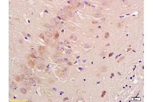
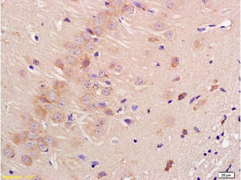
CNTN3 Antikörper (AA 301-400)
Kurzübersicht für CNTN3 Antikörper (AA 301-400) (ABIN761441)
Target
Alle CNTN3 Antikörper anzeigenReaktivität
Wirt
Klonalität
Konjugat
Applikation
-
-
Bindungsspezifität
- AA 301-400
-
Kreuzreaktivität
- Ratte
-
Homologie
- Human,Mouse,Dog,Cow,Horse,Chicken,Rabbit
-
Aufreinigung
- Purified by Protein A.
-
Immunogen
- KLH conjugated synthetic peptide derived from human Contactin 3
-
Isotyp
- IgG
-
-
-
-
Applikationshinweise
-
ELISA 1:500-1000
IHC-P 1:200-400
IHC-F 1:100-500
IF(IHC-P) 1:50-200
IF(IHC-F) 1:50-200
IF(ICC) 1:50-200 -
Beschränkungen
- Nur für Forschungszwecke einsetzbar
-
-
-
Format
- Liquid
-
Konzentration
- 1 μg/μL
-
Buffer
- 0.01M TBS( pH 7.4) with 1 % BSA, 0.02 % Proclin300 and 50 % Glycerol.
-
Konservierungsmittel
- ProClin
-
Vorsichtsmaßnahmen
- This product contains ProClin: a POISONOUS AND HAZARDOUS SUBSTANCE, which should be handled by trained staff only.
-
Lagerung
- 4 °C,-20 °C
-
Informationen zur Lagerung
- Shipped at 4°C. Store at -20°C for one year. Avoid repeated freeze/thaw cycles.
-
Haltbarkeit
- 12 months
-
-
- CNTN3 (Contactin 3 (Plasmacytoma Associated) (CNTN3))
-
Andere Bezeichnung
- Contactin 3
-
Hintergrund
-
Synonyms: PCS, PANG, BIG-1, Contactin-3, Brain-derived immunoglobulin superfamily protein 1, Plasmacytoma-associated neuronal glycoprotein, CNTN3, KIAA1496
Background: Contactins mediate cell surface interactions during nervous system development. Has some neurite outgrowth-promoting activity (By similarity).
-
Gen-ID
- 5067
-
UniProt
- Q9P232
Target
-