Telefon:
+49 (0)241 95 163 153
Fax:
+49 (0)241 95 163 155
E-Mail:
orders@antikoerper-online.de

CIB1 Antikörper

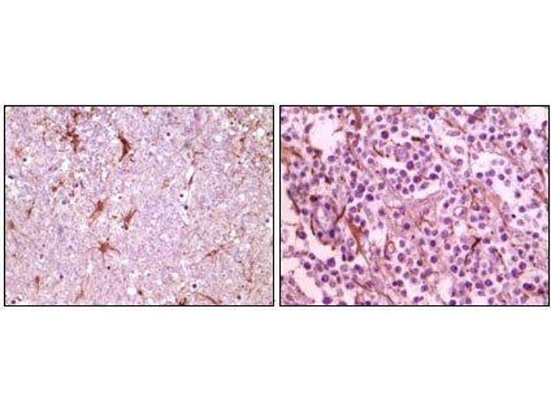
Zitiert in 2+ Publikationen. Der Maus Monoklonal anti-CIB1 Antikörper (Klon 5A1F5E12) (ABIN969057) detektiert spezifisch CIB1 in WB, ELISA und IHC. Dieser Antikörper reagiert spezifisch mit Proben aus Human.
Produktnummer ABIN969057
602,28 €
Zzgl. Versandkosten 20,00 € und MwSt
100 μL
Lieferung nach: Deutschland
Lieferung in 7 bis 10 Werktagen

Kurzübersicht für CIB1 Antikörper (ABIN969057)

Target

Alle CIB1 Antikörper anzeigen
CIB1 (Calcium and Integrin-Binding Protein 1 (CIB1))

Reaktivität

  • 59
  • 16
  • 15
  • 1
  • 1
  • 1
  • 1
  • 1
  • 1
Human

Wirt

  • 49
  • 8
  • 3
Maus

Klonalität

  • 54
  • 6
Monoklonal

Konjugat

  • 29
  • 4
  • 3
  • 2
  • 2
  • 2
  • 1
  • 1
  • 1
  • 1
  • 1
  • 1
  • 1
  • 1
  • 1
  • 1
  • 1
  • 1
  • 1
  • 1
  • 1
  • 1
  • 1
  • 1
Dieser CIB1 Antikörper ist unkonjugiert

Applikation

  • 30
  • 19
  • 13
  • 13
  • 11
  • 6
  • 6
  • 6
  • 4
  • 3
  • 3
  • 3
  • 2
Western Blotting (WB), ELISA, Immunohistochemistry (IHC)

Klon

5A1F5E12
  • Verwendungszweck

    CIB1 Antibody

    Aufreinigung

    Ascitic fluid

    Immunogen

    Purified recombinant fragment of CIB1 expressed in E. Coli.

    Isotyp

    IgG1
  • Applikationshinweise

    ELISA: 1/10000

    Beschränkungen

    Nur für Forschungszwecke einsetzbar
  • Format

    Liquid

    Buffer

    Ascitic fluid containing 0.03 % sodium azide.

    Konservierungsmittel

    Sodium azide

    Vorsichtsmaßnahmen

    This product contains Sodium azide: a POISONOUS AND HAZARDOUS SUBSTANCE which should be handled by trained staff only.

    Lagerung

    4 °C,-20 °C

    Informationen zur Lagerung

    Store at 4°C short term. Aliquot and store at -20°C long term. Avoid freeze/thaw cycles.
  • White, Yang, Monteiro, Foskett: "CIB1, a ubiquitously expressed Ca2+-binding protein ligand of the InsP3 receptor Ca2+ release channel." in: The Journal of biological chemistry, Vol. 281, Issue 30, pp. 20825-33, (2006) (PubMed).

    Gentry, Singer, Betts, Yang, Ferrara, Sondek, Parise: "Structural and biochemical characterization of CIB1 delineates a new family of EF-hand-containing proteins." in: The Journal of biological chemistry, Vol. 280, Issue 9, pp. 8407-15, (2005) (PubMed).

  • Target

    CIB1 (Calcium and Integrin-Binding Protein 1 (CIB1))

    Andere Bezeichnung

    CIB1

    Hintergrund

    CIB1(also designated calcium and integrin binding 1 or calmyrin),with 191-amino acid protein(about 21 kDa), belongs to the calcium-binding protein family.CIB1 is known to interact with DNA-dependent protein kinase and may play a role in kinase-phosphatase regulation of DNA end joining.CIB1 is an EF-hand-containing protein that binds multiple effector proteins, including the platelet alpha(IIb)beta(3) integrin and several serine/threonine kinases and potentially modulates their function.CIB1 regulates platelet aggregation in hemostasis through a specific interaction with the alpha(IIb) cytoplasmic domain of platelet integrin alpha(IIb)beta(3). CIB1 is also ubiquitously expressed activating and inhibiting protein ligand of the InsP3R.

    UniProt

    Q99828
Sie sind hier:
Chat with us!