Telefon:
+49 (0)241 95 163 153
Fax:
+49 (0)241 95 163 155
E-Mail:
orders@antikoerper-online.de

APP Antikörper (N-Term)

Der Ziege Polyklonal anti-APP Antikörper wird verwendet zum Nachweis von APP in Proben von Human und Maus. Er wurde validiert für WB, ELISA und IHC.
Produktnummer ABIN870659
488,25 €
Zzgl. Versandkosten 20,00 € und MwSt
100 μg
Lieferung nach: Deutschland
Lieferung in 5 bis 8 Werktagen

Kurzübersicht für APP Antikörper (N-Term) (ABIN870659)

Target

Alle APP Antikörper anzeigen
APP (Amyloid beta (A4) Precursor Protein (APP))

Reaktivität

  • 284
  • 124
  • 123
  • 11
  • 9
  • 8
  • 8
  • 8
  • 8
  • 7
  • 6
  • 5
  • 4
  • 4
  • 3
  • 1
  • 1
  • 1
  • 1
Human, Maus

Wirt

  • 219
  • 82
  • 24
  • 4
  • 3
  • 2
Ziege

Klonalität

  • 226
  • 104
  • 2
Polyklonal

Konjugat

  • 187
  • 27
  • 19
  • 18
  • 7
  • 6
  • 4
  • 4
  • 4
  • 4
  • 4
  • 4
  • 4
  • 4
  • 4
  • 4
  • 4
  • 3
  • 3
  • 3
  • 3
  • 3
  • 3
  • 2
  • 2
  • 1
  • 1
  • 1
Dieser APP Antikörper ist unkonjugiert

Applikation

  • 198
  • 138
  • 90
  • 55
  • 52
  • 52
  • 43
  • 43
  • 36
  • 18
  • 15
  • 6
  • 5
  • 3
  • 2
  • 2
  • 1
  • 1
  • 1
  • 1
  • 1
Western Blotting (WB), ELISA, Immunohistochemistry (IHC)

Güteklasse

Verified
  • Bindungsspezifität

    • 30
    • 27
    • 24
    • 23
    • 17
    • 17
    • 11
    • 8
    • 8
    • 8
    • 8
    • 6
    • 6
    • 5
    • 5
    • 4
    • 4
    • 3
    • 3
    • 3
    • 3
    • 3
    • 3
    • 3
    • 2
    • 2
    • 2
    • 2
    • 2
    • 2
    • 2
    • 2
    • 2
    • 2
    • 2
    • 2
    • 2
    • 2
    • 1
    • 1
    • 1
    • 1
    • 1
    • 1
    • 1
    • 1
    • 1
    • 1
    • 1
    • 1
    N-Term

    Verwendungszweck

    Amyloid beta peptide (mouse)

    Sequenz

    DAEFGHDSGF EVRHQK

    Spezifität

    This antibody is expected to recognize all reported isoforms of mAPP (NP_001185752.1, NP_031497.2, NP_001185753.1, NP_001185754.1, NP_001185755.1) and to recognize all lengths of the putative mouse Amyloid beta peptide.

    Kreuzreaktivität

    Maus, Ratte

    Aufreinigung

    Purified from goat serum by ammonium sulphate precipitation followed by antigen affinity chromatography using the immunizing peptide.

    Immunogen

    Peptide with sequence DAEFGHDSGFEVRHQK-C, from the N Terminus of the protein sequence according to NP_001185752.1, NP_031497.2, NP_001185753.1, NP_001185754.1, NP_001185755.1.

    Isotyp

    IgG
  • Applikationshinweise

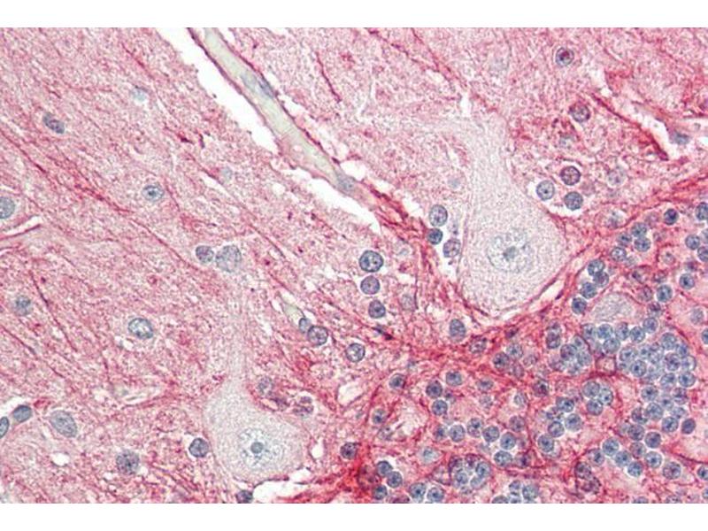
    Immunohistochemistry: Paraffin embedded Human Brain (Cerebellum). Recommended concentration: 5 μg/mL.

    Western Blot: Approx 100 kDa band observed in Mouse Brain lysates (calculated MW of 86.7 kDa according to NP_001185752.1). Recommended concentration: 0.03-0.1 μg/mL. Primary incubation was 1 hour.

    Peptide ELISA: antibody detection limit dilution 1:64000.

    Beschränkungen

    Nur für Forschungszwecke einsetzbar
  • Format

    Liquid

    Konzentration

    0.5 mg/mL

    Buffer

    Supplied at 0.5 mg/mL in Tris saline, 0.02 % sodium azide, pH 7.3 with 0.5 % bovine serum albumin.

    Konservierungsmittel

    Sodium azide

    Vorsichtsmaßnahmen

    This product contains Sodium azide: a POISONOUS AND HAZARDOUS SUBSTANCE which should be handled by trained staff only.

    Handhabung

    Minimize freezing and thawing.

    Lagerung

    -20 °C

    Informationen zur Lagerung

    Aliquot and store at -20°C, with minimal freeze/thawing. A working aliquot may be refrigerated at 4°C for a few weeks and still remain viable.
  • Target

    APP (Amyloid beta (A4) Precursor Protein (APP))

    Andere Bezeichnung

    App

    Hintergrund

    App, amyloid beta (A4) precursor protein, Abeta, Abpp, Adap, Ag, Cvap, E030013M08Rik, betaApp, alzheimer disease amyloid A4 protein homolog, amyloid beta A4 protein, amyloidogenic glycoprotein, appican, protease nexin II

    Molekulargewicht

    86.7kDa

    Gen-ID

    11820, 54226

    NCBI Accession

    NP_001185752, NP_031497, NP_001185753, NP_001185754, NP_001185755

    Pathways

    Caspase Kaskade in der Apoptose, EGFR Signaling Pathway, Transition Metal Ion Homeostasis, Skeletal Muscle Fiber Development, Toll-Like Receptors Cascades, Feeding Behaviour
Sie sind hier:
Chat with us!