Telefon:
+49 (0)241 95 163 153
Fax:
+49 (0)241 95 163 155
E-Mail:
orders@antikoerper-online.de

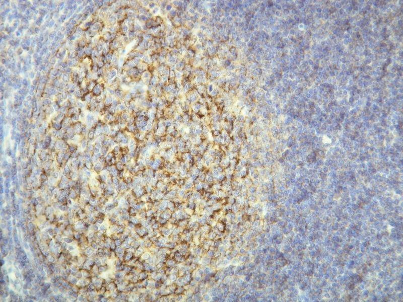
CD21 Antikörper

(Complement Component (3d/Epstein Barr Virus) Receptor 2 (CR2))

Wählen Sie einen von 272 CD21-Antikörpern aus unserem Produktangebot basierend auf 82 Publikationen und 106 Validierungsbilder.

Entdecken Sie zuverlässige CD21-Antikörper von einer großen Zahl namhafter Hersteller. Unser Portfolio ermöglicht eine präzise CD21-Detektion in verschiedenen Spezies, darunter Human, Mouse, Rat, Pig, Cow, Dog, Goat, Sheep, African buffalo (Syncerus caffer), Horse, Cat, Baboon, Cynomolgus, Monkey, Mule deer (Odocoileus hemionus), Rabbit, Red Deer, Rhesus Monkey, und unterstützt vielfältige Forschungsanwendungen wie FACS, IHC, WB, IF, IHC (fp).

Finden Sie schnell den passenden Antikörper mit unseren Such-, Filter- und Vergleichsfunktionen. Auf jeder Produktseite stehen Ihnen detaillierte Validierungsdaten, Literaturreferenzen und Kundenbewertungen zur Verfügung. Im Gegensatz zu reinen Vergleichsportalen können Sie Ihre Antikörper direkt über unsere Plattform erwerben. Wählen Sie aus polyklonalen, monoklonalen oder rekombinanten CD21-Antikörpern aus verschiedenen Wirtsarten wie Mouse, Rabbit, Rat. Durchstöbern Sie unten unsere Auswahl an CD21-Antikörpern und bestellen Sie direkt, um Ihre Forschung effizient voranzubringen.

Alternative Bezeichnungen für CD21 sind CR2, Cr2, CR1.

272 Treffer

CR2 Reaktivität: Human FACS, WB, IHC (p) Wirt: Kaninchen Polyclonal unconjugated
Produktnummer ABIN5536956
730,13 €
Zzgl. Versandkosten 20,00 € und MwSt
400 μL
Lieferung nach: Deutschland
Lieferung in 6 bis 9 Werktagen
 
GMP Grade (Analyte) CR2 Reaktivität: Human FACS Wirt: Maus Monoclonal HB5 FITC
Produktnummer ABIN7076447
307,75 €
Zzgl. Versandkosten 20,00 € und MwSt
50 tests (Weitere Mengeneinheiten)
Lieferung nach: Deutschland
Lieferung in 6 bis 9 Werktagen
 
CR2 Reaktivität: Human, Maus, Ratte IHC Wirt: Maus Monoclonal 2C5 unconjugated
Produktnummer ABIN3181130
377,51 €
Zzgl. Versandkosten 20,00 € und MwSt
100 μL (Weitere Mengeneinheiten)
Lieferung nach: Deutschland
Lieferung in 8 bis 10 Werktagen
 
CR2 Reaktivität: Maus IHC, WB, IP, ICC Wirt: Kaninchen Polyclonal unconjugated
Produktnummer ABIN7439927
293,45 €
Zzgl. Versandkosten 20,00 € und MwSt
100 μL (Weitere Mengeneinheiten)
Lieferung nach: Deutschland
Lieferung in 11 bis 15 Werktagen
 
CR2 Reaktivität: Schwein FACS Wirt: Maus Monoclonal BB6-11C9-6 Biotin
Produktnummer ABIN135486
657,99 €
Zzgl. Versandkosten 20,00 € und MwSt
0.5 mg
Lieferung nach: Deutschland
Lieferung in 7 bis 10 Werktagen
 
CR2 Reaktivität: Schwein FACS Wirt: Maus Monoclonal BB6-11C9-6 unconjugated
Produktnummer ABIN135484
605,11 €
Zzgl. Versandkosten 20,00 € und MwSt
0.5 mg
Lieferung nach: Deutschland
Lieferung in 7 bis 10 Werktagen
 
