Telefon:
+49 (0)241 95 163 153
Fax:
+49 (0)241 95 163 155
E-Mail:
orders@antikoerper-online.de

RAB25 Antikörper

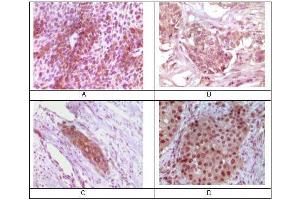
Zitiert in 1 Publikation. Der Maus Monoklonal anti-RAB25 Antikörper (Klon 3F12F3) (ABIN969489) detektiert spezifisch RAB25 in ELISA und IHC. Dieser Antikörper reagiert spezifisch mit Proben aus Human.
Produktnummer ABIN969489
571,06 €
Zzgl. Versandkosten 20,00 € und MwSt
100 μL
Lieferung nach: Deutschland
Lieferung in 7 bis 10 Werktagen

Kurzübersicht für RAB25 Antikörper (ABIN969489)

Target

Alle RAB25 Antikörper anzeigen
RAB25 (RAB25, Member RAS Oncogene Family (RAB25))

Reaktivität

  • 54
  • 23
  • 7
  • 3
  • 3
  • 3
  • 3
  • 2
  • 2
  • 1
  • 1
  • 1
  • 1
  • 1
  • 1
  • 1
  • 1
  • 1
Human

Wirt

  • 49
  • 5
  • 3
Maus

Klonalität

  • 49
  • 9
Monoklonal

Konjugat

  • 27
  • 4
  • 4
  • 3
  • 2
  • 1
  • 1
  • 1
  • 1
  • 1
  • 1
  • 1
  • 1
  • 1
  • 1
  • 1
  • 1
  • 1
  • 1
  • 1
  • 1
  • 1
  • 1
Dieser RAB25 Antikörper ist unkonjugiert

Applikation

  • 45
  • 24
  • 13
  • 13
  • 8
  • 6
  • 5
  • 4
  • 2
  • 2
  • 1
  • 1
ELISA, Immunohistochemistry (IHC)

Klon

3F12F3
  • Verwendungszweck

    Rab25 Antibody

    Aufreinigung

    Ascitic fluid

    Immunogen

    Purified recombinant fragment of Rab25 expressed in E. Coli.

    Isotyp

    IgG2a
  • Applikationshinweise

    ELISA: 1/10000

    Beschränkungen

    Nur für Forschungszwecke einsetzbar
  • Format

    Liquid

    Buffer

    Ascitic fluid containing 0.03 % sodium azide.

    Konservierungsmittel

    Sodium azide

    Vorsichtsmaßnahmen

    This product contains Sodium azide: a POISONOUS AND HAZARDOUS SUBSTANCE which should be handled by trained staff only.

    Lagerung

    4 °C,-20 °C

    Informationen zur Lagerung

    Store at 4°C short term. Aliquot and store at -20°C long term. Avoid freeze/thaw cycles.
  • Wang, Kumar, Navarre, Casanova, Goldenring: "Regulation of vesicle trafficking in madin-darby canine kidney cells by Rab11a and Rab25." in: The Journal of biological chemistry, Vol. 275, Issue 37, pp. 29138-46, (2000) (PubMed).

  • Target

    RAB25 (RAB25, Member RAS Oncogene Family (RAB25))

    Andere Bezeichnung

    Rab25

    Hintergrund

    Members of the Ras-related superfamily of GTP binding proteins, which includes Ras, Rho, Rab and ARF subfamilies, exhibit 30-50 % similarity with Ras p21. Rab proteins play an important role for either in endocytosis or in biosynthetic protein transport. The possibility that Rab proteins might also direct the exocytosis from secretory vesicles to the plasma membrane is supported by the observation that in yeast, the SEC4 protein, which is 40 % similar to Rab proteins, is associated with secretory vesicles.
    Rab proteins located on the cytoplasmic face of organelles and vesicles, rab proteins are involved in intracellular membrane fusion reactions. Rab25 was cloned from a gastric parietal cell cDNA library and is expressed in epithelial tissues such as the gastrointestinal mucosae, kidney, and lung, which encoded a protein of 28 kDa

    Gen-ID

    57111

    UniProt

    P57735
Sie sind hier:
Chat with us!