Telefon:
+49 (0)241 95 163 153
Fax:
+49 (0)241 95 163 155
E-Mail:
orders@antikoerper-online.de

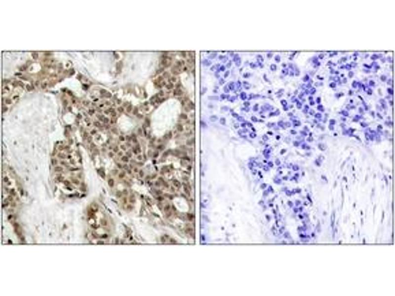
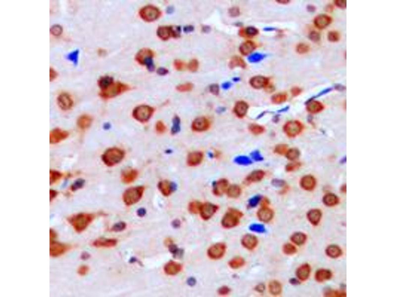
ERK1/2 Antikörper

(Mitogen-Activated Protein Kinase 1/3 (MAPK1/3))

Wählen Sie einen von 227 ERK1/2-Antikörpern aus unserem Produktangebot basierend auf 76 Publikationen und 98 Validierungsbilder.

Entdecken Sie zuverlässige ERK1/2-Antikörper von einer großen Zahl namhafter Hersteller. Unser Portfolio ermöglicht eine präzise ERK1/2-Detektion in verschiedenen Spezies, darunter Human, Mouse, Rat, Chicken, Cow, Pig, Zebrafish (Danio rerio), Dog, Insect, Rabbit, Saccharomyces cerevisiae, Xenopus laevis, Drosophila melanogaster, Fish, Hamster, Horse, Mammalian, Monkey, Sheep, und unterstützt vielfältige Forschungsanwendungen wie WB, IF (cc), IF, FACS, IF (p).

Finden Sie schnell den passenden Antikörper mit unseren Such-, Filter- und Vergleichsfunktionen. Auf jeder Produktseite stehen Ihnen detaillierte Validierungsdaten, Literaturreferenzen und Kundenbewertungen zur Verfügung. Im Gegensatz zu reinen Vergleichsportalen können Sie Ihre Antikörper direkt über unsere Plattform erwerben. Wählen Sie aus polyklonalen, monoklonalen oder rekombinanten ERK1/2-Antikörpern aus verschiedenen Wirtsarten wie Rabbit, Mouse, Sheep. Durchstöbern Sie unten unsere Auswahl an ERK1/2-Antikörpern und bestellen Sie direkt, um Ihre Forschung effizient voranzubringen.

Alternative Bezeichnungen für ERK1/2 sind erk1/2.

227 Treffer

MAPK1/3 Reaktivität: Human, Maus, Ratte WB, ICS, BI Wirt: Maus Monoclonal 20A unconjugated
Pubmed 4 Referenzen
Produktnummer ABIN968835
214,31 €
Zzgl. Versandkosten 20,00 € und MwSt
50 μg
Lieferung nach: Deutschland
Lieferung in 12 bis 15 Werktagen
 
MAPK1/3 Reaktivität: Human, Maus WB, IF, IHC (p) Wirt: Kaninchen Polyclonal unconjugated
Produktnummer ABIN196998
606,15 €
Zzgl. Versandkosten 20,00 € und MwSt
0.1 mL (Weitere Mengeneinheiten)
Lieferung nach: Deutschland
Lieferung in 16 Werktagen
 
MAPK1/3 Reaktivität: Human, Maus, Ratte WB, IHC (p) Wirt: Kaninchen Polyclonal unconjugated
Produktnummer ABIN3031825
644,88 €
Zzgl. Versandkosten 20,00 € und MwSt
100 μg
Lieferung nach: Deutschland
Lieferung in 6 bis 9 Werktagen
 
MAPK1/3 Reaktivität: Human, Maus WB, ELISA Wirt: Maus Monoclonal 784CT7-6-3 unconjugated
Produktnummer ABIN3031826
631,13 €
Zzgl. Versandkosten 20,00 € und MwSt
0.4 mL (Weitere Mengeneinheiten)
Lieferung nach: Deutschland
Lieferung in 6 bis 9 Werktagen
 
MAPK1/3 Reaktivität: Human, Maus, Ratte WB, IF, IHC (p) Wirt: Kaninchen Polyclonal unconjugated
Produktnummer ABIN197000
606,15 €
Zzgl. Versandkosten 20,00 € und MwSt
0.1 mL (Weitere Mengeneinheiten)
Lieferung nach: Deutschland
Lieferung in 16 Werktagen
 
