HDAC1 Antikörper (AA 1-483)
Kurzübersicht für HDAC1 Antikörper (AA 1-483) (ABIN790538)
Target
Alle HDAC1 Antikörper anzeigenReaktivität
Wirt
Klonalität
Konjugat
Applikation
Klon
-
-
Bindungsspezifität
- AA 1-483
-
Spezifität
- Human HDAC1
-
Aufreinigung
- Purified from ascites by Protein A
-
Immunogen
-
HDAC1 (AAH00301, 1 a.a. ~ 483 a.a) full length recombinant protein with GST tag. MW of the GST tag alone is 26 KDa.
Type of Immunogen: Recombinant protein -
Isotyp
- IgG2a kappa
-
-
-
-
Applikationshinweise
-
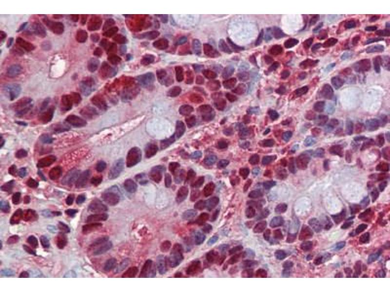
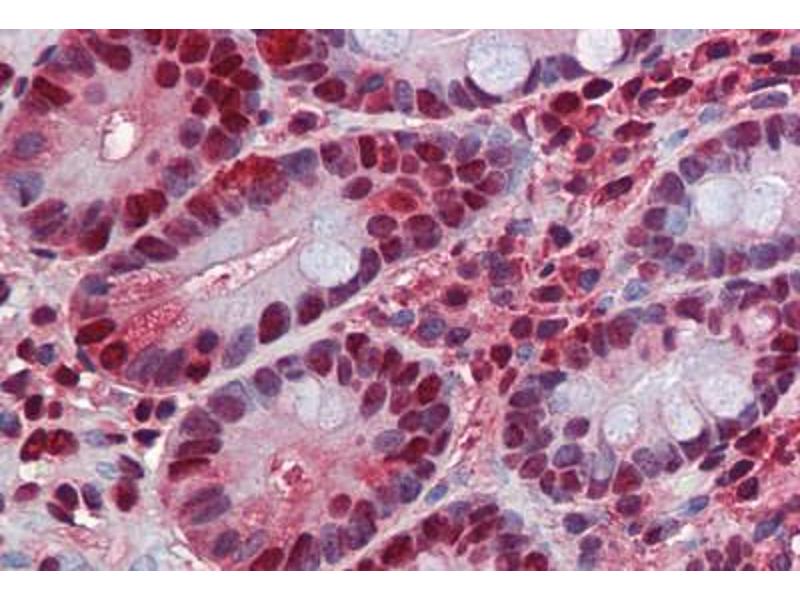
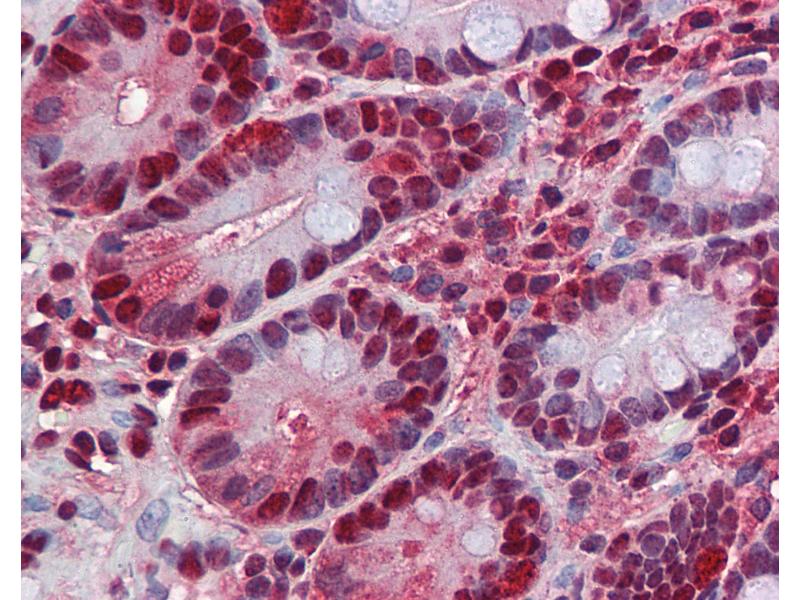
Approved: ELISA, IF (10 μg/mL), IHC, IHC-P (5 μg/mL), WB (1:500 - 1:1000)
Usage: Immunohistochemistry: Formalin-fixed paraffin-embedded sections. Sandwich ELISA: Recombinant protein. Western Blot: Cell lysate, Recombinant protein. -
Kommentare
-
Target Species of Antibody: Human
-
Beschränkungen
- Nur für Forschungszwecke einsetzbar
-
-
-
Format
- Liquid
-
Konzentration
- Lot specific
-
Buffer
- PBS, pH 7.4
-
Handhabung
- Avoid freeze-thaw cycles.
-
Lagerung
- -20 °C,-80 °C
-
Informationen zur Lagerung
- Aliquot and store at -20°C or -80°C. Avoid freeze-thaw cycles.
-
-
- HDAC1 (Histone Deacetylase 1 (HDAC1))
-
Andere Bezeichnung
- HDAC1
-
Hintergrund
-
Name/Gene ID: HDAC1
Family: Histone Deacetylase
Synonyms: HDAC1, Histone deacetylase 1, GON-10, HD1, RPD3, RPD3L1 -
Gen-ID
- 3065
-
UniProt
- Q13547
-
Pathways
- Neurotrophin Signalübertragung, Intracellular Steroid Hormone Receptor Signaling Pathway, Regulation of Intracellular Steroid Hormone Receptor Signaling, Mitotic G1-G1/S Phases, Regulation of Muscle Cell Differentiation, Skeletal Muscle Fiber Development, Negative Regulation of intrinsic apoptotic Signaling, Embryonic Body Morphogenesis
Target
-