CR2 Reaktivität: Human FACS, ICC Wirt: Maus Monoclonal B-ly4 FITC
Produktnummer ABIN6253867
2.131,80 €
Zzgl. Versandkosten 20,00 € und MwSt
5 mL
Lieferung nach: Deutschland
Lieferung in 5 bis 8 Werktagen
 
CR2 Reaktivität: Human FACS, ICC Wirt: Maus Monoclonal B-ly4 PE
Produktnummer ABIN6253870
2.571,80 €
Zzgl. Versandkosten 20,00 € und MwSt
5 mL
Lieferung nach: Deutschland
Lieferung in 5 bis 8 Werktagen
 
CR2 Reaktivität: Human FACS, ICC Wirt: Maus Monoclonal B-ly4 unconjugated
Produktnummer ABIN6253869
1.322,51 €
Zzgl. Versandkosten 20,00 € und MwSt
5 mL
Lieferung nach: Deutschland
Lieferung in 5 bis 8 Werktagen
 
CR2 Reaktivität: Human FACS, Func Wirt: Maus Monoclonal B-E5 unconjugated
Produktnummer ABIN1383834
283,64 €
Zzgl. Versandkosten 20,00 € und MwSt
200 μL
Lieferung nach: Deutschland
Lieferung in 3 Werktagen
 
CR2 Reaktivität: Human FACS, IHC Wirt: Maus Monoclonal B-E5 unconjugated
Pubmed 1 reference
Produktnummer ABIN1383837
253,79 €
Zzgl. Versandkosten 20,00 € und MwSt
2 mL
Lieferung nach: Deutschland
Lieferung in 3 Werktagen
 
CR2 Reaktivität: Human IHC (p) Wirt: Kaninchen Monoclonal Q22-S unconjugated
Produktnummer ABIN7598874
286,00 €
Zzgl. Versandkosten 20,00 € und MwSt
100 μL (Weitere Mengeneinheiten)
Lieferung nach: Deutschland
Lieferung in 3 bis 5 Werktagen
 
CR2 Reaktivität: Human FACS, IF, IP, ICC, IHC (fro) Wirt: Maus Monoclonal 4ABU32 FITC
Produktnummer ABIN2144534
204,56 €
Zzgl. Versandkosten 20,00 € und MwSt
25 tests
Lieferung nach: Deutschland
Lieferung in 10 bis 13 Werktagen
 
CR2 Reaktivität: Human FACS, IF, IP, ICC, IHC (fro) Wirt: Maus Monoclonal 4ABU32 PE
Produktnummer ABIN2144821
202,88 €
Zzgl. Versandkosten 20,00 € und MwSt
25 tests
Lieferung nach: Deutschland
Lieferung in 10 bis 13 Werktagen
 
CR2 Reaktivität: Human, Ratte FACS, WB Wirt: Kaninchen Polyclonal AbBy Fluor® 647
Produktnummer ABIN888930
426,37 €
Zzgl. Versandkosten 20,00 € und MwSt
100 μL
Lieferung nach: Deutschland
Lieferung in 20 bis 25 Werktagen
 
CR2 Reaktivität: Human IHC, ELISA Wirt: Maus Monoclonal unconjugated
Produktnummer ABIN7189182
218,90 €
Zzgl. Versandkosten 20,00 € und MwSt
100 μg (Weitere Mengeneinheiten)
Lieferung nach: Deutschland
Lieferung in 11 bis 15 Werktagen
 
CR2 Reaktivität: Human FACS, IF Wirt: Maus Monoclonal HI21a PE
Produktnummer ABIN1112090
363,00 €
Zzgl. Versandkosten 20,00 € und MwSt
100 tests
Lieferung nach: Deutschland
Lieferung in 3 bis 8 Werktagen
 
CR2 Reaktivität: Rind (Kuh), Schaf, Ziege, Mule deer (Odocoileus hemionus), Red Deer FACS, IF, IP, IHC (fro) Wirt: Maus Monoclonal CC21 unconjugated
Pubmed 2 Referenzen
Produktnummer ABIN2479247
463,83 €
Zzgl. Versandkosten 20,00 € und MwSt
0.1 mg
Lieferung nach: Deutschland
Lieferung in 3 bis 4 Werktagen
 
CR2 Reaktivität: Human, Pferd FACS Wirt: Maus Monoclonal Bu33 unconjugated
Pubmed 1 reference
Produktnummer ABIN2479261
604,08 €
Zzgl. Versandkosten 20,00 € und MwSt
0.2 mg
Lieferung nach: Deutschland
Lieferung in 3 bis 4 Werktagen
 
