Telefon:
+49 (0)241 95 163 153
Fax:
+49 (0)241 95 163 155
E-Mail:
orders@antikoerper-online.de

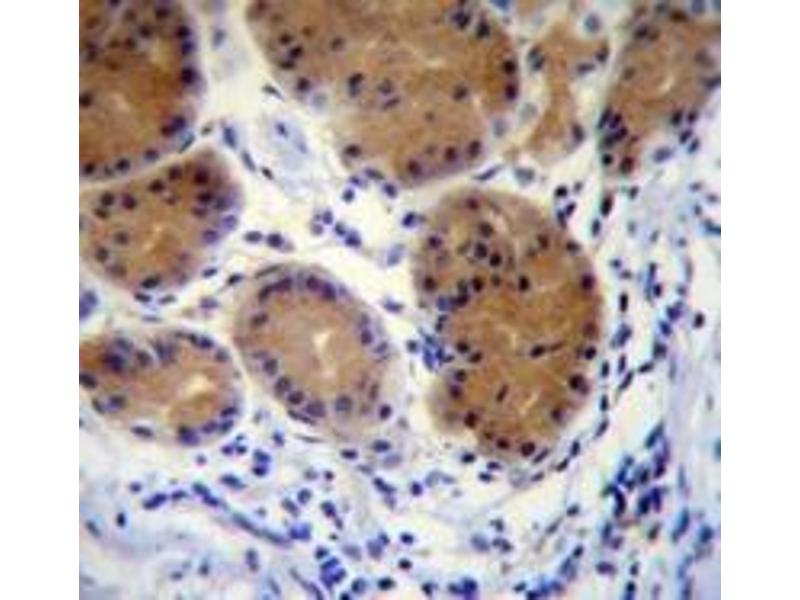
MORN5 Antikörper (C-Term)

Dieser Kaninchen Polyklonal Antikörper detektiert spezifisch MORN5 in WB, IHC (p) und EIA. Es zeigt Reaktivität gegenüber Proben von Human und Maus.
Produktnummer ABIN953485
870,77 €
Zzgl. Versandkosten 20,00 € und MwSt
0.4 mL
Lieferung nach: Deutschland
Lieferung in 16 Werktagen

Kurzübersicht für MORN5 Antikörper (C-Term) (ABIN953485)

Target

Alle MORN5 Antikörper anzeigen
MORN5 (MORN Repeat Containing 5 (MORN5))

Reaktivität

Human, Maus

Wirt

  • 15
Kaninchen

Klonalität

  • 15
Polyklonal

Konjugat

  • 6
  • 3
  • 2
  • 2
  • 1
  • 1
Dieser MORN5 Antikörper ist unkonjugiert

Applikation

  • 12
  • 11
  • 10
  • 2
Western Blotting (WB), Immunohistochemistry (Paraffin-embedded Sections) (IHC (p)), Enzyme Immunoassay (EIA)
  • Bindungsspezifität

    • 8
    • 6
    • 2
    • 1
    AA 92-123, C-Term

    Spezifität

    This antibody recognizes MORN5 at C-term.

    Kreuzreaktivität (Details)

    Species reactivity (tested):Human, Mouse

    Aufreinigung

    Purified through a Protein A column followed by peptide affinity purification

    Immunogen

    Synthetic peptide - KLH conjugated - corresponding to the C-terminal region (between 92-123aa) of human MORN5

    Isotyp

    Ig Fraction
  • Applikationshinweise

    Optimal working dilution should be determined by the investigator.

    Beschränkungen

    Nur für Forschungszwecke einsetzbar
  • Format

    Liquid

    Konzentration

    0.25 mg/mL

    Buffer

    PBS with 0.09 % (W/V) Sodium azide

    Konservierungsmittel

    Sodium azide

    Vorsichtsmaßnahmen

    This product contains sodium azide: a POISONOUS AND HAZARDOUS SUBSTANCE which should be handled by trained staff only.

    Handhabung

    Avoid repeated freezing and thawing.

    Lagerung

    4 °C/-20 °C

    Informationen zur Lagerung

    Store undiluted at 2-8 °C for one month or (in aliquots) at -20 °C for longer.
  • Target

    MORN5 (MORN Repeat Containing 5 (MORN5))

    Andere Bezeichnung

    MORN5

    Hintergrund

    Synonyms: C9orf113, C9orf18, MORN repeat-containing protein 5

    Gen-ID

    254956

    NCBI Accession

    NP_940871
Sie sind hier:
Chat with us!