Telefon:
+49 (0)241 95 163 153
Fax:
+49 (0)241 95 163 155
E-Mail:
orders@antikoerper-online.de

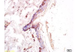
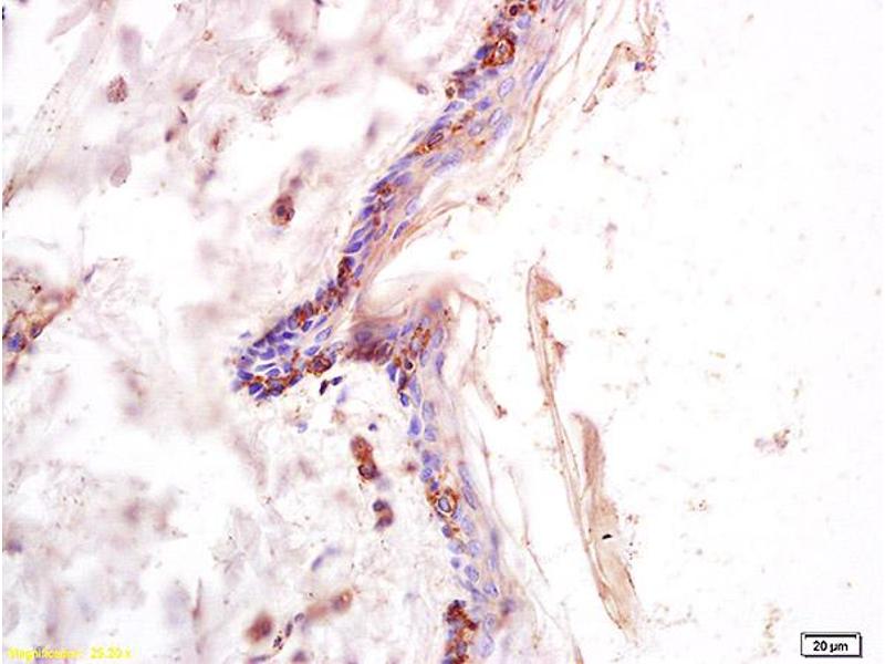
Integrin beta 4 Antikörper (pTyr1494)

Der Kaninchen Polyklonal anti-Integrin beta 4 Antikörper (ABIN802323) detektiert spezifisch Integrin beta 4 in ELISA, IHC (fro), IHC (p), IF (cc) und IF (p). Dieser Antikörper reagiert spezifisch mit Proben aus Ratte.
Produktnummer ABIN802323
357,70 €
Zzgl. Versandkosten 20,00 € und MwSt
100 μL
Lieferung nach: Deutschland
Lieferung in 8 bis 12 Werktagen

Kurzübersicht für Integrin beta 4 Antikörper (pTyr1494) (ABIN802323)

Target

Alle Integrin beta 4 (ITGB4) Antikörper anzeigen
Integrin beta 4 (ITGB4)

Reaktivität

  • 109
  • 39
  • 24
  • 4
  • 4
Ratte

Wirt

  • 71
  • 47
  • 14
  • 2
Kaninchen

Klonalität

  • 79
  • 55
Polyklonal

Konjugat

  • 68
  • 11
  • 9
  • 4
  • 3
  • 3
  • 3
  • 3
  • 3
  • 3
  • 2
  • 1
  • 1
  • 1
  • 1
  • 1
  • 1
  • 1
  • 1
  • 1
  • 1
  • 1
  • 1
  • 1
  • 1
  • 1
  • 1
  • 1
  • 1
  • 1
  • 1
  • 1
  • 1
Dieser Integrin beta 4 Antikörper ist unkonjugiert

Applikation

  • 68
  • 58
  • 48
  • 34
  • 24
  • 21
  • 13
  • 13
  • 12
  • 12
  • 9
  • 8
  • 6
  • 2
  • 2
  • 1
  • 1
  • 1
  • 1
  • 1
  • 1
  • 1
  • 1
  • 1
  • 1
ELISA, Immunohistochemistry (Frozen Sections) (IHC (fro)), Immunohistochemistry (Paraffin-embedded Sections) (IHC (p)), Immunofluorescence (Cultured Cells) (IF (cc)), Immunofluorescence (Paraffin-embedded Sections) (IF (p))
  • Bindungsspezifität

    • 14
    • 11
    • 6
    • 3
    • 2
    • 2
    • 2
    • 2
    • 2
    • 2
    • 1
    • 1
    • 1
    • 1
    • 1
    • 1
    • 1
    • 1
    • 1
    • 1
    • 1
    • 1
    • 1
    pTyr1494

    Kreuzreaktivität

    Ratte

    Homologie

    Mouse,Dog,Cow,Pig,Horse,Rabbit

    Aufreinigung

    Purified by Protein A.

    Immunogen

    KLH conjugated synthetic phosphopeptide derived from mouse ITGB4 around the phosphorylation site of Tyr1494

    Isotyp

    IgG
  • Applikationshinweise

    ELISA 1:500-1000
    IHC-P 1:200-400
    IHC-F 1:100-500
    IF(IHC-P) 1:50-200
    IF(IHC-F) 1:50-200
    IF(ICC) 1:50-200

    Beschränkungen

    Nur für Forschungszwecke einsetzbar
  • Format

    Liquid

    Konzentration

    1 μg/μL

    Buffer

    0.01M TBS( pH 7.4) with 1 % BSA, 0.02 % Proclin300 and 50 % Glycerol.

    Konservierungsmittel

    ProClin

    Vorsichtsmaßnahmen

    This product contains ProClin: a POISONOUS AND HAZARDOUS SUBSTANCE, which should be handled by trained staff only.

    Lagerung

    4 °C,-20 °C

    Informationen zur Lagerung

    Shipped at 4°C. Store at -20°C for one year. Avoid repeated freeze/thaw cycles.

    Haltbarkeit

    12 months
  • Target

    Integrin beta 4 (ITGB4)

    Andere Bezeichnung

    ITGB4

    Hintergrund

    Synonyms: CD104, AA407042, C230078O20, Integrin beta-4, Itgb4

    Background: Integrin alpha-6/beta-4 is a receptor for laminin. It plays a critical structural role in the hemidesmosome of epithelial cells. Is required for the regulation of keratinocyte polarity and motility (By similarity).

    Gen-ID

    192897

    UniProt

    A2A863

    Pathways

    Integrin Complex
Sie sind hier:
Chat with us!