Telefon:
+49 (0)241 95 163 153
Fax:
+49 (0)241 95 163 155
E-Mail:
orders@antikoerper-online.de

Embigin Antikörper (C-Term)

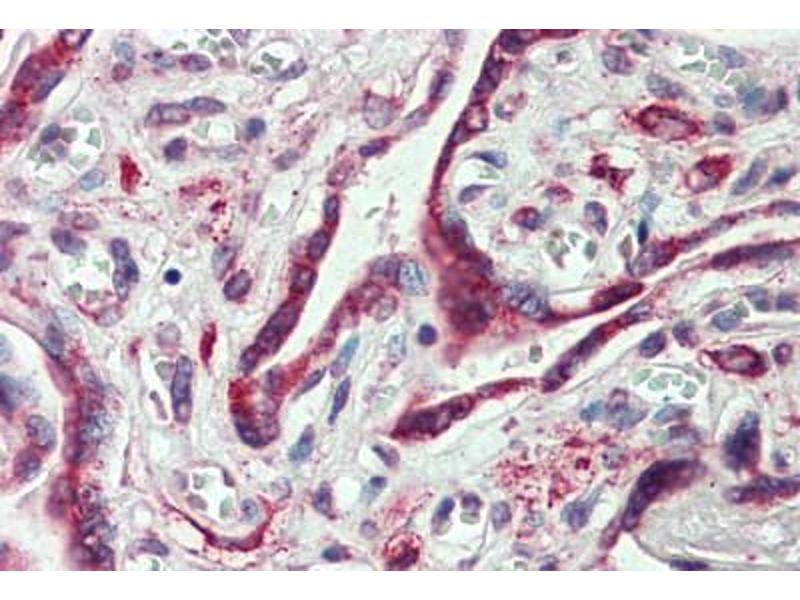
Der Kaninchen Polyklonal anti-Embigin Antikörper wird verwendet zum Nachweis von Embigin in Proben von Human und Affe. Er wurde validiert für IHC und IHC (p).
Produktnummer ABIN960770
534,81 €
Zzgl. Versandkosten 20,00 € und MwSt
50 μg
Lieferung nach: Deutschland
Lieferung in 15 bis 20 Werktagen

Kurzübersicht für Embigin Antikörper (C-Term) (ABIN960770)

Target

Alle Embigin (EMB) Antikörper anzeigen
Embigin (EMB)

Reaktivität

  • 17
  • 4
  • 2
Human, Affe

Wirt

  • 15
  • 2
Kaninchen

Klonalität

  • 15
  • 2
Polyklonal

Konjugat

  • 13
  • 2
  • 1
  • 1
Dieser Embigin Antikörper ist unkonjugiert

Applikation

  • 10
  • 8
  • 4
  • 2
  • 1
  • 1
  • 1
Immunohistochemistry (IHC), Immunohistochemistry (Paraffin-embedded Sections) (IHC (p))
  • Bindungsspezifität

    • 6
    • 2
    • 1
    • 1
    • 1
    • 1
    C-Term

    Spezifität

    Human EMB. BLAST analysis of the peptide immunogen showed no homology with other human proteins, except RALGPS1 (53 % ).

    Homologie

    Percent identity with other species by BLAST analysis: Human, Chimpanzee, Gorilla, Monkey (100%) Orangutan (94%) Gibbon, Marmoset, Bat (88%) Bovine, Dog (82%).

    Aufreinigung

    Immunoaffinity purified

    Immunogen

    Synthetic 17 amino acid peptide from C-Terminus of human EMB. Percent identity with other species by BLAST analysis: Human, Chimpanzee, Gorilla, Monkey (100%), Orangutan (94%), Gibbon, Marmoset, Bat (88%), Bovine, Dog (82%).

    Type of Immunogen: Synthetic peptide
  • Applikationshinweise

    Approved: IHC, IHC-P (10 μg/mL)

    Usage: Immunohistochemistry: This antibody was validated for use in immunohistochemistry on a panel of 21 formalin-fixed, paraffin-embedded (FFPE) human tissues after heat induced antigen retrieval in  pH 6.0 citrate buffer. After incubation with the primary antibody, slides were incubated with biotinylated secondary antibody, followed by alkaline phosphatase-streptavidin and chromogen. The stained slides were evaluated by a pathologist to confirm staining specificity. The optimal working concentration for this antibody was determined to be 10 μg/mL.

    Kommentare

    Target Species of Antibody: Human

    Beschränkungen

    Nur für Forschungszwecke einsetzbar
  • Format

    Liquid

    Konzentration

    Lot specific

    Buffer

    PBS, less than 0.1 % sodium azide.

    Konservierungsmittel

    Sodium azide

    Vorsichtsmaßnahmen

    This product contains Sodium azide: a POISONOUS AND HAZARDOUS SUBSTANCE which should be handled by trained staff only.

    Lagerung

    4 °C,-20 °C

    Informationen zur Lagerung

    Aliquot and store undiluted at -20°C or below for up to 1 year. Can be stored undiluted at 4°C for up to 1 month. Avoid freeze-thaw cycles.

    Haltbarkeit

    12 months
  • Target

    Embigin (EMB)

    Andere Bezeichnung

    EMB/ Embigin

    Hintergrund

    Name/Gene ID: EMB

    Synonyms: EMB, Embigin homolog (mouse), Embigin, Embigin homolog

    Gen-ID

    133418
Sie sind hier:
Chat with us!