Telefon:
+49 (0)241 95 163 153
Fax:
+49 (0)241 95 163 155
E-Mail:
orders@antikoerper-online.de

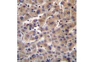
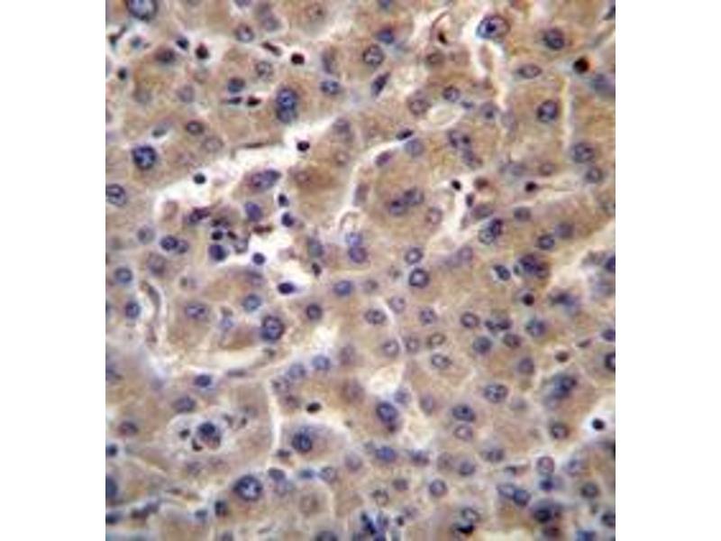
Glucuronidase beta Antikörper (C-Term)

Der Kaninchen Polyklonal anti-Glucuronidase beta Antikörper (ABIN950655) detektiert spezifisch Glucuronidase beta in WB, IHC (p) und EIA. Dieser Antikörper reagiert spezifisch mit Proben aus Human.
Produktnummer ABIN950655
870,77 €
Zzgl. Versandkosten 20,00 € und MwSt
0.4 mL
Lieferung nach: Deutschland
Lieferung in 16 Werktagen

Kurzübersicht für Glucuronidase beta Antikörper (C-Term) (ABIN950655)

Target

Alle Glucuronidase beta (GUSB) Antikörper anzeigen
Glucuronidase beta (GUSB) (Glucuronidase, beta (GUSB))

Reaktivität

  • 58
  • 25
  • 10
  • 6
  • 2
  • 2
  • 2
  • 2
  • 1
  • 1
  • 1
  • 1
  • 1
  • 1
Human

Wirt

  • 79
  • 5
Kaninchen

Klonalität

  • 70
  • 14
Polyklonal

Konjugat

  • 39
  • 9
  • 3
  • 3
  • 3
  • 2
  • 2
  • 2
  • 2
  • 2
  • 2
  • 2
  • 1
  • 1
  • 1
  • 1
  • 1
  • 1
  • 1
  • 1
  • 1
  • 1
  • 1
  • 1
  • 1
Dieser Glucuronidase beta Antikörper ist unkonjugiert

Applikation

  • 76
  • 41
  • 32
  • 21
  • 18
  • 17
  • 13
  • 13
  • 7
  • 7
  • 4
  • 3
  • 3
  • 3
  • 2
  • 2
  • 2
Western Blotting (WB), Immunohistochemistry (Paraffin-embedded Sections) (IHC (p)), Enzyme Immunoassay (EIA)
  • Bindungsspezifität

    • 15
    • 6
    • 6
    • 5
    • 4
    • 4
    • 4
    • 4
    • 3
    • 2
    • 1
    • 1
    • 1
    • 1
    • 1
    • 1
    • 1
    • 1
    AA 514-544, C-Term

    Spezifität

    This antibody recognizes Human Beta-glucuronidase (C-term).

    Aufreinigung

    Protein A column, followed by peptide affinity purification

    Immunogen

    KLH conjugated synthetic peptide between 514-544 amino acids from the C-terminal region of Human Beta-glucuronidase Genename: GUSB

    Isotyp

    Ig Fraction
  • Applikationshinweise

    Optimal working dilution should be determined by the investigator.

    Beschränkungen

    Nur für Forschungszwecke einsetzbar
  • Format

    Liquid

    Konzentration

    0.25 mg/mL

    Buffer

    PBS containing 0.09 % (W/V) Sodium Azide as preservative

    Konservierungsmittel

    Sodium azide

    Vorsichtsmaßnahmen

    This product contains sodium azide: a POISONOUS AND HAZARDOUS SUBSTANCE which should be handled by trained staff only.

    Handhabung

    Avoid repeated freezing and thawing.

    Lagerung

    4 °C/-20 °C

    Informationen zur Lagerung

    Store undiluted at 2-8 °C for one month or (in aliquots) at -20 °C for longer.
  • Target

    Glucuronidase beta (GUSB) (Glucuronidase, beta (GUSB))

    Andere Bezeichnung

    beta-Glucuronidase

    Hintergrund

    GUSB plays an important role in the degradation of dermatan and keratan sulfates.Synonyms: Beta-G1, GUSB

    Molekulargewicht

    74732 Da

    Gen-ID

    2990

    NCBI Accession

    NP_000172

    Pathways

    Glycosaminoglycan Metabolic Process
Sie sind hier:
Chat with us!