Telefon:
+49 (0)241 95 163 153
Fax:
+49 (0)241 95 163 155
E-Mail:
orders@antikoerper-online.de

EEF2 Antikörper

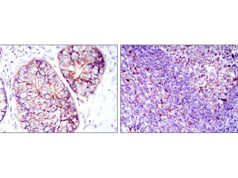
Zitiert in 2+ Publikationen. Der Maus Monoklonal anti-EEF2 Antikörper (Klon 5B6) (ABIN969090) detektiert spezifisch EEF2 in WB, IHC, ELISA und ICC. Dieser Antikörper reagiert spezifisch mit Proben aus Human.
Produktnummer ABIN969090
498,33 €
Zzgl. Versandkosten 20,00 € und MwSt
100 μL
Lieferung nach: Deutschland
Lieferung in 7 bis 10 Werktagen

Kurzübersicht für EEF2 Antikörper (ABIN969090)

Target

Alle EEF2 Antikörper anzeigen
EEF2 (Eukaryotic Translation Elongation Factor 2 (EEF2))

Reaktivität

  • 96
  • 59
  • 41
  • 6
  • 6
  • 5
  • 5
  • 3
  • 2
  • 2
  • 2
  • 2
  • 2
  • 2
  • 1
  • 1
Human

Wirt

  • 103
  • 9
Maus

Klonalität

  • 90
  • 22
Monoklonal

Konjugat

  • 52
  • 7
  • 5
  • 3
  • 3
  • 3
  • 3
  • 3
  • 3
  • 3
  • 2
  • 2
  • 2
  • 2
  • 2
  • 2
  • 2
  • 2
  • 2
  • 2
  • 2
  • 1
  • 1
  • 1
  • 1
  • 1
Dieser EEF2 Antikörper ist unkonjugiert

Applikation

  • 86
  • 42
  • 33
  • 32
  • 29
  • 27
  • 22
  • 13
  • 10
  • 7
  • 4
  • 2
  • 2
  • 1
  • 1
  • 1
  • 1
Western Blotting (WB), Immunohistochemistry (IHC), ELISA, Immunocytochemistry (ICC)

Klon

5B6
  • Verwendungszweck

    EEF2 Antibody

    Aufreinigung

    Ascitic fluid

    Immunogen

    Purified recombinant fragment of human EEF2 expressed in E. Coli.

    Isotyp

    IgG1
  • Applikationshinweise

    ELISA: 1/10000

    ICC: 1/200 - 1/1000

    Beschränkungen

    Nur für Forschungszwecke einsetzbar
  • Format

    Liquid

    Buffer

    Ascitic fluid containing 0.03 % sodium azide.

    Konservierungsmittel

    Sodium azide

    Vorsichtsmaßnahmen

    This product contains Sodium azide: a POISONOUS AND HAZARDOUS SUBSTANCE which should be handled by trained staff only.

    Lagerung

    4 °C,-20 °C

    Informationen zur Lagerung

    Store at 4°C short term. Aliquot and store at -20°C long term. Avoid freeze/thaw cycles.
  • Rose, Bisiani, Vistisen, Kiens, Richter: "Skeletal muscle eEF2 and 4EBP1 phosphorylation during endurance exercise is dependent on intensity and muscle fiber type." in: American journal of physiology. Regulatory, integrative and comparative physiology, Vol. 296, Issue 2, pp. R326-33, (2009) (PubMed).

    Maggi, Kuchenruether, Dadey, Schwope, Grisendi, Townsend, Pandolfi, Weber: "Nucleophosmin serves as a rate-limiting nuclear export chaperone for the Mammalian ribosome." in: Molecular and cellular biology, Vol. 28, Issue 23, pp. 7050-65, (2008) (PubMed).

  • Target

    EEF2 (Eukaryotic Translation Elongation Factor 2 (EEF2))

    Andere Bezeichnung

    EEF2

    Hintergrund

    This gene encodes a member of the GTP-binding translation elongation factor family. This protein is an essential factor for protein synthesis. It promotes the GTP-dependent translocation of the nascent protein chain from the A-site to the P-site of the ribosome. This protein is completely inactivated by EF-2 kinase phosporylation. (provided by RefSeq)

    Molekulargewicht

    95 kDa

    Gen-ID

    1938

    UniProt

    P13639

    Pathways

    AMPK Signaling
Sie sind hier:
Chat with us!