Telefon:
+49 (0)241 95 163 153
Fax:
+49 (0)241 95 163 155
E-Mail:
orders@antikoerper-online.de

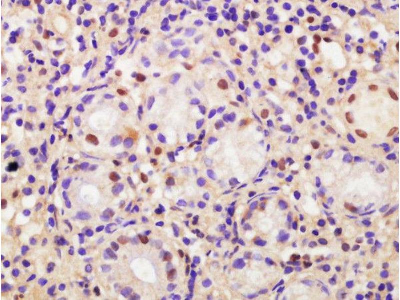
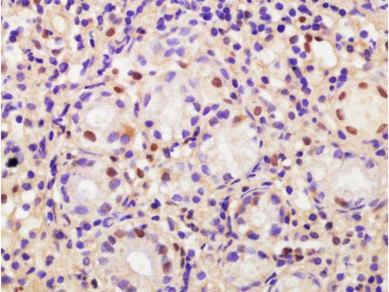
CDCA2 Antikörper (AA 361-450)

Der Kaninchen Polyklonal anti-CDCA2 Antikörper wird verwendet zum Nachweis von CDCA2 in Proben von Human und Maus. Er wurde validiert für WB, ELISA, IF (cc), IF (p), IHC (p) und IHC (fro).
Produktnummer ABIN872339
357,70 €
Zzgl. Versandkosten 20,00 € und MwSt
100 μL
Lieferung nach: Deutschland
Lieferung in 8 bis 12 Werktagen

Kurzübersicht für CDCA2 Antikörper (AA 361-450) (ABIN872339)

Target

Alle CDCA2 Antikörper anzeigen
CDCA2 (Cell Division Cycle Associated 2 (CDCA2))

Reaktivität

  • 29
  • 15
  • 1
Human, Maus

Wirt

  • 29
Kaninchen

Klonalität

  • 29
Polyklonal

Konjugat

  • 9
  • 1
  • 1
  • 1
  • 1
  • 1
  • 1
  • 1
  • 1
  • 1
  • 1
  • 1
  • 1
  • 1
  • 1
  • 1
  • 1
  • 1
  • 1
  • 1
  • 1
Dieser CDCA2 Antikörper ist unkonjugiert

Applikation

  • 22
  • 12
  • 12
  • 9
  • 3
  • 3
  • 2
  • 2
  • 1
  • 1
Western Blotting (WB), ELISA, Immunofluorescence (Cultured Cells) (IF (cc)), Immunofluorescence (Paraffin-embedded Sections) (IF (p)), Immunohistochemistry (Paraffin-embedded Sections) (IHC (p)), Immunohistochemistry (Frozen Sections) (IHC (fro))
  • Bindungsspezifität

    • 14
    • 1
    • 1
    • 1
    • 1
    • 1
    • 1
    • 1
    AA 361-450

    Kreuzreaktivität

    Human, Maus

    Homologie

    Rat,Dog,Pig,Horse,Rabbit

    Aufreinigung

    Purified by Protein A.

    Immunogen

    KLH conjugated synthetic peptide derived from human CDCA2

    Isotyp

    IgG
  • Applikationshinweise

    WB 1:300-5000
    ELISA 1:500-1000
    IHC-P 1:200-400
    IHC-F 1:100-500
    IF(IHC-P) 1:50-200
    IF(IHC-F) 1:50-200
    IF(ICC) 1:50-200

    Beschränkungen

    Nur für Forschungszwecke einsetzbar
  • Format

    Liquid

    Konzentration

    1 μg/μL

    Buffer

    0.01M TBS( pH 7.4) with 1 % BSA, 0.02 % Proclin300 and 50 % Glycerol.

    Konservierungsmittel

    ProClin

    Vorsichtsmaßnahmen

    This product contains ProClin: a POISONOUS AND HAZARDOUS SUBSTANCE, which should be handled by trained staff only.

    Lagerung

    4 °C,-20 °C

    Informationen zur Lagerung

    Shipped at 4°C. Store at -20°C for one year. Avoid repeated freeze/thaw cycles.

    Haltbarkeit

    12 months
  • Target

    CDCA2 (Cell Division Cycle Associated 2 (CDCA2))

    Andere Bezeichnung

    CDCA2

    Hintergrund

    Synonyms: PPP1R81, Repo-Man, Cell division cycle-associated protein 2, Recruits PP1 onto mitotic chromatin at anaphase protein, CDCA2

    Background: Regulator of chromosome structure during mitosis required for condensin-depleted chromosomes to retain their compact architecture through anaphase. Acts by mediating the recruitment of phopsphatase PP1-gamma subunit (PPP1CC) to chromatin at anaphase and into the following interphase. At anaphase onset, its association with chromatin targets a pool of PPP1CC to dephosphorylate substrates.

    Gen-ID

    157313

    UniProt

    Q69YH5
Sie sind hier:
Chat with us!