Telefon:
+49 (0)241 95 163 153
Fax:
+49 (0)241 95 163 155
E-Mail:
orders@antikoerper-online.de

Monoklonale Antikörper

Monoklonale Antikörper (mAbs) sind Antikörper, die von identischen Immunzellen gebildet werden, die alle Klone einer eindeutigen Mutterzelle sind und an das gleiche Epitop binden. Bei fast jeder Substanz ist es möglich, monoklonale Antikörper herzustellen, die spezifisch an diese Substanz binden; sie können dann dazu dienen, diese Substanz aufzuspüren oder zu reinigen. Dies hat sich zu einem wichtigen Werkzeug in der Biochemie, Molekularbiologie und Medizin entwickelt. Unterscheiden Sie zwischen Wirt, Klon und Antigen, um Ihren gewünschten Antikörper in unserem Shop zu erhalten.

Empfohlene monoklonale Antikörper

Produkt
Clone
Kat. Nr.
Menge
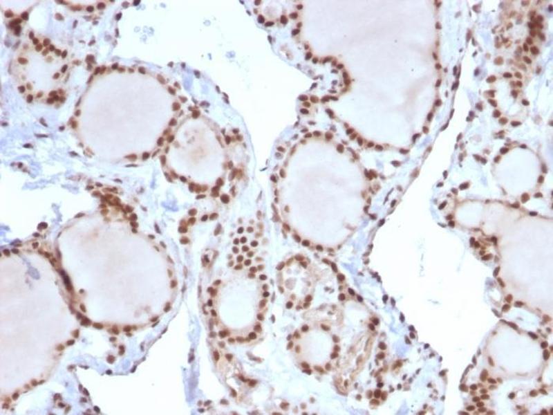
anti-TARDBP Antikörper (AA 1-260)
Clone 2E2-D3
Kat. Nr. ABIN565080
Menge 100 μg
Rekombinanter anti-SARS-CoV-2 Spike S1 Antikörper (RBD)
Clone CR3022
Kat. Nr. ABIN6952546
Menge 200 μg
anti-beta Amyloid Antikörper (C-Term)
Clone 9E8-1A3
Kat. Nr. ABIN5508784
Menge 100 μg
anti-beta Actin Antikörper
Clone
Kat. Nr. ABIN3020544
Menge 100 μL
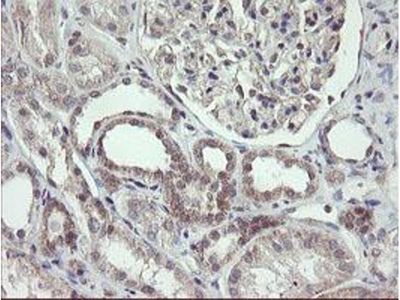
anti-ATM Antikörper (pSer1981)
Clone 10H11-E12
Kat. Nr. ABIN6656104
Menge 100 μg

Wir bieten Ihnen mehr als 100.000 hochwertige monoklonale Antikörper für eine Vielzahl von Anwendungen. Auf antibodies-online.com finden Sie zusätzlich eine Vielzahl von konjugierten monoklonalen Antikörpern mit Tags wie HA, HIS, Farbstoffen und den meisten anderen relevanten Konjugaten. Unser Support hilft Ihnen gerne weiter, wenn Sie weitere Fragen haben. Wenn Sie einen unkonjugierten Primärantikörper verwenden möchten, vergessen Sie nicht den passenden Sekundärantikörper!

Wichtige Targets

Alle monoklonalen Antikörper

176.448 Treffer

ARF1 Reaktivität: Human, Ratte, Maus IHC, StM Wirt: Maus Monoclonal ARF1-2117 unconjugated
Produktnummer ABIN6939846
639,45 €
Zzgl. Versandkosten 20,00 € und MwSt
100 μg (Weitere Mengeneinheiten)
Lieferung nach: Deutschland
Lieferung in 6 bis 10 Werktagen
 
KRT5 Reaktivität: Human IHC, StM Wirt: Maus Monoclonal KRT5-3594 unconjugated
Produktnummer ABIN6939864
639,45 €
Zzgl. Versandkosten 20,00 € und MwSt
100 μg (Weitere Mengeneinheiten)
Lieferung nach: Deutschland
Lieferung in 6 bis 10 Werktagen
 
