Telefon:
+49 (0)241 95 163 153
Fax:
+49 (0)241 95 163 155
E-Mail:
orders@antikoerper-online.de

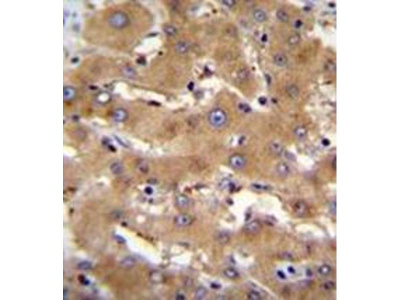
PHF12 Antikörper (C-Term)

Der Kaninchen Polyklonal anti-PHF12 Antikörper (ABIN954117) detektiert spezifisch PHF12 in WB, IHC (p) und EIA. Dieser Antikörper reagiert spezifisch mit Proben aus Maus und Human.
Produktnummer ABIN954117
1.132,01 €
Zzgl. Versandkosten 20,00 € und MwSt
0.4 mL
Lieferung nach: Deutschland
Lieferung in 16 Werktagen

Kurzübersicht für PHF12 Antikörper (C-Term) (ABIN954117)

Target

Alle PHF12 Antikörper anzeigen
PHF12 (PHD Finger Protein 12 (PHF12))

Reaktivität

  • 18
  • 12
  • 5
  • 5
  • 4
  • 4
  • 4
  • 3
  • 3
  • 1
  • 1
  • 1
Maus, Human

Wirt

  • 19
Kaninchen

Klonalität

  • 19
Polyklonal

Konjugat

  • 14
  • 1
  • 1
  • 1
  • 1
  • 1
Dieser PHF12 Antikörper ist unkonjugiert

Applikation

  • 17
  • 9
  • 8
  • 4
  • 2
Western Blotting (WB), Immunohistochemistry (Paraffin-embedded Sections) (IHC (p)), Enzyme Immunoassay (EIA)
  • Bindungsspezifität

    • 8
    • 4
    • 2
    • 2
    • 1
    • 1
    • 1
    AA 838-866, C-Term

    Spezifität

    This antibody recognizes Human and Mouse PHF12 / Pf1 (C-term).

    Aufreinigung

    Protein A column, followed by peptide affinity purification

    Immunogen

    KLH conjugated synthetic peptide between 838-866 amino acids from the C-terminal region of human PHF12 / Pf1

    Isotyp

    Ig Fraction
  • Applikationshinweise

    Optimal working dilution should be determined by the investigator.

    Beschränkungen

    Nur für Forschungszwecke einsetzbar
  • Format

    Liquid

    Konzentration

    0.25 mg/mL

    Buffer

    PBS containing 0.09 % (W/V) Sodium Azide as preservative

    Konservierungsmittel

    Sodium azide

    Vorsichtsmaßnahmen

    This product contains sodium azide: a POISONOUS AND HAZARDOUS SUBSTANCE which should be handled by trained staff only.

    Handhabung

    Avoid repeated freezing and thawing.

    Lagerung

    4 °C/-20 °C

    Informationen zur Lagerung

    Store undiluted at 2-8 °C for one month or (in aliquots) at -20 °C for longer.
  • Target

    PHF12 (PHD Finger Protein 12 (PHF12))

    Andere Bezeichnung

    PHF12 / Pf1

    Hintergrund

    Inhibins and activins inhibit and activate, respectively, the secretion of follitropin by the pituitary gland. Inhibins/activins are involved in regulating a number of diverse functions such as hypothalamic and pituitary hormone secretion, gonadal hormone secretion, germ cell development and maturation, erythroid differentiation, insulin secretion, nerve cell survival, embryonic axial development or bone growth, depending on their subunit composition. Inhibins appear to oppose the functions of activinsSynonyms: KIAA1523, PHD factor 1, PHD finger protein 12

    Molekulargewicht

    109698 Da

    Gen-ID

    57649

    NCBI Accession

    NP_001028733
Sie sind hier:
Chat with us!