×
Aktivieren Sie Javascript in Ihrem Browser, um unsere Webseite optimal zu nutzen.
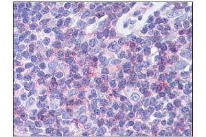
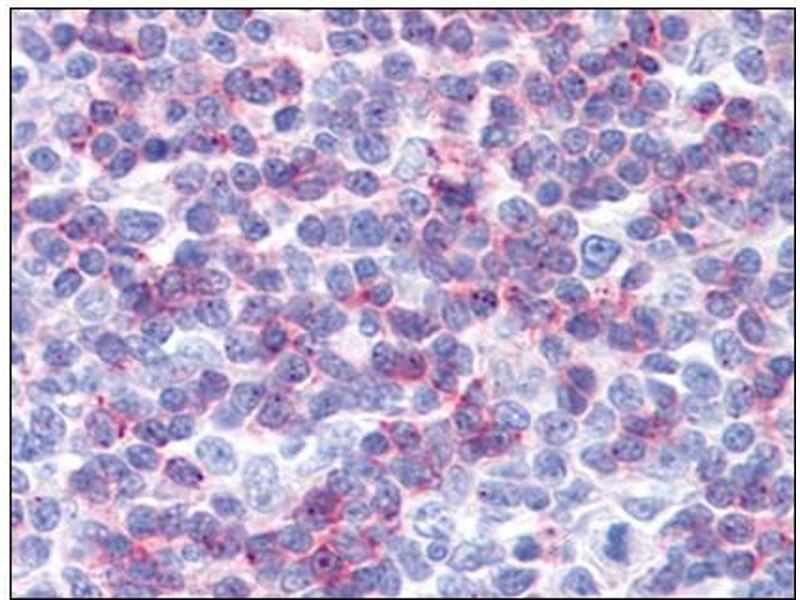
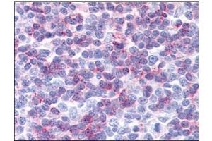
IFITM1 Antikörper (C-Term)
Der Kaninchen Polyklonal anti-IFITM1 Antikörper wird verwendet zum Nachweis von IFITM1 in Proben von Human. Er wurde validiert für WB, IHC (p) und EIA.
Produktnummer ABIN784061
876,92 €
Zzgl. Versandkosten 20,00 € und MwSt
Lieferung in 16 Werktagen
Kurzübersicht für IFITM1 Antikörper (C-Term) (ABIN784061)
Target
Alle IFITM1 Antikörper anzeigen
IFITM1
(Interferon-Induced Transmembrane Protein 1 (IFITM1))
Reaktivität
Alle Reaktivitäten für IFITM1 Antikörper
Human
Wirt
Alle Wirte für IFITM1 Antikörper
Kaninchen
Klonalität
Alle Klonalitäten für IFITM1 Antikörper
Polyklonal
Konjugat
Alle Konjugate für IFITM1 Antikörper
Dieser IFITM1 Antikörper ist unkonjugiert
Applikation
Alle Applikationen für IFITM1 Antikörper
Western Blotting (WB), Immunohistochemistry (Paraffin-embedded Sections) (IHC (p)), Enzyme Immunoassay (EIA)
Produktdetails anti-IFITM1 Antikörper
(ausblenden)
Bindungsspezifität
Alle Epitope für IFITM1 Antikörper
C-Term
Spezifität
This antibody reacts to the C-term of IFITM1.
Aufreinigung
Immunoaffinity chromatography
Immunogen
IFITM1 antibody was raised against synthetic peptide
Isotyp
IgG
Alternativen
(anzeigen)
Anwendungsinformationen
(ausblenden)
Applikationshinweise
Optimal working dilution should be determined by the investigator.
Beschränkungen
Nur für Forschungszwecke einsetzbar
Handhabung
(ausblenden)
Konzentration
1,0 mg/mL
Buffer
PBS containing 0.02 % sodium azide as preservative
Konservierungsmittel
Sodium azide
Vorsichtsmaßnahmen
This product contains sodium azide: a POISONOUS AND HAZARDOUS SUBSTANCE which should be handled by trained staff only.
Lagerung
4 °C
Informationen zur Lagerung
Store the antibody undiluted at 2-8 °C.
Details zu IFITM1
(ausblenden)
Target
IFITM1
(Interferon-Induced Transmembrane Protein 1 (IFITM1))
Andere Bezeichnung
CD225 / IFITM1
Hintergrund
Synonyms: IFI17, Interferon-induced protein 17, Interferon-induced transmembrane protein 1, Interferon-inducible protein 9-27, Leu-13 antigen
Gen-ID
8519
NCBI Accession
NP_003632
Zuletzt angesehen
(ausblenden)
Sie sind hier:
Startseite
anti-IFITM1 Antikörper (C-Term) (ABIN784061)
Chat with us , powered by LiveChat