MSN Reaktivität: Human, Ratte WB, IHC, IF, FACS, StM Wirt: Maus Monoclonal MSN-491 unconjugated
Produktnummer ABIN6940082
639,45 €
Zzgl. Versandkosten 20,00 € und MwSt
100 μg (Weitere Mengeneinheiten)
Lieferung nach: Deutschland
Lieferung in 6 bis 10 Werktagen
 
MSH2 Reaktivität: Human WB, IHC, FACS, StM Wirt: Maus Monoclonal MSH2-2622 unconjugated
Produktnummer ABIN6940081
639,45 €
Zzgl. Versandkosten 20,00 € und MwSt
100 μg (Weitere Mengeneinheiten)
Lieferung nach: Deutschland
Lieferung in 6 bis 10 Werktagen
 
MSN Reaktivität: Human WB, IHC, IF, FACS, StM, BP Wirt: Maus Monoclonal MSN-493 unconjugated
Produktnummer ABIN6940085
639,45 €
Zzgl. Versandkosten 20,00 € und MwSt
100 μg (Weitere Mengeneinheiten)
Lieferung nach: Deutschland
Lieferung in 6 bis 10 Werktagen
 
MKI67 Reaktivität: Human IHC, WB, FACS, IF, StM Wirt: Maus Monoclonal MKI67-2461 unconjugated
Produktnummer ABIN6940052
639,45 €
Zzgl. Versandkosten 20,00 € und MwSt
100 μg (Weitere Mengeneinheiten)
Lieferung nach: Deutschland
Lieferung in 6 bis 10 Werktagen
 
MKI67 Reaktivität: Human IHC, WB, FACS, IF, StM Wirt: Maus Monoclonal MKI67-2462 unconjugated
Produktnummer ABIN6940053
639,45 €
Zzgl. Versandkosten 20,00 € und MwSt
100 μg (Weitere Mengeneinheiten)
Lieferung nach: Deutschland
Lieferung in 6 bis 10 Werktagen
 
MME Reaktivität: Human WB, IHC, StM Wirt: Maus Monoclonal MME-1870 unconjugated
Produktnummer ABIN6940058
639,45 €
Zzgl. Versandkosten 20,00 € und MwSt
100 μg (Weitere Mengeneinheiten)
Lieferung nach: Deutschland
Lieferung in 6 bis 10 Werktagen
 
CDH1 Reaktivität: Human WB, IHC, IF, StM, ISt Wirt: Maus Monoclonal CDH1-1525 unconjugated
Produktnummer ABIN6941295
639,45 €
Zzgl. Versandkosten 20,00 € und MwSt
100 μg (Weitere Mengeneinheiten)
Lieferung nach: Deutschland
Lieferung in 6 bis 10 Werktagen
 
CLIC3 Reaktivität: Human WB, ELISA, IF Wirt: Maus Monoclonal 3F8 unconjugated
Produktnummer ABIN465974
634,26 €
Zzgl. Versandkosten 20,00 € und MwSt
100 μg
Lieferung nach: Deutschland
Lieferung in 15 bis 20 Werktagen
 
Reaktivität: Human WB, IHC, ELISA, IF, IHC (p) Wirt: Maus Monoclonal 1H4 unconjugated
Produktnummer ABIN598916
634,26 €
Zzgl. Versandkosten 20,00 € und MwSt
100 μg
Lieferung nach: Deutschland
Lieferung in 15 bis 20 Werktagen
 
RPL19 Reaktivität: Human WB, ELISA, IF Wirt: Maus Monoclonal 3H4 unconjugated
Produktnummer ABIN465969
634,26 €
Zzgl. Versandkosten 20,00 € und MwSt
100 μg
Lieferung nach: Deutschland
Lieferung in 15 bis 20 Werktagen
 
ACTA1 Reaktivität: Human, Ratte, Zebrafisch (Danio rerio), Kaninchen, Schwein, Huhn, Affe WB, ELISA, IHC, IHC (p), IHC (fro), IEM Wirt: Maus Monoclonal HHF35 unconjugated
Produktnummer ABIN1502284
512,07 €
Zzgl. Versandkosten 20,00 € und MwSt
50 μg
Lieferung nach: Deutschland
Lieferung in 15 bis 20 Werktagen
 
