ABCC10
Reaktivität: Human
WB, IF (cc), IF (p)
Wirt: Kaninchen
Polyclonal
AbBy Fluor® 750
Applikationshinweise
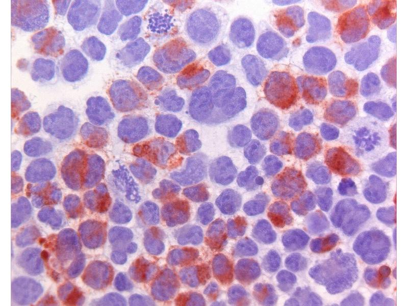
Immunohistochemistry: For acetone-fixed frozen sections, use at a 1:20 dilution followed by incubation with rabbit anti-rat Ig and a monoclonal rat APAAP complex. Alternatively, after incubation with M7I-3 at a 1:20 dilution and washing, slides can be incubated with biotinylated rabbit anti-rat Ig and streptavidin conjugated to horseradish peroxidase. Immunocytochemistry: For acetone-fixed cytospin preparations, use at a 1:20-1:50 dilution. Western blot: Use at a 1:20-1:50 dilution followed by anti-rat-HRP. Flow cytometry: Optimal conditions still to be determined. MRP7 expression as determined by MRP7 clone M7I-3. HEK cells HEK cells transfected with MRP7
Beschränkungen
Nur für Forschungszwecke einsetzbar
Format
Liquid
Buffer
1 mL (>200 tests) monoclonal antibody at 250 µg IgG/mL in serum-free culture supernatant with protein stabilizer and 0.1% sodium azide.
Konservierungsmittel
Sodium azide
Vorsichtsmaßnahmen
This product contains sodium azide: a POISONOUS AND HAZARDOUS SUBSTANCE which should be handled by trained staff only.
Lagerung
-20 °C
Target
ABCC10
(ATP-Binding Cassette, Sub-Family C (CFTR/MRP), Member 10 (ABCC10))