Telefon:
+49 (0)241 95 163 153
Fax:
+49 (0)241 95 163 155
E-Mail:
orders@antikoerper-online.de

HMHA1 Antikörper (AA 57-71)

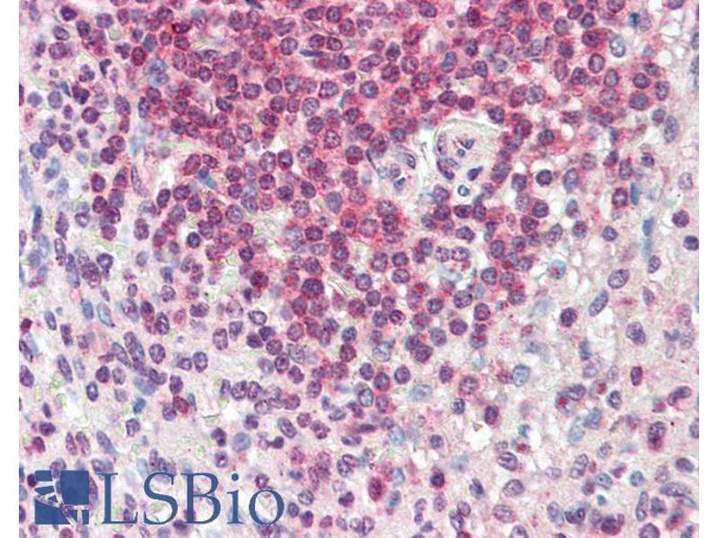
Der Ziege Polyklonal anti-HMHA1 Antikörper (ABIN987270) detektiert spezifisch HMHA1 in ELISA und IHC. Dieser Antikörper reagiert spezifisch mit Proben aus Human.
Produktnummer ABIN987270
488,25 €
Zzgl. Versandkosten 20,00 € und MwSt
100 μg
Lieferung nach: Deutschland
Lieferung in 5 bis 8 Werktagen

Kurzübersicht für HMHA1 Antikörper (AA 57-71) (ABIN987270)

Target

Alle HMHA1 Antikörper anzeigen
HMHA1 (Histocompatibility (Minor) HA-1 (HMHA1))

Reaktivität

  • 26
  • 5
  • 2
  • 2
  • 2
  • 2
  • 1
  • 1
  • 1
  • 1
  • 1
  • 1
  • 1
Human

Wirt

  • 25
  • 2
  • 1
Ziege

Klonalität

  • 26
  • 2
Polyklonal

Konjugat

  • 16
  • 2
  • 1
  • 1
  • 1
  • 1
  • 1
  • 1
  • 1
  • 1
  • 1
  • 1
Dieser HMHA1 Antikörper ist unkonjugiert

Applikation

  • 19
  • 11
  • 10
  • 8
  • 4
  • 2
  • 1
  • 1
ELISA, Immunohistochemistry (IHC)

Güteklasse

Verified
  • Bindungsspezifität

    • 7
    • 1
    • 1
    • 1
    • 1
    • 1
    • 1
    • 1
    • 1
    • 1
    AA 57-71

    Verwendungszweck

    HMHA1 (aa57-71)

    Sequenz

    KATGTLKRPT SLSRH

    Spezifität

    To avoid confusion please note that this antibody is designed to recognise the whole protein as coded by NP_036424.2 and won't recognise the peptide found eluted from HLA-A*0201 Molecules by den Haan et al (Science. 1998 Feb 13,279(5353):1054-7, PMID: 946

    Kreuzreaktivität

    Rind (Kuh), Human, Maus, Ratte

    Aufreinigung

    Purified from goat serum by ammonium sulphate precipitation followed by antigen affinity chromatography using the immunizing peptide.

    Immunogen

    Peptide with sequence KATGTLKRPTSLSRH-C, from the N Terminus of the protein sequence according to NP_036424.2.

    Isotyp

    IgG
  • Applikationshinweise

    Immunohistochemistry: Paraffin embedded Human Spleen. Recommended concentration: 5 μg/mL.

    Western Blot: Preliminary experiments gave an approx 200 kDa band in lysates of cell lines Jurkat and Molt4 after 0.05 μg/mL antibody staining. Please note that currently we cannot find an explanation in the literature for the band we observe given the cal

    Peptide ELISA: antibody detection limit dilution 1:128000.

    Beschränkungen

    Nur für Forschungszwecke einsetzbar
  • Format

    Liquid

    Konzentration

    0.5 mg/mL

    Buffer

    Supplied at 0.5 mg/mL in Tris saline, 0.02 % sodium azide, pH 7.3 with 0.5 % bovine serum albumin.

    Konservierungsmittel

    Sodium azide

    Vorsichtsmaßnahmen

    This product contains Sodium azide: a POISONOUS AND HAZARDOUS SUBSTANCE which should be handled by trained staff only.

    Handhabung

    Minimize freezing and thawing.

    Lagerung

    -20 °C

    Informationen zur Lagerung

    Aliquot and store at -20°C, with minimal freeze/thawing. A working aliquot may be refrigerated at 4°C for a few weeks and still remain viable.
  • Target

    HMHA1 (Histocompatibility (Minor) HA-1 (HMHA1))

    Andere Bezeichnung

    HMHA1

    Hintergrund

    HMHA1, histocompatibility (minor) HA-1, HA-1, HLA-HA1, KIAA0223, minor histocompatibility antigen HA-1, minor histocompatibility protein HA-1

    Gen-ID

    23526, 70719, 314618

    NCBI Accession

    NP_036424
Sie sind hier:
Chat with us!