, Pakulska, Hahn, Adrait, Krauter, Borst, Schlötzer-Schrehardt, Couté, Plachter, Marschall: "The Complex Regulatory Role of Cytomegalovirus Nuclear Egress Protein pUL50 in the Production of Infectious Virus." in: Cells, Vol. 10, Issue 11, (2021) (PubMed).

Li, Li, Ma, Jin: "Resveratrol inhibits viability and induces apoptosis in the small‑cell lung cancer H446 cell line via the PI3K/Akt/c‑Myc pathway." in: Oncology reports, Vol. 44, Issue 5, pp. 1821-1830, (2021) (PubMed).

Zhang, Li, Guan, Zhou, Wang, Yang, Zhen, Dai, Zhao, Jiang, Xu: "MiR-181d-5p Targets KLF6 to Improve Ischemia/Reperfusion-Induced AKI Through Effects on Renal Function, Apoptosis, and Inflammation." in: Frontiers in physiology, Vol. 11, pp. 510, (2020) (PubMed).

Kuo, Ling, Chiang, Chung, Lee, Chu, Wu, Chen, Lai, Tsai, Cheng, Lin: "Metastatic Colorectal Cancer Rewrites Metabolic Program Through a Glut3-YAP-dependent Signaling Circuit." in: Theranostics, Vol. 9, Issue 9, pp. 2526-2540, (2020) (PubMed).

Bueno, Martínez-Morga, Martínez: "Non-proliferative neurogenesis in human periodontal ligament stem cells." in: Scientific reports, Vol. 9, Issue 1, pp. 18038, (2019) (PubMed).

Wei, Dai, Zhou, He, Yao, Zhao, Guo, Yang: "Oroxylin A activates PKM1/HNF4 alpha to induce hepatoma differentiation and block cancer progression." in: Cell death & disease, Vol. 8, Issue 7, pp. e2944, (2018) (PubMed).

Wan, Ashraf, Ye, Duan, Zohaib, Wang, Chen, Zhu, Li, Chen, Cao: "MicroRNA-22 negatively regulates poly(I:C)-triggered type I interferon and inflammatory cytokine production via targeting mitochondrial antiviral signaling protein (MAVS)." in: Oncotarget, Vol. 7, Issue 47, pp. 76667-76683, (2018) (PubMed).

He, Zhao, Anees, Li, Ashraf, Chen, Song, Chen, Cao, Ye: "p21-Activated Kinase 4 Signaling Promotes Japanese Encephalitis Virus-Mediated Inflammation in Astrocytes." in: Frontiers in cellular and infection microbiology, Vol. 7, pp. 271, (2018) (PubMed).

Aliase für Lamin A/C Antikörper

lamin A/C (LMNA) Antikörper
lamin A (Lmna) Antikörper
Lamin (Lam) Antikörper
lamin A/C (Lmna) Antikörper
lamin A (lmna) Antikörper
lamin A/C L homeolog (lmna.L) Antikörper
lamin A/C (lmna) Antikörper
lamin-L(III)-like (LMINA) Antikörper
74/76 Antikörper
2459 Antikörper
cb948 Antikörper
CDCD1 Antikörper
cdcd1 Antikörper
CDDC Antikörper
cddc Antikörper
CG6944 Antikörper
CMD1A Antikörper
cmd1a Antikörper
CMT2B1 Antikörper
cmt2b1 Antikörper
D5 Antikörper
Dhe Antikörper
Dm Antikörper
Dm(0) Antikörper
Dm0 Antikörper
Dm1 Antikörper
Dm2 Antikörper
Dmel\\CG6944 Antikörper
DmLamin Antikörper
DmO Antikörper
Dmo Antikörper
Dm[[0]] Antikörper
Dm[[1]] Antikörper
Dm[[2]] Antikörper
Dm[[mit]] Antikörper
DM[[O]] Antikörper
Dm[[o]] Antikörper
EMD2 Antikörper
emd2 Antikörper
fk66d12 Antikörper
FPL Antikörper
fpl Antikörper
FPLD Antikörper
fpld Antikörper
FPLD2 Antikörper
HGPS Antikörper
hgps Antikörper
IDC Antikörper
idc Antikörper
jf27 Antikörper
l(2)04643 Antikörper
l(2)25Ec Antikörper
l(2)gdh-7 Antikörper
l(2)gdh7 Antikörper
l(2)jf27 Antikörper
LAM Antikörper
lam Antikörper
Lam(Dm0) Antikörper
lamDm0 Antikörper
Lam Dm[[0]] Antikörper
LamDm[[0]] Antikörper
lamDm[[0]] Antikörper
LamDm[[o]] Antikörper
lamin Antikörper
Lamin-A Antikörper
lamin-L(III)-like Antikörper
lamin Dm0 Antikörper
Lamin Dm[[0]] Antikörper
lamin Dm[[0]] Antikörper
Lam[[Dm0]] Antikörper
LDP1 Antikörper
ldp1 Antikörper
LFP Antikörper
lfp Antikörper
LGMD1B Antikörper
lgmd1b Antikörper
LMN1 Antikörper
lmn1 Antikörper
lmna-A Antikörper
LMNC Antikörper
lmnc Antikörper
LMNL1 Antikörper
misg Antikörper
nlam Antikörper
PRO1 Antikörper
pro1 Antikörper
wu:fk66d12 Antikörper
Sie sind hier:
Chat with us!