Telefon:
+49 (0)241 95 163 153
Fax:
+49 (0)241 95 163 155
E-Mail:
orders@antikoerper-online.de

HPR Antikörper (Middle Region)

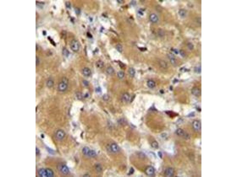
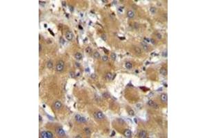
Dieser Kaninchen Polyklonal Antikörper detektiert spezifisch HPR in WB, IHC (p) und EIA. Es zeigt Reaktivität gegenüber Proben von Human.
Produktnummer ABIN952789
870,77 €
Zzgl. Versandkosten 20,00 € und MwSt
0.4 mL
Lieferung nach: Deutschland
Lieferung in 16 Werktagen

Kurzübersicht für HPR Antikörper (Middle Region) (ABIN952789)

Target

Alle HPR Antikörper anzeigen
HPR (Haptoglobin Related Protein (HPR))

Reaktivität

  • 57
  • 15
  • 15
  • 5
Human

Wirt

  • 54
  • 8
Kaninchen

Klonalität

  • 55
  • 7
Polyklonal

Konjugat

  • 21
  • 10
  • 7
  • 2
  • 2
  • 2
  • 1
  • 1
  • 1
  • 1
  • 1
  • 1
  • 1
  • 1
  • 1
  • 1
  • 1
  • 1
  • 1
  • 1
  • 1
  • 1
  • 1
  • 1
Dieser HPR Antikörper ist unkonjugiert

Applikation

  • 48
  • 24
  • 13
  • 11
  • 10
  • 5
  • 4
  • 4
  • 4
  • 2
  • 2
  • 2
Western Blotting (WB), Immunohistochemistry (Paraffin-embedded Sections) (IHC (p)), Enzyme Immunoassay (EIA)
  • Bindungsspezifität

    • 7
    • 6
    • 4
    • 4
    • 4
    • 2
    • 1
    • 1
    • 1
    • 1
    • 1
    • 1
    • 1
    • 1
    AA 219-247, Middle Region

    Spezifität

    This antibody recognizes Human HPR (Center).

    Aufreinigung

    Protein A column, followed by peptide affinity purification

    Immunogen

    KLH conjugated synthetic peptide between 219-247 amino acids from the Central region of human HPR.

    Isotyp

    Ig Fraction
  • Applikationshinweise

    Optimal working dilution should be determined by the investigator.

    Beschränkungen

    Nur für Forschungszwecke einsetzbar
  • Format

    Liquid

    Konzentration

    0.25 mg/mL

    Buffer

    PBS containing 0.09 % (W/V) Sodium Azide as preservative

    Konservierungsmittel

    Sodium azide

    Vorsichtsmaßnahmen

    This product contains sodium azide: a POISONOUS AND HAZARDOUS SUBSTANCE which should be handled by trained staff only.

    Handhabung

    Avoid repeated freezing and thawing.

    Lagerung

    4 °C/-20 °C

    Informationen zur Lagerung

    Store undiluted at 2-8 °C for one month or (in aliquots) at -20 °C for longer.
  • Target

    HPR (Haptoglobin Related Protein (HPR))

    Andere Bezeichnung

    HPR

    Hintergrund

    Ubiquitous transcription factor required for a diverse set of processes. It is a component of the CCR4 complex involved in the control of gene expression (By similarity).Synonyms: Haptoglobin-related protein

    Molekulargewicht

    39030 Da

    Gen-ID

    3250

    NCBI Accession

    NP_066275

    Pathways

    Response to Water Deprivation
Sie sind hier:
Chat with us!