Telefon:
+49 (0)241 95 163 153
Fax:
+49 (0)241 95 163 155
E-Mail:
orders@antikoerper-online.de

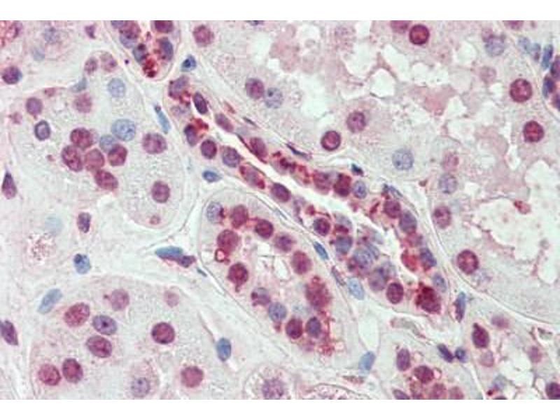
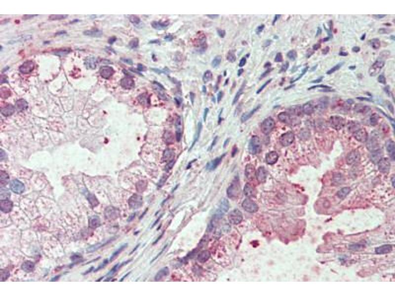
SLC44A2 Antikörper (Internal Region)

Der Kaninchen Polyklonal anti-SLC44A2 Antikörper wird verwendet zum Nachweis von SLC44A2 in Proben von Human und Affe. Er wurde validiert für IHC und IHC (p).
Produktnummer ABIN960812
534,81 €
Zzgl. Versandkosten 20,00 € und MwSt
50 μg
Lieferung nach: Deutschland
Lieferung in 15 bis 20 Werktagen

Kurzübersicht für SLC44A2 Antikörper (Internal Region) (ABIN960812)

Target

Alle SLC44A2 Antikörper anzeigen
SLC44A2 (Solute Carrier Family 44, Member 2 (SLC44A2))

Reaktivität

  • 19
  • 2
  • 2
  • 1
  • 1
  • 1
  • 1
  • 1
  • 1
  • 1
  • 1
  • 1
  • 1
  • 1
  • 1
Human, Affe

Wirt

  • 12
  • 9
Kaninchen

Klonalität

  • 12
  • 9
Polyklonal

Konjugat

  • 9
  • 1
  • 1
  • 1
  • 1
  • 1
  • 1
  • 1
  • 1
  • 1
  • 1
  • 1
  • 1
Dieser SLC44A2 Antikörper ist unkonjugiert

Applikation

  • 12
  • 11
  • 9
  • 3
  • 1
  • 1
Immunohistochemistry (IHC), Immunohistochemistry (Paraffin-embedded Sections) (IHC (p))
  • Bindungsspezifität

    • 2
    • 2
    • 1
    • 1
    • 1
    • 1
    Internal Region

    Spezifität

    Human SLC44A2. BLAST analysis of the peptide immunogen showed no homology with other human proteins.

    Homologie

    Percent identity with other species by BLAST analysis: Human, Chimpanzee, Gorilla, Orangutan, Gibbon, Monkey, Marmoset (100%) Galago (94%) Bat (88%) Rat, Hamster, Elephant, Panda, Dog (81%).

    Aufreinigung

    Immunoaffinity purified

    Immunogen

    Synthetic 16 amino acid peptide from internal region of human SLC44A2. Percent identity with other species by BLAST analysis: Human, Chimpanzee, Gorilla, Orangutan, Gibbon, Monkey, Marmoset (100%), Galago (94%), Bat (88%), Rat, Hamster, Elephant, Panda, Dog (81%).

    Type of Immunogen: Synthetic peptide
  • Applikationshinweise

    Approved: IHC, IHC-P (10 μg/mL)

    Usage: Immunohistochemistry: This antibody was validated for use in immunohistochemistry on a panel of 21 formalin-fixed, paraffin-embedded (FFPE) human tissues after heat induced antigen retrieval in  pH 6.0 citrate buffer. After incubation with the primary antibody, slides were incubated with biotinylated secondary antibody, followed by alkaline phosphatase-streptavidin and chromogen. The stained slides were evaluated by a pathologist to confirm staining specificity. The optimal working concentration for this antibody was determined to be 10 μg/mL.

    Kommentare

    Target Species of Antibody: Human

    Beschränkungen

    Nur für Forschungszwecke einsetzbar
  • Format

    Liquid

    Konzentration

    Lot specific

    Buffer

    PBS, less than 0.1 % sodium azide.

    Konservierungsmittel

    Sodium azide

    Vorsichtsmaßnahmen

    This product contains Sodium azide: a POISONOUS AND HAZARDOUS SUBSTANCE which should be handled by trained staff only.

    Lagerung

    4 °C,-20 °C

    Informationen zur Lagerung

    Aliquot and store undiluted at -20°C or below for up to 1 year. Can be stored undiluted at 4°C for up to 1 month. Avoid freeze-thaw cycles.

    Haltbarkeit

    12 months
  • Target

    SLC44A2 (Solute Carrier Family 44, Member 2 (SLC44A2))

    Andere Bezeichnung

    SLC44A2 / CTL2

    Hintergrund

    Name/Gene ID: SLC44A2
    Subfamily: Choline transporter-like
    Family: Transporter

    Synonyms: SLC44A2, CTL2, PP1292

    Gen-ID

    57153

    Pathways

    SARS-CoV-2 Protein Interaktom
Sie sind hier:
Chat with us!