SRPX2 Antikörper (C-Term)
Kurzübersicht für SRPX2 Antikörper (C-Term) (ABIN960820)
Target
Alle SRPX2 Antikörper anzeigenReaktivität
Wirt
Klonalität
Konjugat
Applikation
-
-
Bindungsspezifität
- C-Term
-
Spezifität
- Human SRPX2. BLAST analysis of the peptide immunogen showed no homology with other human proteins.
-
Homologie
- Percent identity with other species by BLAST analysis: Human, Chimpanzee, Gorilla, Orangutan, Monkey, Bat, Rabbit (100%) Galago, Marmoset, Elephant, Panda, Dog, Horse, Pig (92%) Bovine (85%).
-
Aufreinigung
- Immunoaffinity purified
-
Immunogen
-
Synthetic 13 amino acid peptide from C-Terminus of human SRPX2. Percent identity with other species by BLAST analysis: Human, Chimpanzee, Gorilla, Orangutan, Monkey, Bat, Rabbit (100%), Galago, Marmoset, Elephant, Panda, Dog, Horse, Pig (92%), Bovine (85%).
Type of Immunogen: Synthetic peptide
-
-
-
-
Applikationshinweise
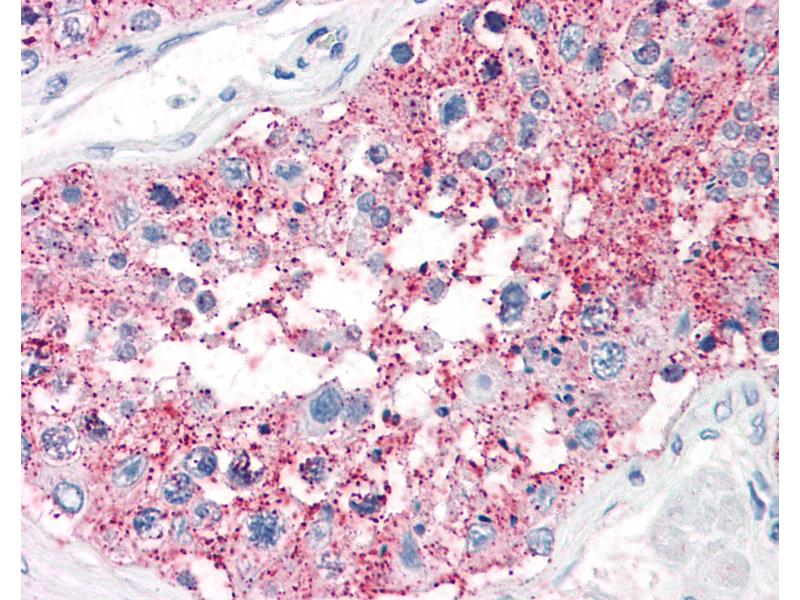
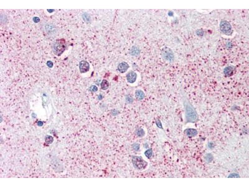
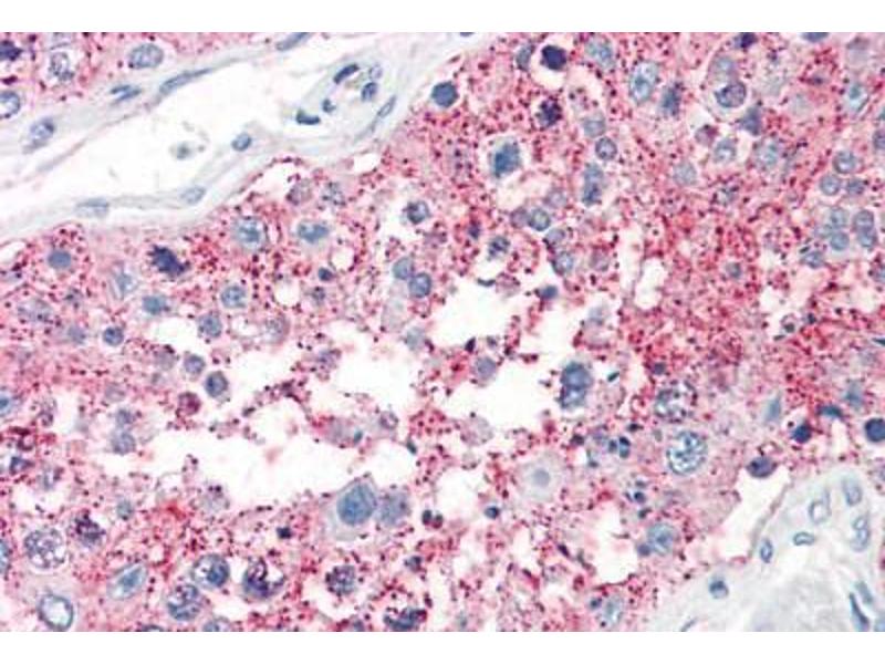
- Approved: IHC, IHC-P (15 - 20 μg/mL)
-
Kommentare
-
Target Species of Antibody: Human
-
Beschränkungen
- Nur für Forschungszwecke einsetzbar
-
-
-
Format
- Liquid
-
Konzentration
- Lot specific
-
Buffer
- PBS, less than 0.1 % sodium azide.
-
Konservierungsmittel
- Sodium azide
-
Vorsichtsmaßnahmen
- This product contains Sodium azide: a POISONOUS AND HAZARDOUS SUBSTANCE which should be handled by trained staff only.
-
Lagerung
- 4 °C,-20 °C
-
Informationen zur Lagerung
- Aliquot and store undiluted at -20°C or below for up to 1 year. Can be stored undiluted at 4°C for up to 1 month. Avoid freeze-thaw cycles.
-
Haltbarkeit
- 12 months
-
-
- SRPX2 (Sushi-Repeat Containing Protein, X-Linked 2 (SRPX2))
-
Andere Bezeichnung
- SRPX2
-
Hintergrund
-
Name/Gene ID: SRPX2
Synonyms: SRPX2, BPP, CBPS, PMGX, RESDX, SRPUL -
Gen-ID
- 27286
Target
-