CD44 Reaktivität: Human FACS, WB, IHC, ELISA, IHC (p), IP, Inhibition Wirt: Maus Monoclonal MEM-85 unconjugated
Produktnummer ABIN396970
610,95 €
Zzgl. Versandkosten 20,00 € und MwSt
0.05 mg
Lieferung nach: Deutschland
Lieferung in 15 bis 20 Werktagen
 
TNFRSF8 Reaktivität: Human IHC, WB, IHC (p) Wirt: Maus Monoclonal 1C6 unconjugated
Produktnummer ABIN1491084
806,47 €
Zzgl. Versandkosten 20,00 € und MwSt
100 μL
Lieferung nach: Deutschland
Lieferung in 15 bis 20 Werktagen
 
F13A1 Reaktivität: Human WB, IHC, IHC (p) Wirt: Maus Monoclonal 3F1 unconjugated
Produktnummer ABIN1498150
806,47 €
Zzgl. Versandkosten 20,00 € und MwSt
100 μL
Lieferung nach: Deutschland
Lieferung in 15 bis 20 Werktagen
 
APEX1 Reaktivität: Human, Hund, Affe WB, IHC, IHC (p) Wirt: Maus Monoclonal 1H9 unconjugated
Produktnummer ABIN1490625
806,47 €
Zzgl. Versandkosten 20,00 € und MwSt
100 μL
Lieferung nach: Deutschland
Lieferung in 15 bis 20 Werktagen
 
RIPK1 Reaktivität: Human WB, IHC, IHC (p) Wirt: Maus Monoclonal 2D6 unconjugated
Produktnummer ABIN1490909
806,47 €
Zzgl. Versandkosten 20,00 € und MwSt
100 μL
Lieferung nach: Deutschland
Lieferung in 15 bis 20 Werktagen
 
ARL2BP Reaktivität: Human WB, IHC, IF, FACS, IHC (p) Wirt: Maus Monoclonal 1A10 unconjugated
Produktnummer ABIN1496715
806,47 €
Zzgl. Versandkosten 20,00 € und MwSt
100 μL
Lieferung nach: Deutschland
Lieferung in 15 bis 20 Werktagen
 
MAFB Reaktivität: Human WB, FACS, IHC, IHC (p) Wirt: Maus Monoclonal 2A6 unconjugated
Produktnummer ABIN1491411
806,47 €
Zzgl. Versandkosten 20,00 € und MwSt
100 μL
Lieferung nach: Deutschland
Lieferung in 15 bis 20 Werktagen
 
TLE1 Reaktivität: Human WB, IHC, IF, FACS, IHC (p) Wirt: Maus Monoclonal 1H2 unconjugated
Produktnummer ABIN1491049
806,47 €
Zzgl. Versandkosten 20,00 € und MwSt
100 μL
Lieferung nach: Deutschland
Lieferung in 15 bis 20 Werktagen
 
TLE1 Reaktivität: Human WB, IHC, IF, FACS, IHC (p) Wirt: Maus Monoclonal 1D6 unconjugated
Produktnummer ABIN1491050
806,47 €
Zzgl. Versandkosten 20,00 € und MwSt
100 μL
Lieferung nach: Deutschland
Lieferung in 15 bis 20 Werktagen
 
METAP2 Reaktivität: Human WB, IHC, IF, IHC (p), FACS Wirt: Maus Monoclonal 1F6 unconjugated
Produktnummer ABIN1491153
806,47 €
Zzgl. Versandkosten 20,00 € und MwSt
100 μL
Lieferung nach: Deutschland
Lieferung in 15 bis 20 Werktagen
 
FBXO42 Reaktivität: Human WB, FACS, IHC, IHC (p) Wirt: Maus Monoclonal 1H4 unconjugated
Produktnummer ABIN1491449
806,47 €
Zzgl. Versandkosten 20,00 € und MwSt
100 μL
Lieferung nach: Deutschland
Lieferung in 15 bis 20 Werktagen
 
RFC2 Reaktivität: Human WB, FACS, IHC, IHC (p), IF Wirt: Maus Monoclonal 3A7 unconjugated
Produktnummer ABIN1490616
806,47 €
Zzgl. Versandkosten 20,00 € und MwSt
100 μL
Lieferung nach: Deutschland
Lieferung in 15 bis 20 Werktagen
 