CR2 Reaktivität: Schwein, Rind (Kuh), African buffalo (Syncerus caffer) FACS Wirt: Maus Monoclonal CC51 FITC
Pubmed 3 Referenzen
Produktnummer ABIN2479250
754,25 €
Zzgl. Versandkosten 20,00 € und MwSt
0.1 mg
Lieferung nach: Deutschland
Lieferung in 3 bis 4 Werktagen
 
  • Typ Primary
    • Primary
  • Anwendung
    • Flow Cytometry (FACS)
    • Immunohistochemistry (IHC)
    • Western Blotting (WB)
    • Immunofluorescence (IF)
    • Immunohistochemistry (Formalin-fixed Paraffin-embedded Sections) (IHC (fp))
    • Immunoprecipitation (IP)
    • ELISA
    • Immunocytochemistry (ICC)
    • Immunohistochemistry (Frozen Sections) (IHC (fro))
    • Immunohistochemistry (Paraffin-embedded Sections) (IHC (p))
    • Functional Studies (Func)
    • Staining Methods (StM)
    • Coating (Coat)
    • Immunohistochemistry (Formalin-fixed Sections) (IHC (f))
    • Intracellular Flow Cytometry (ICFC)
    • Blocking Reagent (BR)
    • Enzyme Immunoassay (EIA)
    • Fluorescence Microscopy (FM)
    • Cytometry by Time of Flight (CyTOF)
  • Reaktivität
    • Human
    • Mouse
    • Rat
    • Pig
    • Cow
    • Dog
    • Goat
    • Sheep
    • African buffalo (Syncerus caffer)
    • Horse
    • Cat
    • Baboon
    • Cynomolgus
    • Monkey
    • Mule deer (Odocoileus hemionus)
    • Rabbit
    • Red Deer
    • Rhesus Monkey
  • In Publikationen zitiert
  • Abbildungen verfügbar
  • Nur ohne Konservierungsmittel
  • Carrier free only
  • Wirt
    • Mouse
    • Rabbit
    • Rat
    • Human
  • Klonalität
    • Monoclonal
    • Polyclonal
    • Chimeric
  • Klon
    • BU32
    • CR2-1952
    • CR2-2754
    • rCR2-1952
    • HI21a
    • CR2-3124R
    • CR2-3247
    • HB5
    • 7G6
    • 7E9
    • LT21
    • BB6-11C9-6
    • ABS0567
    • Ab652
    • BU33
    • CC21
    • B-ly4
    • Bu32
    • CC51
    • 21A-5
    • 4ABU32
    • B-E5
    • DMC280
    • 16F10
    • 2C5
    • 2D2H6
    • 2G9
    • 4C5
    • 5F2
    • B
    • BLR371N
    • Bu33
    • C1
    • C10
    • C16
    • CD12B9
    • FHB-3
    • PT0441R
    • Q22-S
    • RB21402
    • RM372
  • Bindungsspezifität
    • AA 142-240
    • AA 44-196
    • AA 981-1092
    • C-Term
    • AA 986-1014
    • AA 729-963
    • AA 761-964
    • Isoform X1
    • AA 650-700
    • AA 729-958
    • N-Term
    • AA 571-770
    • AA 729-957
    • AA 915-965
    • AA 1015-1032
    • AA 300-590
    • AA 381-430
    • AA 44-169
    • AA 463-665
    • AA 740-964
    • AA 76-817
    • Extracellular Domain
    • Internal Region
  • Konjugat
    • Unkonjugiert
    • FITC
    • PE
    • Biotin
    • APC
    • CF®405S
    • CF®488A
    • CF®568
    • CF®594
    • CF®640R
    • CF®647
    • CF®740
    • PerCP
    • HRP
    • Alexa Fluor 488
    • Alexa Fluor 647
    • PerCP-Cy5.5
    • Alexa Fluor 555
    • Alexa Fluor 594
    • Alexa Fluor 680
    • Alexa Fluor 750
    • FineTest®700
    • PE-Cy5
    • PE-Cy7
    • APC-Cy7
    • AbBy Fluor® 350
    • AbBy Fluor® 488
    • AbBy Fluor® 555
    • AbBy Fluor® 594
    • AbBy Fluor® 647
    • AbBy Fluor® 680
    • AbBy Fluor® 750
    • Alexa Fluor 350
    • Alexa Fluor 405
    • Cy3
    • Cy5
    • Cy5.5
    • Cy7
    • Elab Fluor®700
    • FineTest®488
    • FineTest®Violet 450
    • PE-Cy5.5
    • PE-FineTest®594
    • Pacific Blue
  • Isotyp
    • kappa
    • IgG1
    • IgG
    • IgG2a
    • IgG1 kappa
    • IgG2b
    • IgG2a kappa
    • IgG2b kappa
    • Ig Fraction
  • Protein-Typ
    • Recombinant Antibody
  • Format
    • Liquid
    • Lyophilized
  • Fragment
    • Fc fragment
  • Grade
    • GMP Grade
    • GMP Grade (Analyte)
  • Hersteller
    • antibodies-online
    • Biotium
    • ProteoGenix
    • Signalway
    • BioLegend
    • FabGennix
    • Biomatik
    • Cohesion Biosciences
    • Wuhan Fine biotech
    • BD Biosciences
    • Elabscience
    • RayBiotech
    • Abbexa
    • Boster Bio
    • Cloud-Clone
    • Covalab
    • Acris
    • Aeonian Biotech
    • Assay Biotechnology Company, Inc.
    • Kamiya Biomedicals
    • ProSci
    • RevMAb Biosciences
    • USBio