MAPK1/3 Reaktivität: Human WB, DB Wirt: Kaninchen Polyclonal unconjugated
Produktnummer ABIN3001885
845,72 €
Zzgl. Versandkosten 20,00 € und MwSt
400 μL (Weitere Mengeneinheiten)
Lieferung nach: Deutschland
Lieferung in 7 bis 13 Werktagen
 
MAPK1/3 Reaktivität: Human, Maus, Ratte, Schwein WB, ELISA, IHC (p), IHC (fro) Wirt: Kaninchen Polyclonal HRP
Pubmed 2 Referenzen
Produktnummer ABIN723734
437,53 €
Zzgl. Versandkosten 20,00 € und MwSt
100 μL
Lieferung nach: Deutschland
Lieferung in 15 bis 22 Werktagen
 
MAPK1/3 Reaktivität: Human, Maus, Ratte, Huhn WB, IF (cc), FACS, IF (p) Wirt: Kaninchen Polyclonal FITC
Pubmed 1 reference
Produktnummer ABIN732465
437,53 €
Zzgl. Versandkosten 20,00 € und MwSt
100 μL
Lieferung nach: Deutschland
Lieferung in 15 bis 22 Werktagen
 
MAPK1/3 Reaktivität: Human, Maus, Ratte WB, ELISA Wirt: Kaninchen Polyclonal unconjugated
Produktnummer ABIN1848384
453,66 €
Zzgl. Versandkosten 20,00 € und MwSt
100 μL (Weitere Mengeneinheiten)
Lieferung nach: Deutschland
Lieferung in 7 bis 13 Werktagen
 
MAPK1/3 Reaktivität: Human, Maus, Ratte WB, IHC (p), IP Wirt: Kaninchen Polyclonal unconjugated
Produktnummer ABIN1107127
815,38 €
Zzgl. Versandkosten 20,00 € und MwSt
0.1 mg
Lieferung nach: Deutschland
Lieferung in 16 Werktagen
 
MAPK1/3 Reaktivität: Human, Maus, Ratte WB, IHC, ELISA Wirt: Kaninchen Polyclonal unconjugated
Produktnummer ABIN1533266
402,00 €
Zzgl. Versandkosten 20,00 € und MwSt
100 μL (Weitere Mengeneinheiten)
Lieferung nach: Deutschland
Lieferung in 6 bis 9 Werktagen
 
MAPK1/3 Reaktivität: Human, Maus, Ratte WB, IHC, ELISA Wirt: Kaninchen Polyclonal unconjugated
Produktnummer ABIN1531832
402,00 €
Zzgl. Versandkosten 20,00 € und MwSt
100 μL (Weitere Mengeneinheiten)
Lieferung nach: Deutschland
Lieferung in 6 bis 9 Werktagen
 
MAPK1/3 Reaktivität: Human, Maus, Ratte, Rind (Kuh), Schwein, Hund WB, IHC, IF Wirt: Kaninchen Polyclonal unconjugated
Produktnummer ABIN7296704
330,77 €
Zzgl. Versandkosten 20,00 € und MwSt
100 μL (Weitere Mengeneinheiten)
Lieferung nach: Deutschland
Lieferung in 17 bis 20 Werktagen
 
MAPK1/3 Reaktivität: Human, Maus, Ratte, Rind (Kuh), Huhn, Zebrafisch (Danio rerio) WB, IHC, IF Wirt: Kaninchen Polyclonal unconjugated
Produktnummer ABIN7296708
330,77 €
Zzgl. Versandkosten 20,00 € und MwSt
100 μL (Weitere Mengeneinheiten)
Lieferung nach: Deutschland
Lieferung in 17 bis 20 Werktagen
 
MAPK1/3 Reaktivität: Human, Maus, Ratte, Rind (Kuh), Huhn, Zebrafisch (Danio rerio) WB, IHC, IF Wirt: Kaninchen Polyclonal unconjugated
Produktnummer ABIN7296706
330,77 €
Zzgl. Versandkosten 20,00 € und MwSt
100 μL (Weitere Mengeneinheiten)
Lieferung nach: Deutschland
Lieferung in 17 bis 20 Werktagen
 
MAPK1/3 Reaktivität: Human, Maus, Ratte IF (cc) Wirt: Maus Monoclonal 8C2 Cy5
Produktnummer ABIN6984858
519,08 €
Zzgl. Versandkosten 20,00 € und MwSt
100 μL
Lieferung nach: Deutschland
Lieferung in 8 bis 12 Werktagen
 