  • Typ Primary
    • Primary
  • Target
    • CD45 (PTPRC)
    • CD4
    • Histone 3 (H3)
    • CD8 alpha (CD8A)
    • CD3 epsilon (CD3E)
    • EGFR
    • p53 (TP53)
    • CD19
    • CD3
    • CD11b (ITGAM)
    • CD44
    • CD20 (MS4A1)
    • CD25 (IL2RA)
    • CD31 (PECAM1)
    • EpCAM (EPCAM)
    • CD14
    • Interferon gamma (IFNG)
    • TNF alpha
    • CD5
    • ErbB2/Her2
    • CD34
    • CD40
    • Transferrin Receptor (TFRC)
    • CD28
    • CD8
    • PD-1 (PDCD1)
    • CD38
    • CD56 (NCAM1)
    • AKT1
    • ITGAL
    • CD11c (ITGAX)
    • CD86
    • GFAP
    • CD90 (THY1)
    • CD63
    • CD2
    • ICAM1
    • Cytokeratin 18 (KRT18)
    • KIT
    • PD-L1
    • Cytokeratin 19 (KRT19)
    • CD22
    • CD9
    • Estrogen Receptor alpha (ESR1)
    • MUC1
    • SARS-CoV-2 Spike (SARS-CoV-2 S)
    • Vimentin (VIM)
    • L-Selectin (SELL)
    • CD81
    • IL-6 (IL6)
    Please use search to find more...
  • Anwendung
    • Western Blotting (WB)
    • Immunohistochemistry (IHC)
    • Flow Cytometry (FACS)
    • Immunofluorescence (IF)
    • ELISA
    • Immunocytochemistry (ICC)
    • Immunoprecipitation (IP)
    • Immunohistochemistry (Paraffin-embedded Sections) (IHC (p))
    • Immunohistochemistry (Formalin-fixed Paraffin-embedded Sections) (IHC (fp))
    • Immunohistochemistry (Frozen Sections) (IHC (fro))
    • Immunohistochemistry (Formalin-fixed Sections) (IHC (f))
    • Immunofluorescence (fixed cells) (IF/ICC)
    • Functional Studies (Func)
    • Enzyme Immunoassay (EIA)
    • Coating (Coat)
    • Immunofluorescence (Paraffin-embedded Sections) (IF (p))
    • Neutralization (Neut)
    • Staining Methods (StM)
    • Immunochromatography (IC)
    • Immunofluorescence (Cultured Cells) (IF (cc))
    • Intracellular Flow Cytometry (ICFC)
    • Dot Blot (DB)
    • Immunostaining (ISt)
    • Lateral Flow (LF)
    • Surface Plasmon Resonance (SPR)
    • Radioimmunoassay (RIA)
    • Chromatin Immunoprecipitation (ChIP)
    • Blocking Reagent (BR)
    • Bio-Layer Interferometry (BLI)
    • Cytotoxicity Test (CyTox)
    • Immunoassay (IA)
    • RNA Interference (RNAi)
    • ELISA (Capture)
    • Antibody Array (AA)
    • Fluorescence Microscopy (FM)
    • Intracellular Staining (ICS)
    • Indirect Immunofluorescence Assay (IFA)
    • Protein Assay (PrA)
    • ELISA (Detection)
    • Blocking Peptide (BP)
    • Proximity Ligation Assay (PLA)
    • In vivo Studies (in vivo)
    • Luminex Assay (LMNX)
    • Cytometry by Time of Flight (CyTOF)
    • ELISpot
    • Biochemical Assay (BCA)
    • Detection (D)
    • Chemiluminescence Immunoassay (CLIA)
    • Blocking Antibody (Inhibition)
    • BioImaging (BI)
    Please use search to find more...
  • Reaktivität
    • Human
    • Mouse
    • Rat
    • Monkey
    • Cow
    • Dog
    • Pig
    • Rabbit
    • Chicken
    • Hamster
    • Sheep
    • Zebrafish (Danio rerio)
    • Cat
    • Guinea Pig
    • Non-Human Primate
    • Horse
    • Various Species
    • Baboon
    • Cynomolgus
    • Goat
    • SARS Coronavirus-2 (SARS-CoV-2)
    • Rhesus Monkey
    • Drosophila melanogaster
    • Xenopus laevis
