Telefon:
+49 (0)241 95 163 153
Fax:
+49 (0)241 95 163 155
E-Mail:
orders@antikoerper-online.de

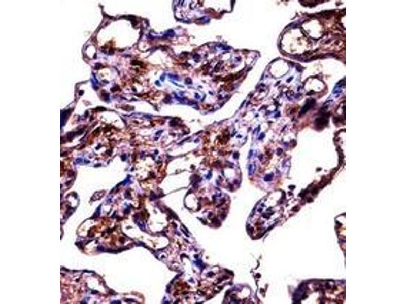
Fibulin 1 Antikörper (C-Term)

Der Kaninchen Polyklonal anti-Fibulin 1 Antikörper wird verwendet zum Nachweis von Fibulin 1 in Proben von Human und Maus. Er wurde validiert für WB und IHC (p).
Produktnummer ABIN952325
870,77 €
Zzgl. Versandkosten 20,00 € und MwSt
0.4 mL
Lieferung nach: Deutschland
Lieferung in 16 Werktagen

Kurzübersicht für Fibulin 1 Antikörper (C-Term) (ABIN952325)

Target

Alle Fibulin 1 (FBLN1) Antikörper anzeigen
Fibulin 1 (FBLN1)

Reaktivität

  • 60
  • 31
  • 19
  • 3
  • 2
  • 2
  • 2
  • 1
  • 1
  • 1
Human, Maus

Wirt

  • 64
  • 17
  • 1
Kaninchen

Klonalität

  • 54
  • 28
Polyklonal

Konjugat

  • 41
  • 19
  • 4
  • 2
  • 2
  • 2
  • 2
  • 2
  • 2
  • 2
  • 1
  • 1
  • 1
  • 1
Dieser Fibulin 1 Antikörper ist unkonjugiert

Applikation

  • 70
  • 37
  • 26
  • 19
  • 19
  • 8
  • 4
  • 3
  • 2
  • 2
  • 1
  • 1
  • 1
Western Blotting (WB), Immunohistochemistry (Paraffin-embedded Sections) (IHC (p))
  • Bindungsspezifität

    • 8
    • 4
    • 4
    • 4
    • 4
    • 3
    • 3
    • 2
    • 2
    • 2
    • 2
    • 2
    • 1
    • 1
    • 1
    • 1
    • 1
    • 1
    AA 621-650, C-Term

    Spezifität

    This antibody recognizes Human and Mouse Fibulin-1 (C-term).

    Aufreinigung

    Affinity Chromatography on Protein A

    Immunogen

    KLH conjugated synthetic peptide between 621-650 amino acids from the C-terminal region of Human Fibulin-1.

    Isotyp

    Ig Fraction
  • Applikationshinweise

    Optimal working dilution should be determined by the investigator.

    Beschränkungen

    Nur für Forschungszwecke einsetzbar
  • Format

    Liquid

    Konzentration

    0.25 mg/mL

    Buffer

    PBS containing 0.09 % (W/V) Sodium Azide as preservative

    Konservierungsmittel

    Sodium azide

    Vorsichtsmaßnahmen

    This product contains sodium azide: a POISONOUS AND HAZARDOUS SUBSTANCE which should be handled by trained staff only.

    Handhabung

    Avoid repeated freezing and thawing.

    Lagerung

    4 °C/-20 °C

    Informationen zur Lagerung

    Store undiluted at 2-8 °C for one month or (in aliquots) at -20 °C for longer.
  • Target

    Fibulin 1 (FBLN1)

    Andere Bezeichnung

    Fibulin-1

    Hintergrund

    Fibulin 1 is a secreted glycoprotein that becomes incorporated into a fibrillar extracellular matrix. Calcium-binding is apparently required to mediate its binding to laminin and nidogen. It mediates platelet adhesion via binding fibrinogen. Four splice variants which differ in the 3' end have been identified. Each variant encodes a different isoform, but no functional distinctions have been identified among the four variants.Synonyms: FBLN1, FIBL-1, PP213

    Molekulargewicht

    77214 Da

    Gen-ID

    2192

    NCBI Accession

    NP_001987
Sie sind hier:
Chat with us!