MAPK1/3 Reaktivität: Human, Maus, Ratte IF (cc) Wirt: Maus Monoclonal 8C2 AbBy Fluor® 488
Produktnummer ABIN6978060
507,92 €
Zzgl. Versandkosten 20,00 € und MwSt
100 μL
Lieferung nach: Deutschland
Lieferung in 8 bis 12 Werktagen
 
MAPK1/3 Reaktivität: Human, Maus, Ratte, Zebrafisch (Danio rerio) WB, IHC (p), IF (cc), FACS Wirt: Kaninchen Monoclonal 3A12 unconjugated
Produktnummer ABIN6943275
456,42 €
Zzgl. Versandkosten 20,00 € und MwSt
100 μL
Lieferung nach: Deutschland
Lieferung in 12 bis 17 Werktagen
 
MAPK1/3 Reaktivität: Human, Maus, Ratte IF (cc) Wirt: Maus Monoclonal 8C2 AbBy Fluor® 555
Produktnummer ABIN6978921
507,92 €
Zzgl. Versandkosten 20,00 € und MwSt
100 μL
Lieferung nach: Deutschland
Lieferung in 8 bis 12 Werktagen
 
MAPK1/3 Reaktivität: Human, Maus, Ratte IF (cc) Wirt: Maus Monoclonal 8C2 AbBy Fluor® 594
Produktnummer ABIN6979714
507,92 €
Zzgl. Versandkosten 20,00 € und MwSt
100 μL
Lieferung nach: Deutschland
Lieferung in 8 bis 12 Werktagen
 
  • Typ Primary
    • Primary
  • Anwendung
    • Western Blotting (WB)
    • Immunofluorescence (Cultured Cells) (IF (cc))
    • Immunofluorescence (IF)
    • Flow Cytometry (FACS)
    • Immunofluorescence (Paraffin-embedded Sections) (IF (p))
    • ELISA
    • Immunocytochemistry (ICC)
    • Immunohistochemistry (IHC)
    • Immunohistochemistry (Paraffin-embedded Sections) (IHC (p))
    • Immunoprecipitation (IP)
    • Immunohistochemistry (Frozen Sections) (IHC (fro))
    • Intracellular Staining (ICS)
    • Dot Blot (DB)
    • Immunochromatography (IC)
    • BioImaging (BI)
  • Reaktivität
    • Human
    • Mouse
    • Rat
    • Chicken
    • Cow
    • Pig
    • Zebrafish (Danio rerio)
    • Dog
    • Insect
    • Rabbit
    • Saccharomyces cerevisiae
    • Xenopus laevis
    • Drosophila melanogaster
    • Fish
    • Hamster
    • Horse
    • Mammalian
    • Monkey
    • Sheep
  • In Publikationen zitiert
  • Abbildungen verfügbar
  • Nur ohne Konservierungsmittel
  • Carrier free only
  • Wirt
    • Rabbit
    • Mouse
    • Sheep
  • Klonalität
    • Polyclonal
    • Monoclonal
  • Klon
    • 8C2
    • SR1718
    • SZ2-4
    • 20A
    • 3G4
    • SB46b
    • 784CT7-6-3
    • 0-T-87
    • 1H4
    • 23GB4510
    • 2C6-A12-G8
    • 2E8-2F6-C12
    • 3A12
    • 3F8
    • 3G184
    • 4D4
    • 4F3-A10-E7
    • 4G3
    • 6H2
    • 8A17
    • 8B1
    • B20-U
    • G15-B
    • IL-13
    • PT0510R
    • PT0643R
    • RB15981
    • RB41825
  • Bindungsspezifität
    • pThr202
    • pTyr204
    • pThr183
    • pTyr185
    • pThr185
    • AA 301-358
    • pTyr205
    • pTyr222
    • pTyr187
    • C-Term
    • N-Term
    • AA 151-250
    • Center
    • Tyr204
    • AA 140-220
    • AA 200-204
    • AA 202-206
    • Tyr205
    • AA 169-218
    • AA 170-219
    • AA 176-208
    • AA 300-380
    • AA 324-345
    • AA 330-379
    • Arg172
    • Asp196
    • His197
    • Internal Region
    • Leu352
    • Thr202
    • Tyr222
    • pThr187
    • pTyr202
    • phosphospecific
  • Konjugat
    • Unkonjugiert
    • Biotin
    • Alexa Fluor 488
    • Alexa Fluor 647
    • Alexa Fluor 555
    • Alexa Fluor 594
    • Alexa Fluor 680
    • Alexa Fluor 750
    • HRP
    • AbBy Fluor® 350
    • AbBy Fluor® 488
    • AbBy Fluor® 555
    • AbBy Fluor® 594
    • AbBy Fluor® 647
    • AbBy Fluor® 680
    • AbBy Fluor® 750
    • Cy3
    • Cy5
    • Cy5.5
    • Cy7
    • Alexa Fluor 350
    • Alexa Fluor 405
    • FITC
    • PE
    • Magnetic Particles
    • PE-Cy7
    • PerCP-Cy5.5
    • Sepharose
  • Isotyp
    • IgG
    • IgG1
    • IgG2a
    • Ig Fraction
    • IgG1 kappa
    • IgG2b
    • kappa
  • Protein-Typ
    • Recombinant Antibody
  • Format
    • Liquid
    • Lyophilized
  • Grade
    • KD Validated
  • Hersteller
    • antibodies-online
    • Signalway
    • Acris
    • BD Biosciences
    • USBio
    • Cohesion Biosciences
    • Abbexa
    • Assay Biotechnology Company, Inc.
    • NSJ Bioreagents
    • ProSci
    • Biomatik
    • Elabscience
    • Covalab

