Telefon:
+49 (0)241 95 163 153
Fax:
+49 (0)241 95 163 155
E-Mail:
orders@antikoerper-online.de

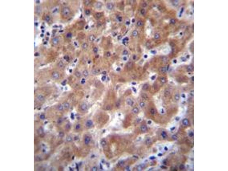
IDO2 Antikörper (C-Term)

Der Kaninchen Polyklonal anti-IDO2 Antikörper wird verwendet zum Nachweis von IDO2 in Proben von Human. Er wurde validiert für WB, IHC (p) und EIA.
Produktnummer ABIN952817
870,77 €
Zzgl. Versandkosten 20,00 € und MwSt
0.4 mL
Lieferung nach: Deutschland
Lieferung in 16 Werktagen

Kurzübersicht für IDO2 Antikörper (C-Term) (ABIN952817)

Target

Alle IDO2 Antikörper anzeigen
IDO2 (Indoleamine 2,3-Dioxygenase 2 (IDO2))

Reaktivität

  • 55
  • 10
  • 8
  • 2
  • 2
  • 2
  • 2
  • 1
  • 1
Human

Wirt

  • 58
  • 8
  • 1
Kaninchen

Klonalität

  • 59
  • 8
Polyklonal

Konjugat

  • 32
  • 8
  • 5
  • 3
  • 1
  • 1
  • 1
  • 1
  • 1
  • 1
  • 1
  • 1
  • 1
  • 1
  • 1
  • 1
  • 1
  • 1
  • 1
  • 1
  • 1
  • 1
  • 1
Dieser IDO2 Antikörper ist unkonjugiert

Applikation

  • 54
  • 22
  • 21
  • 13
  • 13
  • 7
  • 7
  • 5
  • 3
  • 2
  • 2
  • 2
  • 1
  • 1
  • 1
Western Blotting (WB), Immunohistochemistry (Paraffin-embedded Sections) (IHC (p)), Enzyme Immunoassay (EIA)
  • Bindungsspezifität

    • 15
    • 8
    • 5
    • 4
    • 3
    • 3
    • 3
    • 2
    • 1
    • 1
    • 1
    • 1
    • 1
    • 1
    • 1
    • 1
    AA 274-303, C-Term

    Spezifität

    This antibody recognizes Human IDO2 / INDOL1 (C-term).

    Aufreinigung

    Protein A column, followed by peptide affinity purification

    Immunogen

    KLH conjugated synthetic peptide between 274-303 amino acids from the C-terminal region of Human IDO2 / INDOL1

    Isotyp

    Ig Fraction
  • Applikationshinweise

    Optimal working dilution should be determined by the investigator.

    Beschränkungen

    Nur für Forschungszwecke einsetzbar
  • Format

    Liquid

    Konzentration

    0.5 mg/mL

    Buffer

    PBS containing 0.09 % (W/V) Sodium Azide as preservative

    Konservierungsmittel

    Sodium azide

    Vorsichtsmaßnahmen

    This product contains sodium azide: a POISONOUS AND HAZARDOUS SUBSTANCE which should be handled by trained staff only.

    Handhabung

    Avoid repeated freezing and thawing.

    Lagerung

    4 °C/-20 °C

    Informationen zur Lagerung

    Store undiluted at 2-8 °C for one month or (in aliquots) at -20 °C for longer.
  • Target

    IDO2 (Indoleamine 2,3-Dioxygenase 2 (IDO2))

    Andere Bezeichnung

    IDO2 / INDOL1

    Hintergrund

    Along with the enzymes encoded by the INDO (MIM 147435) and TDO2 (MIM 191070) genes, the enzyme encoded by the INDOL1 gene metabolizes tryptophan in the kynurenine pathway (Ball et al., 2007 [PubMed 17499941]).Synonyms: 3-dioxygenase-like protein 1, Indoleamine 2, Indoleamine-pyrrole 2

    Molekulargewicht

    45424 Da

    Gen-ID

    169355

    NCBI Accession

    NP_919270
Sie sind hier:
Chat with us!