Telefon:
+49 (0)241 95 163 153
Fax:
+49 (0)241 95 163 155
E-Mail:
orders@antikoerper-online.de

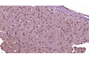
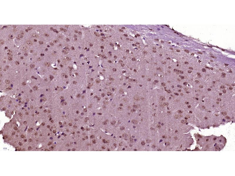
SRRM4 Antikörper (AA 451-611)

Der Kaninchen Polyklonal anti-SRRM4 Antikörper (ABIN873105) detektiert spezifisch SRRM4 in ELISA, WB, IF (cc), IF (p), IHC (fro) und IHC (p). Dieser Antikörper reagiert spezifisch mit Proben aus Maus.
Produktnummer ABIN873105
357,70 €
Zzgl. Versandkosten 20,00 € und MwSt
100 μL
Lieferung nach: Deutschland
Lieferung in 8 bis 12 Werktagen

Kurzübersicht für SRRM4 Antikörper (AA 451-611) (ABIN873105)

Target

Alle SRRM4 Antikörper anzeigen
SRRM4 (Serine/arginine Repetitive Matrix 4 (SRRM4))

Reaktivität

  • 6
  • 2
  • 2
  • 1
  • 1
  • 1
  • 1
  • 1
  • 1
Maus

Wirt

  • 6
Kaninchen

Klonalität

  • 6
Polyklonal

Konjugat

  • 3
  • 1
  • 1
  • 1
Dieser SRRM4 Antikörper ist unkonjugiert

Applikation

ELISA, Western Blotting (WB), Immunofluorescence (Cultured Cells) (IF (cc)), Immunofluorescence (Paraffin-embedded Sections) (IF (p)), Immunohistochemistry (Frozen Sections) (IHC (fro)), Immunohistochemistry (Paraffin-embedded Sections) (IHC (p))
  • Bindungsspezifität

    • 4
    • 1
    • 1
    AA 451-611

    Kreuzreaktivität

    Maus

    Homologie

    Human,Rat,Dog,Cow,Sheep,Chicken

    Aufreinigung

    Purified by Protein A.

    Immunogen

    KLH conjugated synthetic peptide derived from human SRRM4

    Isotyp

    IgG
  • Applikationshinweise

    WB 1:300-5000
    ELISA 1:500-1000
    IHC-P 1:200-400
    IHC-F 1:100-500
    IF(IHC-P) 1:50-200
    IF(IHC-F) 1:50-200
    IF(ICC) 1:50-200

    Beschränkungen

    Nur für Forschungszwecke einsetzbar
  • Format

    Liquid

    Konzentration

    1 μg/μL

    Buffer

    0.01M TBS( pH 7.4) with 1 % BSA, 0.02 % Proclin300 and 50 % Glycerol.

    Konservierungsmittel

    ProClin

    Vorsichtsmaßnahmen

    This product contains ProClin: a POISONOUS AND HAZARDOUS SUBSTANCE, which should be handled by trained staff only.

    Lagerung

    4 °C,-20 °C

    Informationen zur Lagerung

    Shipped at 4°C. Store at -20°C for one year. Avoid repeated freeze/thaw cycles.

    Haltbarkeit

    12 months
  • Target

    SRRM4 (Serine/arginine Repetitive Matrix 4 (SRRM4))

    Andere Bezeichnung

    SRRM4

    Hintergrund

    Synonyms: Neural-specic serine/arginine repetitive splicing factor of 100 kDa, Neural-specic SR-related protein of 100 kDa, nSR100, Serine/arginine repetitive matrix protein 4, Srrm4, SRRM4_HUMAN.

    Background: Splicing factor specifically required for neural cell differentiation. Acts in conjuction with nPTB/PTBP2 by binding directly to its regulated target transcripts and promotes neural-specific exon inclusion in many genes that function in neural cell differentiation. Required to promote the inclusion of neural-specific exon 10 in nPTB/PTBP2, leading to increased expression of neural-specific nPTB/PTBP2. Also promotes the inclusion of exon 16 in DAAM1 in neuron extracts.

    Pathways

    Sensory Perception of Sound
Sie sind hier:
Chat with us!