Aktuelle Publikationen für unsere ERK1/2 Antikörper

Xue, Zhang, Zheng, Zhang, Chu, Liu, Li, Han, Chu: "[8]-Gingerol exerts anti-myocardial ischemic effects in rats via modulation of the MAPK signaling pathway and L-type Ca2+ channels." in: Pharmacology research & perspectives, Vol. 9, Issue 5, pp. e00852, (2022) (PubMed).

Wu, Tong, Luo, Zhao, Chen, Li, Huselstein, Ye, Ye, Chen: "Comprehensive strategy of conduit guidance combined with VEGF producing Schwann cells accelerates peripheral nerve repair." in: Bioactive materials, Vol. 6, Issue 10, pp. 3515-3527, (2021) (PubMed).

Burgueño, Lang, Santander, Fernández, Fernández, Zaias, Abreu: "Fluid supplementation accelerates epithelial repair during chemical colitis." in: PLoS ONE, Vol. 14, Issue 4, pp. e0215387, (2019) (PubMed).

Jeon, Han, Lee, Park, Kim, Yoo, Lee: "Activation of the complement system in an osteosarcoma cell line promotes angiogenesis through enhanced production of growth factors." in: Scientific reports, Vol. 8, Issue 1, pp. 5415, (2019) (PubMed).

Zhang, Liu, Wang, Xie, Sheng, Zhang, Yuan, Han, Weng: "Seasonal Expression of Oxytocin and Oxytocin Receptor in the Scented Gland of Male Muskrat (Ondatra zibethicus)." in: Scientific reports, Vol. 7, Issue 1, pp. 16627, (2018) (PubMed).

Zhang, Zhao, Zhang, Hao, Yu, Min, Li, Ma, Chen, Yi, Tang, Meng, Liu, Wang, Shen, Zhang: "Decrease in male mouse fertility by hydrogen sulfide and/or ammonia can Be inheritable." in: Chemosphere, Vol. 194, pp. 147-157, (2018) (PubMed).

Montoya, Amaya, Belmont, Diab, Trevino, Villanueva, Rains, Sanchez, Badri, Otoukesh, Khammanivong, Liss, Baca, Aguilera, Dickerson, Torabi, Dwivedi, Abbas, Chambers, Bryan, Nahleh: "Use of non-selective β-blockers is associated with decreased tumor proliferative indices in early stage breast cancer." in: Oncotarget, Vol. 8, Issue 4, pp. 6446-6460, (2018) (PubMed).

Deng, Cheng, Wu, Wang, Zhou, Huang: "Oxabicycloheptene Sulfonate Protects Against β-Amyloid-induced Toxicity by Activation of PI3K/Akt and ERK Signaling Pathways Via GPER1 in C6 Cells." in: Neurochemical research, Vol. 42, Issue 8, pp. 2246-2256, (2018) (PubMed).

Wang, Wang, Liang, Wang, Ma, Liu, He, Shimosawa, Xu: "The Inhibitory Effect of Eplerenone on Cell Proliferation in the Contralateral Kidneys of Rats with Unilateral Ureteral Obstruction." in: Nephron, Vol. 136, Issue 4, pp. 328-338, (2018) (PubMed).

Li, Xiong, Xu, Duan, Yang, Zhou, Tu: "miR-29a regulated ER-positive breast cancer cell growth and invasion and is involved in the insulin signaling pathway." in: Oncotarget, Vol. 8, Issue 20, pp. 32566-32575, (2018) (PubMed).

Aliase für ERK1/2 Antikörper

mitogen-activated protein kinase (erk1/2) Antikörper
erk1/2 Antikörper
Sie sind hier:
Chat with us!