Aktuelle Publikationen für unsere CD21 Antikörper

Kulka, Brennan, Mc Gee: "Investigation of canine extracellular vesicles in diffuse large B-cell lymphomas." in: PloS one, Vol. 17, Issue 9, pp. e0274261, (2022) (PubMed).

Li, Bu, Gabriel, Aguilar, Hoshino, Miyadera, Hess, Hornung, Roy, Cohen: "HLA-DQβ1 alleles associated with Epstein-Barr virus (EBV) infectivity and EBV gp42 binding to cells." in: JCI insight, Vol. 2, Issue 4, pp. e85687, (2017) (PubMed).

John-Schuster, Günter, Hager, Conlon, Eickelberg, Yildirim: "Inflammaging increases susceptibility to cigarette smoke-induced COPD." in: Oncotarget, Vol. 7, Issue 21, pp. 30068-83, (2016) (PubMed).

Sinkora, Butler, Lager, Potockova, Sinkorova: "The comparative profile of lymphoid cells and the T and B cell spectratype of germ-free piglets infected with viruses SIV, PRRSV or PCV2." in: Veterinary research, Vol. 45, pp. 91, (2014) (PubMed).

Avanzi, Leoni, Rotola, Alviano, Solimando, Lanzoni, Bonsi, Di Luca, Marchionni, Alvisi, Ripalti: "Susceptibility of human placenta derived mesenchymal stromal/stem cells to human herpesviruses infection." in: PLoS ONE, Vol. 8, Issue 8, pp. e71412, (2013) (PubMed).

Sinkora, Stepanova, Sinkorova: "Different anti-CD21 antibodies can be used to discriminate developmentally and functionally different subsets of B lymphocytes in circulation of pigs." in: Developmental and comparative immunology, Vol. 39, Issue 4, pp. 409-18, (2013) (PubMed).

Tenaya, Heel, Stumbles, Wilcox: "Flow cytometric analysis of lymphocyte subset kinetics in Bali cattle experimentally infected with Jembrana disease virus." in: Veterinary immunology and immunopathology, Vol. 149, Issue 3-4, pp. 167-76, (2012) (PubMed).

Notley, Brown, Wright, Ehrenstein: "Natural IgM is required for suppression of inflammatory arthritis by apoptotic cells." in: Journal of immunology (Baltimore, Md. : 1950), Vol. 186, Issue 8, pp. 4967-72, (2011) (PubMed).

Kelten, Kabukcu, Sen, Teke, Yaren, Erdem, Duzcan: "Secondary involvement of the breast in T-cell non-Hodgkin lymphoma, an unusual example mimicking inflammatory breast carcinoma." in: Archives of gynecology and obstetrics, Vol. 280, Issue 1, pp. 149-52, (2009) (PubMed).

Singh, Blank, Shoenfeld, Illges: "Antiphospholipid syndrome patients display reduced titers of soluble CD21 in their sera irrespective of circulating anti-beta2-glycoprotein-I autoantibodies." in: Rheumatology international, Vol. 28, Issue 7, pp. 661-5, (2008) (PubMed).

Aliase für CD21 Antikörper

complement C3d receptor 2 (CR2) Antikörper
complement C3d receptor 2 (Cr2) Antikörper
complement C3b/C4b receptor 1 (Knops blood group) (CR1) Antikörper
C3DR Antikörper
CD21 Antikörper
Cd21 Antikörper
cd21 Antikörper
CR Antikörper
CR1 Antikörper
CR1-L Antikörper
CR2 Antikörper
CVID7 Antikörper
SLEB9 Antikörper
Sie sind hier:
Chat with us!