Telefon:
+49 (0)241 95 163 153
Fax:
+49 (0)241 95 163 155
E-Mail:
orders@antikoerper-online.de

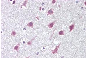
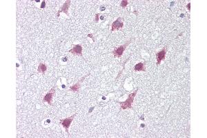
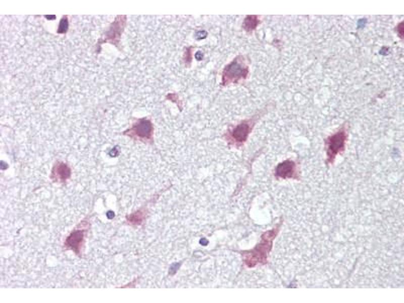
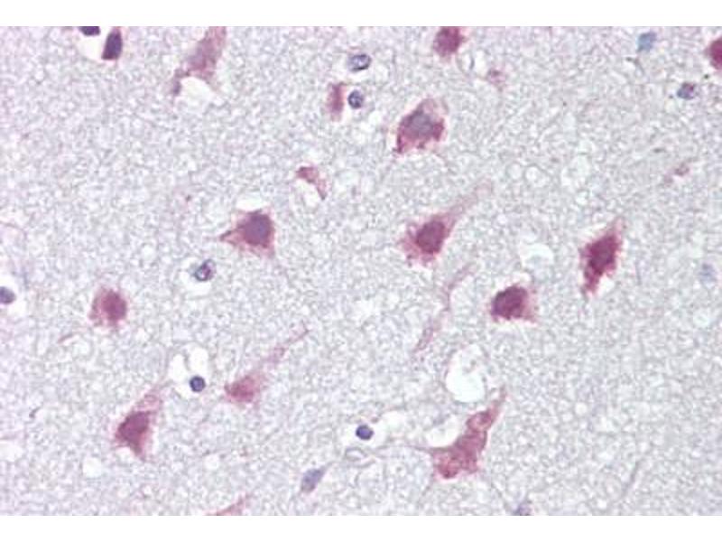
ZMYM3 Antikörper (C-Term)

Der Kaninchen Polyklonal anti-ZMYM3 Antikörper wird verwendet zum Nachweis von ZMYM3 in Proben von Human und Maus. Er wurde validiert für WB, IHC und IHC (p).
Produktnummer ABIN959705
512,07 €
Zzgl. Versandkosten 20,00 € und MwSt
50 μg
Lieferung nach: Deutschland
Lieferung in 15 bis 20 Werktagen

Kurzübersicht für ZMYM3 Antikörper (C-Term) (ABIN959705)

Target

Alle ZMYM3 Antikörper anzeigen
ZMYM3 (Zinc Finger Protein 261 (ZMYM3))

Reaktivität

  • 20
  • 10
  • 6
  • 5
  • 5
  • 5
  • 5
  • 3
  • 3
  • 2
Human, Maus

Wirt

  • 18
  • 2
Kaninchen

Klonalität

  • 18
  • 2
Polyklonal

Konjugat

  • 16
  • 2
  • 1
  • 1
Dieser ZMYM3 Antikörper ist unkonjugiert

Applikation

  • 13
  • 8
  • 6
  • 4
  • 1
  • 1
  • 1
  • 1
  • 1
  • 1
  • 1
Western Blotting (WB), Immunohistochemistry (IHC), Immunohistochemistry (Paraffin-embedded Sections) (IHC (p))
  • Bindungsspezifität

    • 5
    • 4
    • 3
    • 2
    • 1
    • 1
    C-Term

    Spezifität

    At least three isoforms of ZMYM3 are known to exist, this antibody will detect all three. ZMYM3 antibody is predicted to not cross-react with other ZMYM protein family members.

    Aufreinigung

    Immunoaffinity purified

    Isotyp

    IgG
  • Applikationshinweise

    Approved: IHC, IHC-P (10 μg/mL), WB (1 - 2 μg/mL)

    Kommentare

    Target Species of Antibody: Human

    Beschränkungen

    Nur für Forschungszwecke einsetzbar
  • Format

    Liquid

    Konzentration

    Lot specific

    Buffer

    PBS, 0.02 % sodium azide

    Konservierungsmittel

    Sodium azide

    Vorsichtsmaßnahmen

    This product contains Sodium azide: a POISONOUS AND HAZARDOUS SUBSTANCE which should be handled by trained staff only.

    Handhabung

    avoid freeze thaw cycles. Store undiluted.

    Lagerung

    4 °C,-20 °C

    Informationen zur Lagerung

    Store at 4°C for 3 months and -20°C, stable for up to 1 year. Avoid repeated freeze-thaw cycles.

    Haltbarkeit

    12 months
  • Target

    ZMYM3 (Zinc Finger Protein 261 (ZMYM3))

    Andere Bezeichnung

    ZMYM3

    Hintergrund

    Name/Gene ID: ZMYM3

    Synonyms: ZMYM3, DXS6673E, KIAA0385, MYM, Zinc finger protein 261, ZNF261, Zinc finger MYM-type protein 3, Zinc finger, MYM-type 3, XFIM, ZNF198L2

    Gen-ID

    9203

    UniProt

    Q14202
Sie sind hier:
Chat with us!