    • Human Immunodeficiency Virus (HIV)
    • Frog
    • Primate
    • Saccharomyces cerevisiae
    • Chimpanzee
    • E. coli
    • Chemical
    • Virus
    • Mammalian
    • Hepatitis B Virus (HBV)
    • Fish
    • Herpes Simplex Virus (HSV)
    • Hepatitis C Virus (HCV)
    • Human Papillomavirus 16 (HPV-16)
    • Aequorea victoria
    • Influenza A Virus
    • Ferret
    • Plant
    • Green Monkey
    • Mink
    • Influenza B Virus
    • Epstein-Barr Virus (EBV)
    • Vertebrate
    • All Species
    • Macaque
    • Bacteria
    Please use search to find more...
  • In Publikationen zitiert
  • Abbildungen verfügbar
  • Independent Validation
  • Nur ohne Konservierungsmittel
  • Carrier free only
  • Detektionsmethode
    • Fluorometric
  • Wirt
    • Mouse
    • Rabbit
    • Rat
    • Human
    • Humanized
    • Hamster
    • Alpaca
    • Armenian Hamster
    • Mammalian Cells
    • Golden Syrian Hamster
    • Cell culture
    • Sheep
    • CHO Cells
    • HEK-293F Cells
    • Llama
    • Chimeric
    • Dog
    • Guinea Pig
    • HEK-293 Cells
    • Human Cells
    • Caninized
    • Goat
    • Cat (Feline)
    • Chicken
    • Cynomolgus Monkey (Macaca fascicularis)
    • Felinized
    • Rabbit/Mouse Cocktail
    • Camelid (Camelidae)
    • Escherichia coli (E. coli)
    • Fruit Fly (Drosophila melanogaster)
    • Phage Display
    • Tobacco (Nicotiana benthamiana)
  • Klonalität Monoclonal
    • Monoclonal
    • Polyclonal
    • Chimeric
    • Bispecific
    • Multiclonal
  • Klon
    • C1
    • C2
    • C3
    • C4
    • C5
    • C6
    • 3G8
    • C10
    • C7
    • 1A8
    • 145-2C11
    • C11
    • D1
    • 1D3
    • 2H7
    • M1-70
    • 1F6
    • C8
    • D4
    • 1D4B
    • GK1-5
    • 2F11
    • 1D6
    • 2B8
    • 3C7
    • RB6-8C5
    • 1F4
    • UCHT1
    • 2D3
    • 1D8
    • 2F7
    • L243
    • 3G3
    • 1A4
    • C9
    • 2B11
    • 1A5
    • 1B4
    • 2C4
    • 2E7
    • A20
    • D3
    • 1A7
    • 2D10
    • 53-6-7
    • D2
    • C12
    • N418
    • W6-32
    • 1D4
    Please use search to find more...
  • Bindungsspezifität
    • C-Term
    • N-Term
    • Cytosolic
    • Extracellular Domain
    • AA 1-100
    • Extracellular
    • AA 1-110
    • pan
    • full length
    • Cytoplasmic Domain
    • AA 356-475
    • linear
    • RBD
    • Conformational Domain
    • AA 1-101
    • Internal Region
    • AA 1-200
    • Center
    • AA 1-119
    • Intracellular
    • AA 1-300
    • AA 1-90
    • AA 82-238
    • AA 1-181
    • pTyr705
    • AA 38-165
    • AA 1-80
    • AA 1-150
    • AA 408-439
    • AA 202-216
    • AA 1-250
    • AA 167-261
    • pThr202
    • AA 1-24
    • AA 2-101
    • AA 23-119
    • Prodomain
    • AA 256-389
    • AA 35-179
    • AA 1-98
    • AA 1-99
    • AA 189-299
    • AA 1-50
    • AA 824-1203
    • AA 115-269
    • AA 41-54
    • pSer727
    • AA 1-134
    • AA 77-202
    • truncated
    Please use search to find more...
  • Konjugat
    • Unkonjugiert
    • Biotin
    • FITC
    • PE
    • Alexa Fluor 647
    • Alexa Fluor 488
    • Alexa Fluor 594
    • Alexa Fluor 555
    • Alexa Fluor 750
    • Alexa Fluor 680
