Telefon:
+49 (0)241 95 163 153
Fax:
+49 (0)241 95 163 155
E-Mail:
orders@antikoerper-online.de

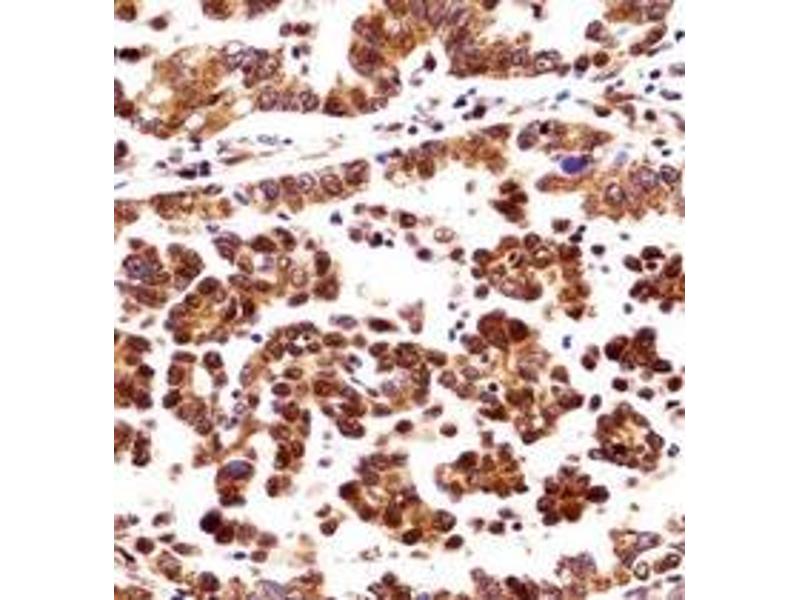
ORC3 Antikörper (N-Term)

Der Kaninchen Polyklonal anti-ORC3 Antikörper (ABIN953934) detektiert spezifisch ORC3 in WB, IHC (p) und EIA. Dieser Antikörper reagiert spezifisch mit Proben aus Human.
Produktnummer ABIN953934
870,77 €
Zzgl. Versandkosten 20,00 € und MwSt
0.4 mL
Lieferung nach: Deutschland
Lieferung in 16 Werktagen

Kurzübersicht für ORC3 Antikörper (N-Term) (ABIN953934)

Target

Alle ORC3 Antikörper anzeigen
ORC3 (Origin Recognition Complex, Subunit 3 (ORC3))

Reaktivität

  • 29
  • 5
  • 4
  • 3
  • 3
  • 3
  • 3
  • 2
  • 2
  • 2
  • 1
  • 1
Human

Wirt

  • 23
  • 4
  • 1
  • 1
Kaninchen

Klonalität

  • 26
  • 3
Polyklonal

Konjugat

  • 24
  • 1
  • 1
  • 1
  • 1
  • 1
Dieser ORC3 Antikörper ist unkonjugiert

Applikation

  • 27
  • 12
  • 11
  • 3
  • 3
  • 2
  • 1
Western Blotting (WB), Immunohistochemistry (Paraffin-embedded Sections) (IHC (p)), Enzyme Immunoassay (EIA)
  • Bindungsspezifität

    • 9
    • 4
    • 4
    • 3
    • 2
    • 2
    • 1
    • 1
    • 1
    • 1
    AA 16-46, N-Term

    Spezifität

    This antibody recognizes Human ORC3 / LATHEO (N-term).

    Aufreinigung

    Protein A column, followed by peptide affinity purification

    Immunogen

    KLH conjugated synthetic peptide between 16-46 amino acids from the N-terminal region of human ORC3 / LATHEO Genename: ORC3L

    Isotyp

    Ig Fraction
  • Applikationshinweise

    Optimal working dilution should be determined by the investigator.

    Beschränkungen

    Nur für Forschungszwecke einsetzbar
  • Format

    Liquid

    Konzentration

    0.25 mg/mL

    Buffer

    PBS containing 0.09 % (W/V) Sodium Azide as preservative

    Konservierungsmittel

    Sodium azide

    Vorsichtsmaßnahmen

    This product contains sodium azide: a POISONOUS AND HAZARDOUS SUBSTANCE which should be handled by trained staff only.

    Handhabung

    Avoid repeated freezing and thawing.

    Lagerung

    4 °C/-20 °C

    Informationen zur Lagerung

    Store undiluted at 2-8 °C for one month or (in aliquots) at -20 °C for longer.
  • Target

    ORC3 (Origin Recognition Complex, Subunit 3 (ORC3))

    Andere Bezeichnung

    ORC3 / LATHEO

    Hintergrund

    The origin recognition complex (ORC) is a highly conserved six subunits protein complex essential for the initiation of the DNA replication in eukaryotic cells. Studies in yeast demonstrated that ORC binds specifically to origins of replication and serves as a platform for the assembly of additional initiation factors such as Cdc6 and Mcm proteins. The protein encoded by this gene is a subunit of the ORC complex. Studies of a similar gene in Drosophila suggested a possible role of this protein in neuronal proliferation and olfactory memory. Alternatively spliced transcript variants encoding distinct isoforms have been reported for this gene.Synonyms: ORC3L, Origin recognition complex subunit 3, Origin recognition complex subunit Latheo

    Molekulargewicht

    82254 Da

    Gen-ID

    23595

    NCBI Accession

    NP_036513

    Pathways

    Mitotic G1-G1/S Phases, DNA Replication, Feeding Behaviour, Synthesis of DNA
Sie sind hier:
Chat with us!