Telefon:
+49 (0)241 95 163 153
Fax:
+49 (0)241 95 163 155
E-Mail:
orders@antikoerper-online.de

MSI2 Antikörper

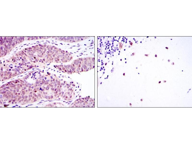
Dieser Maus Monoklonal Antikörper detektiert spezifisch MSI2 in WB, ELISA und IHC. Es zeigt Reaktivität gegenüber Proben von Human. Es wurde in 2+ Publikationen zitiert.
Produktnummer ABIN969295
657,84 €
Zzgl. Versandkosten 20,00 € und MwSt
100 μL
Lieferung nach: Deutschland
Lieferung in 7 bis 10 Werktagen

Kurzübersicht für MSI2 Antikörper (ABIN969295)

Target

Alle MSI2 Antikörper anzeigen
MSI2 (Musashi Homolog 2 (MSI2))

Reaktivität

  • 52
  • 30
  • 26
  • 5
  • 3
  • 3
  • 3
  • 2
  • 2
  • 2
  • 2
  • 2
  • 1
  • 1
Human

Wirt

  • 42
  • 8
  • 2
Maus

Klonalität

  • 29
  • 23
Monoklonal

Konjugat

  • 36
  • 2
  • 2
  • 2
  • 2
  • 2
  • 2
  • 2
  • 1
  • 1
Dieser MSI2 Antikörper ist unkonjugiert

Applikation

  • 37
  • 23
  • 16
  • 15
  • 12
  • 12
  • 7
  • 4
  • 1
  • 1
  • 1
  • 1
  • 1
Western Blotting (WB), ELISA, Immunohistochemistry (IHC)

Klon

2C11
  • Verwendungszweck

    MSI2 Antibody

    Aufreinigung

    Ascitic fluid

    Immunogen

    Purified recombinant fragment of human MSI2 expressed in E. Coli.

    Isotyp

    IgG1
  • Applikationshinweise

    ELISA: 1/10000

    Beschränkungen

    Nur für Forschungszwecke einsetzbar
  • Format

    Liquid

    Buffer

    Ascitic fluid containing 0.03 % sodium azide.

    Konservierungsmittel

    Sodium azide

    Vorsichtsmaßnahmen

    This product contains Sodium azide: a POISONOUS AND HAZARDOUS SUBSTANCE which should be handled by trained staff only.

    Lagerung

    4 °C,-20 °C

    Informationen zur Lagerung

    Store at 4°C short term. Aliquot and store at -20°C long term. Avoid freeze/thaw cycles.
  • Talmud, Drenos, Shah, Shah, Palmen, Verzilli, Gaunt, Pallas, Lovering, Li, Casas, Sofat, Kumari, Rodriguez, Johnson, Newhouse, Dominiczak, Samani, Caulfield, Sever, Stanton, Shields, Padmanabhan et al.: "Gene-centric association signals for lipids and apolipoproteins identified via the HumanCVD BeadChip. ..." in: American journal of human genetics, Vol. 85, Issue 5, pp. 628-42, (2009) (PubMed).

    De Weer, Speleman, Cauwelier, Van Roy, Yigit, Verhasselt, De Moerloose, Benoit, Noens, Selleslag, Lippert, Struski, Bastard, De Paepe, Vandenberghe, Hagemeijer, Dastugue, Poppe: "EVI1 overexpression in t(3;17) positive myeloid malignancies results from juxtaposition of EVI1 to the MSI2 locus at 17q22." in: Haematologica, Vol. 93, Issue 12, pp. 1903-7, (2008) (PubMed).

  • Target

    MSI2 (Musashi Homolog 2 (MSI2))

    Andere Bezeichnung

    MSI2

    Hintergrund

    Msi2 (musashi homolog 2), also known as MSI2H, is a 328 amino acid protein that localizes to the cytoplasm and contains two RRM (RNA recognition motif) domains. Expressed ubiquitously at low levels, Msi2 functions as an RNA binding protein that, by regulating the expression of target mRNAs, is thought to play a role in the proliferation and maintenance of stem cells within the central nervous system. Msi2 is subject to posttranslational phosphorylation and is upregulated in response to brain injury, suggesting a role in healing and brain tissue regeneration. Chromosomal aberrations involving the Msi2 gene are associated with the progression of chronic myeloid leukemia. Multiple isoforms of Msi2 exist due to alternative splicing events.Tissue specificity: Ubiquitous, detected at low levels.

    Molekulargewicht

    35 kDa

    UniProt

    Q96DH6
Sie sind hier:
Chat with us!