    • APC
    • Alexa Fluor 350
    • Alexa Fluor 405
    • CF®488A
    • CF®568
    • CF®647
    • CF®640R
    • CF®594
    • CF®405S
    • CF®740
    • PerCP
    • HRP
    • PE-Cy7
    • PerCP-Cy5.5
    • FL490
    • FL550
    • FL594
    • FL650
    • PE-Cy5
    • Atto 488
    • Atto 390
    • Atto 594
    • APC-Cy7
    • Pacific Blue
    • Sepharose
    • Magnetic Particles
    • FineTest®700
    • FineTest®647
    • PE-Cy5.5
    • FineTest®488
    • Cy5
    • Elab Fluor®700
    • Cy3
    • Alexa Fluor 700
    • SPRD
    • Cy5.5
    • Cy7
    • AbBy Fluor® 594
    • AbBy Fluor® 350
    • AbBy Fluor® 555
    • AbBy Fluor® 647
  • Isotyp
    • IgG1
    • IgG
    • IgG2a
    • kappa
    • IgG1 kappa
    • IgG2b
    • IgG2a kappa
    • IgG2b kappa
    • IgM
    • IgG2
    • IgG3
    • IgG4
    • IgG kappa
    • IgM kappa
    • IgG2c
    • lambda
    • IgG3 kappa
    • IgG1 lambda
    • IgG2c kappa
    • IgG2a lambda
    • IgG4 S228P
    • IgG2b lambda
    • Fc Silenced
    • IgG4 kappa
    • E356D
    • M358L
    • IgG Mix lambda
    • IgG2 kappa
    • IgG2SA
    • IgG2 lambda
    • IgA
    • L234A
    • L235A
    • IgE
    • K214R
    • IgA kappa
    • IgG lambda
    • IgG4 lambda
    • P329G
    • Ig kappa
    • L235E
    • Ig Fraction
    • IgG1/IgG2b
    • IgG3 lambda
    • IgM lambda
    • P331S
    • S378A
    • D265A
    • IgG IgA IgM Mix
    • IgG1a
    Please use search to find more...
  • Protein-Typ
    • Recombinant Antibody
  • Format
    • Liquid
    • Lyophilized
    • Lyophilized or Liquid
    • Frozen
    • Powder
  • Fragment
    • single-domain Antibody (sdAb)
    • Fab fragment
    • scFv fragment
    • F(ab')2 fragment
    • Fc-mutant
    • Fc fragment
    • Heavy chain Antibody (HcAb)
  • Grade
    • KD Validated
    • Research Grade
    • KO Validated
    • GMP Grade
    • Carrier-free
    • Cell Culture Grade
    • Microarray verified
    • GMP Grade (Analyte)
    • In vivo Grade
    • KO Validated, KD Validated
    • MALS verified
    • Animal-Free
    • ChIP-seq Grade
    • ChIP Grade
    • Calibrator Grade
  • Hersteller
    • antibodies-online
    • Signalway
    • Biotium
    • ProteoGenix
    • USBio
    • Cohesion Biosciences
    • Abbexa
    • Acris
    • BioLegend
    • Boster Bio
    • Antibodies Incorporated
    • Biomatik
    • BD Biosciences
    • NSJ Bioreagents
    • Covalab
    • RayBiotech
    • Angio-Proteomie
    • OriGene
    • Rockland
    • Wuhan Fine biotech
    • ProSci
    • Elabscience
    • Abeomics
    • RevMAb Biosciences
    • Immune Technology
    • Enogene Biotech
    • Biospes
    • Active Motif
    • QED Bioscience
    • Cloud-Clone
    • Agrisera
    • Synaptic Systems
    • PROGEN
    • Hytest
    • Kamiya Biomedicals
    • ACROBiosystems
    • The native Antigen Company
    • EnCor Biotechnology
    • BioAcademia
    • Anogen
    • GenScript
    • Assay Biotechnology Company, Inc.
    • Virusys
    • Aldevron
    • Ansh Labs
    • Columbia Biosciences
    • Abiocode
    • Aeonian Biotech
    • Diagenode
    • Neuromics Antibodies
    Please use search to find more...
Sie sind hier:
Chat with us!