Telefon:
+49 (0)241 95 163 153
Fax:
+49 (0)241 95 163 155
E-Mail:
orders@antikoerper-online.de

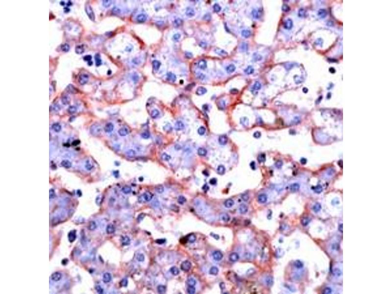
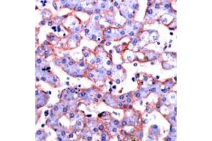
ANXA6 Antikörper (AA 5-23)

Der Kaninchen Polyklonal anti-ANXA6 Antikörper (ABIN956781) detektiert spezifisch ANXA6 in WB und IHC. Dieser Antikörper reagiert spezifisch mit Proben aus Human, Maus und Ratte.
Produktnummer ABIN956781
1.004,24 €
Zzgl. Versandkosten 20,00 € und MwSt
250 μL
Lieferung nach: Deutschland
Lieferung in 15 bis 20 Werktagen

Kurzübersicht für ANXA6 Antikörper (AA 5-23) (ABIN956781)

Target

Alle ANXA6 Antikörper anzeigen
ANXA6 (Annexin A6 (ANXA6))

Reaktivität

  • 76
  • 43
  • 20
  • 6
  • 6
  • 6
  • 5
  • 4
  • 4
  • 3
  • 2
  • 1
  • 1
Human, Maus, Ratte

Wirt

  • 74
  • 6
Kaninchen

Klonalität

  • 74
  • 6
Polyklonal

Konjugat

  • 48
  • 6
  • 4
  • 3
  • 1
  • 1
  • 1
  • 1
  • 1
  • 1
  • 1
  • 1
  • 1
  • 1
  • 1
  • 1
  • 1
  • 1
  • 1
  • 1
  • 1
  • 1
  • 1
Dieser ANXA6 Antikörper ist unkonjugiert

Applikation

  • 70
  • 27
  • 19
  • 13
  • 10
  • 8
  • 6
  • 5
  • 4
  • 1
  • 1
  • 1
Western Blotting (WB), Immunohistochemistry (IHC)
  • Bindungsspezifität

    • 15
    • 9
    • 8
    • 6
    • 4
    • 2
    • 2
    • 2
    • 2
    • 2
    • 1
    • 1
    • 1
    • 1
    • 1
    • 1
    • 1
    • 1
    • 1
    • 1
    • 1
    • 1
    AA 5-23

    Aufreinigung

    Immunoaffinity purified

    Immunogen

    Synthetic peptide corresponding to aa 5 -23 of human Annexin VI.

    Type of Immunogen: Synthetic peptide
  • Applikationshinweise

    Approved: IHC (1:50), WB

    Kommentare

    Target Species of Antibody: Human

    Beschränkungen

    Nur für Forschungszwecke einsetzbar
  • Format

    Liquid

    Konzentration

    Lot specific

    Buffer

    10 mM PBS,  pH 7.4, BSA, sodium azide.

    Konservierungsmittel

    Sodium azide

    Vorsichtsmaßnahmen

    This product contains Sodium azide: a POISONOUS AND HAZARDOUS SUBSTANCE which should be handled by trained staff only.

    Lagerung

    4 °C,-20 °C

    Informationen zur Lagerung

    Short term: 4°C. Long term: Store at -20°C. Avoid freeze-thaw cycles.
  • Target

    ANXA6 (Annexin A6 (ANXA6))

    Andere Bezeichnung

    ANXA6/Annexin A6/Annexin VI

    Hintergrund

    Name/Gene ID: ANXA6

    Synonyms: ANXA6, 67 kDa calelectrin, Annexin VI (p68), Annexin A6, Annexin VI, ANX6, Calcium-binding protein p68, Calelectrin, CBP68, Chromobindin-20, Calphobindin-II, Lipocortin VI, p70, Protein III, Annexin-6, Calphobindin II, CPB-II, p68

    Gen-ID

    309
Sie sind hier:
Chat with us!