Telefon:
+49 (0)241 95 163 153
Fax:
+49 (0)241 95 163 155
E-Mail:
orders@antikoerper-online.de

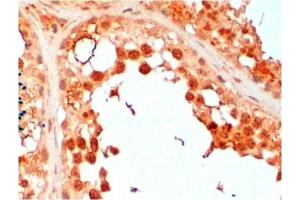
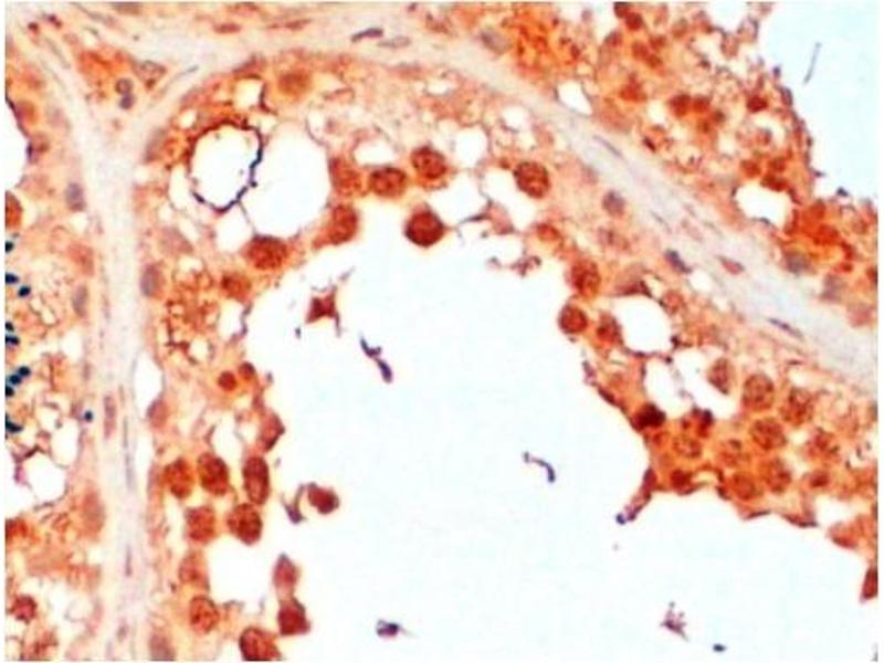
UBE2R2 Antikörper (N-Term)

Dieser Ziege Polyklonal Antikörper detektiert spezifisch UBE2R2 in IHC (p), IEM und EIA. Es zeigt Reaktivität gegenüber Proben von Human, Maus und Ratte.
Produktnummer ABIN783979
772,31 €
Zzgl. Versandkosten 20,00 € und MwSt
0.1 mg
Lieferung nach: Deutschland
Lieferung in 16 Werktagen

Kurzübersicht für UBE2R2 Antikörper (N-Term) (ABIN783979)

Target

Alle UBE2R2 Antikörper anzeigen
UBE2R2 (Ubiquitin-Conjugating Enzyme E2R 2 (UBE2R2))

Reaktivität

  • 31
  • 4
  • 3
  • 1
  • 1
  • 1
  • 1
  • 1
Human, Maus, Ratte

Wirt

  • 28
  • 2
  • 1
Ziege

Klonalität

  • 29
  • 2
Polyklonal

Konjugat

  • 12
  • 2
  • 2
  • 2
  • 1
  • 1
  • 1
  • 1
  • 1
  • 1
  • 1
  • 1
  • 1
  • 1
  • 1
  • 1
  • 1
Dieser UBE2R2 Antikörper ist unkonjugiert

Applikation

  • 30
  • 14
  • 13
  • 13
  • 3
  • 3
  • 3
  • 2
  • 1
  • 1
  • 1
Immunohistochemistry (Paraffin-embedded Sections) (IHC (p)), Immunoelectron Microscopy (IEM), Enzyme Immunoassay (EIA)
  • Bindungsspezifität

    • 15
    • 7
    • 2
    • 1
    • 1
    • 1
    • 1
    • 1
    N-Term

    Sequenz

    AQQQMTSSQK ALM-C

    Spezifität

    Recognizes UBC3B.

    Kreuzreaktivität (Details)

    Species reactivity (expected):Mouse.
    Species reactivity (tested):Human, Rat.

    Aufreinigung

    Ammonium Sulphate Precipitation followed by Antigen Affinity Chromatography using the immunizing peptide

    Immunogen

    Peptide with sequence from the N Terminus of the protein sequence according to NP_060281. Genename: UBE2R2
  • Applikationshinweise

    Optimal working dilution should be determined by the investigator.

    Beschränkungen

    Nur für Forschungszwecke einsetzbar
  • Konzentration

    0.5 mg/mL

    Buffer

    Tris saline, pH ~7.3 with 0.02 % Sodium Azide and 0.5 % BSA, 0.02 % Sodium Azide, 0.5 % BSA

    Konservierungsmittel

    Sodium azide

    Vorsichtsmaßnahmen

    This product contains sodium azide: a POISONOUS AND HAZARDOUS SUBSTANCE which should be handled by trained staff only.

    Handhabung

    Avoid repeated freezing and thawing.

    Lagerung

    4 °C/-20 °C

    Informationen zur Lagerung

    Store the antibody undiluted at 2-8 °C for one month or (in aliquots) at -20 °C for longer.
  • Target

    UBE2R2 (Ubiquitin-Conjugating Enzyme E2R 2 (UBE2R2))

    Andere Bezeichnung

    UBE2R2

    Hintergrund

    Protein kinase CK2 is a ubiquitous and pleiotropic Ser/Thr protein kinase involved in cell growth and transformation. This gene encodes a protein similar to the E2 ubiquitin conjugating enzyme UBC3/CDC34. Studies suggest that CK2-dependent phosphorylation of this ubiquitin-conjugating enzyme functions by regulating beta-TrCP substrate recognition and induces its interaction with beta-TrCP, enhancing beta-catenin degradation.Synonyms: CDC34B, E2-CDC34B, UBC3B, Ubiquitin carrier protein R2, Ubiquitin-conjugating enzyme E2 R2, Ubiquitin-protein ligase R2

    Gen-ID

    51061

    NCBI Accession

    NP_060281
Sie sind hier:
Chat with us!