Telefon:
+49 (0)241 95 163 153
Fax:
+49 (0)241 95 163 155
E-Mail:
orders@antikoerper-online.de

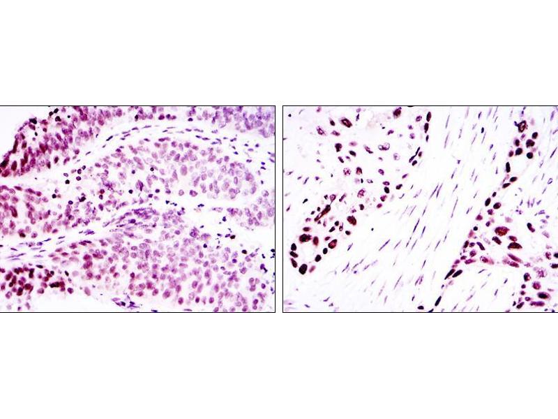
p63alpha Antikörper

Dieser Maus Monoklonal Antikörper detektiert spezifisch p63alpha in WB, IHC und ELISA. Es zeigt Reaktivität gegenüber Proben von Human, Affe, Maus und Ratte. Es wurde in 2+ Publikationen zitiert.
Produktnummer ABIN969337
657,84 €
Zzgl. Versandkosten 20,00 € und MwSt
100 μL
Lieferung nach: Deutschland
Lieferung in 7 bis 10 Werktagen

Kurzübersicht für p63alpha Antikörper (ABIN969337)

Target

p63alpha

Reaktivität

Human, Affe, Maus, Ratte

Wirt

  • 1
Maus

Klonalität

  • 1
Monoklonal

Konjugat

  • 1
Unkonjugiert

Applikation

Western Blotting (WB), Immunohistochemistry (IHC), ELISA

Klon

4E5
  • Verwendungszweck

    p63a Antibody

    Aufreinigung

    Ascitic fluid

    Immunogen

    Synthesized peptide of human p63alpha.

    Isotyp

    IgG1
  • Applikationshinweise

    ELISA: 1/10000

    Beschränkungen

    Nur für Forschungszwecke einsetzbar
  • Format

    Liquid

    Buffer

    Ascitic fluid containing 0.03 % sodium azide.

    Konservierungsmittel

    Sodium azide

    Vorsichtsmaßnahmen

    This product contains Sodium azide: a POISONOUS AND HAZARDOUS SUBSTANCE which should be handled by trained staff only.

    Lagerung

    4 °C,-20 °C

    Informationen zur Lagerung

    Store at 4°C short term. Aliquot and store at -20°C long term. Avoid freeze/thaw cycles.
  • King, Ponnamperuma, Allen, Lu, Duggal, Chen, Van Waes, Weinberg: "The p53 homologue DeltaNp63alpha interacts with the nuclear factor-kappaB pathway to modulate epithelial cell growth." in: Cancer research, Vol. 68, Issue 13, pp. 5122-31, (2008) (PubMed).

    Valenzise, Arrigo, De Luca, Privitera, Frigiola, Carando, Garelli, Silengo: "R298Q mutation of p63 gene in autosomal dominant ectodermal dysplasia associated with arrhythmogenic right ventricular cardiomyopathy." in: European journal of medical genetics, Vol. 51, Issue 5, pp. 497-500, (2008) (PubMed).

  • Target

    p63alpha

    Andere Bezeichnung

    p63a

    Hintergrund

    The p63 gene is a homologue of the p53 tumor suppressor gene. Like p53, p63 contains a transactivation (TA) domain induce the transcription of target genes, a DNA binding domain, and an oligomerization domain (OD), used to form tetramers. In contrast to p53, the p63 gene encodes for at least six major isotypes. Three isotypes (TAp63a, TAp63

    Molekulargewicht

    51 kDa

    Gen-ID

    8626

    UniProt

    Q9H3D4
Sie sind hier:
Chat with us!