Telefon:
+49 (0)241 95 163 153
Fax:
+49 (0)241 95 163 155
E-Mail:
orders@antikoerper-online.de

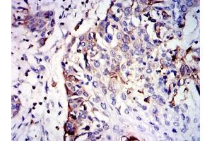
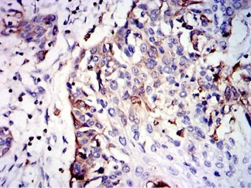
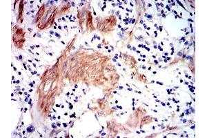
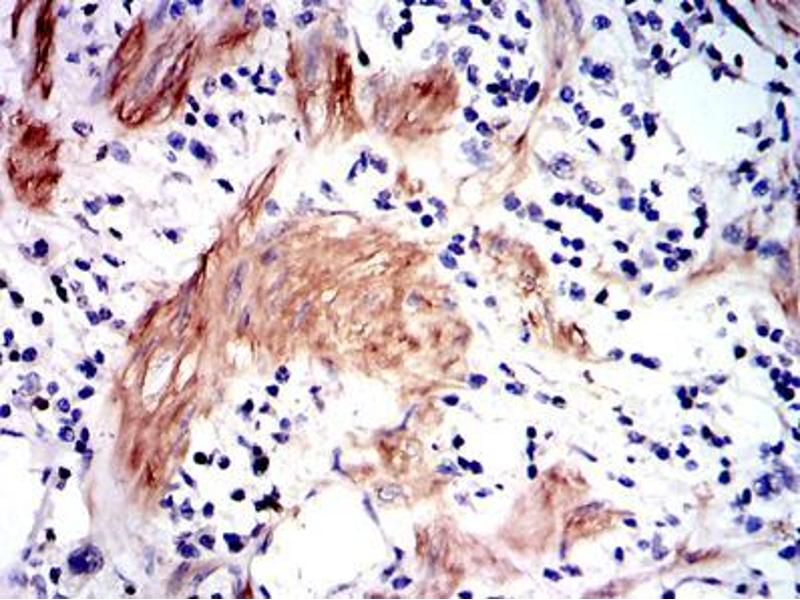
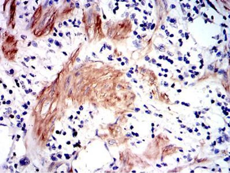
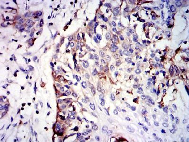
GSTM1 Antikörper

Dieser Maus Monoklonal Antikörper detektiert spezifisch GSTM1 in WB, IHC, ELISA und FACS. Es zeigt Reaktivität gegenüber Proben von Human und Ratte.Es wurde in 1 Publikation zitiert.
Produktnummer ABIN969181
657,84 €
Zzgl. Versandkosten 20,00 € und MwSt
100 μL
Lieferung nach: Deutschland
Lieferung in 7 bis 10 Werktagen

Kurzübersicht für GSTM1 Antikörper (ABIN969181)

Target

Alle GSTM1 Antikörper anzeigen
GSTM1 (Glutathione S-Transferase mu 1 (GSTM1))

Reaktivität

  • 59
  • 37
  • 16
  • 6
  • 5
  • 3
  • 3
  • 2
  • 2
  • 2
  • 1
  • 1
  • 1
  • 1
  • 1
  • 1
Human, Ratte

Wirt

  • 63
  • 20
  • 1
  • 1
Maus

Klonalität

  • 62
  • 22
Monoklonal

Konjugat

  • 50
  • 13
  • 8
  • 2
  • 2
  • 2
  • 1
  • 1
  • 1
  • 1
  • 1
  • 1
  • 1
  • 1
Dieser GSTM1 Antikörper ist unkonjugiert

Applikation

  • 71
  • 42
  • 26
  • 15
  • 11
  • 10
  • 10
  • 6
  • 5
  • 4
  • 3
  • 3
  • 2
  • 1
  • 1
Western Blotting (WB), Immunohistochemistry (IHC), ELISA, Flow Cytometry (FACS)

Klon

1H4F2
  • Verwendungszweck

    GSTM1 Antibody

    Aufreinigung

    Ascitic fluid

    Immunogen

    Purified recombinant fragment of human GSTM1 expressed in E. Coli.

    Isotyp

    IgG1
  • Applikationshinweise

    ELISA: 1/10000

    FCM: 1/200 - 1/400

    Beschränkungen

    Nur für Forschungszwecke einsetzbar
  • Format

    Liquid

    Buffer

    Ascitic fluid containing 0.03 % sodium azide.

    Konservierungsmittel

    Sodium azide

    Vorsichtsmaßnahmen

    This product contains Sodium azide: a POISONOUS AND HAZARDOUS SUBSTANCE which should be handled by trained staff only.

    Lagerung

    4 °C,-20 °C

    Informationen zur Lagerung

    Store at 4°C short term. Aliquot and store at -20°C long term. Avoid freeze/thaw cycles.
  • Navarro, Peterson, Chen, Makar, Schwarz, King, Li, Li, Kestin, Lampe: "Cruciferous vegetable feeding alters UGT1A1 activity: diet- and genotype-dependent changes in serum bilirubin in a controlled feeding trial." in: Cancer prevention research (Philadelphia, Pa.), Vol. 2, Issue 4, pp. 345-52, (2009) (PubMed).

  • Target

    GSTM1 (Glutathione S-Transferase mu 1 (GSTM1))

    Andere Bezeichnung

    GSTM1

    Hintergrund

    Cytosolic and membrane-bound forms of glutathione S-transferase are encoded by two distinct supergene families. At present, eight distinct classes of the soluble cytoplasmic mammalian glutathione S-transferases have been identified: alpha, kappa, mu, omega, pi, sigma, theta and zeta. This gene encodes a glutathione S-transferase that belongs to the mu class. The mu class of enzymes functions in the detoxification of electrophilic compounds, including carcinogens, therapeutic drugs, environmental toxins and products of oxidative stress, by conjugation with glutathione. The genes encoding the mu class of enzymes are organized in a gene cluster on chromosome 1p13.3 and are known to be highly polymorphic. These genetic variations can change an individual's susceptibility to carcinogens and toxins as well as affect the toxicity and efficacy of certain drugs. Null mutations of this class mu gene have been linked with an increase in a number of cancers, likely due to an increased susceptibility to environmental toxins and carcinogens. Multiple protein isoforms are encoded by transcript variants of this gene.

    Molekulargewicht

    26 kDa

    Gen-ID

    2944

    UniProt

    P09488

    Pathways

    Negative Regulation of Transporter Activity
Sie sind hier:
Chat with us!