PBOV1 Antikörper (AA 31-130)
Kurzübersicht für PBOV1 Antikörper (AA 31-130) (ABIN760106)
Target
Alle PBOV1 Antikörper anzeigenReaktivität
Wirt
Klonalität
Konjugat
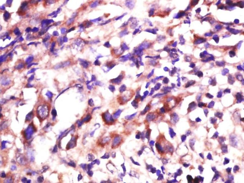
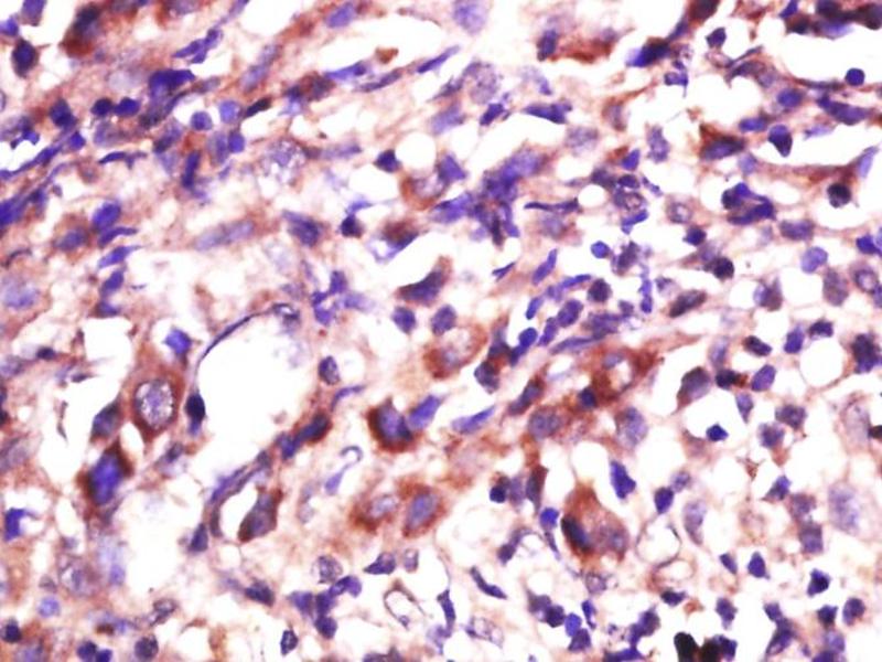
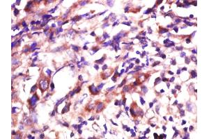
Applikation
-
-
Bindungsspezifität
- AA 31-130
-
Kreuzreaktivität
- Human
-
Aufreinigung
- Purified by Protein A.
-
Immunogen
- KLH conjugated synthetic peptide derived from human PBOV1
-
Isotyp
- IgG
-
-
-
-
Applikationshinweise
-
ELISA 1:500-1000
IHC-P 1:200-400
IHC-F 1:100-500
IF(IHC-P) 1:50-200
IF(IHC-F) 1:50-200
IF(ICC) 1:50-200 -
Beschränkungen
- Nur für Forschungszwecke einsetzbar
-
-
-
Format
- Liquid
-
Konzentration
- 1 μg/μL
-
Buffer
- 0.01M TBS( pH 7.4) with 1 % BSA, 0.02 % Proclin300 and 50 % Glycerol.
-
Konservierungsmittel
- ProClin
-
Vorsichtsmaßnahmen
- This product contains ProClin: a POISONOUS AND HAZARDOUS SUBSTANCE, which should be handled by trained staff only.
-
Lagerung
- 4 °C,-20 °C
-
Informationen zur Lagerung
- Shipped at 4°C. Store at -20°C for one year. Avoid repeated freeze/thaw cycles.
-
Haltbarkeit
- 12 months
-
-
- PBOV1 (Prostate and Breast Cancer Overexpressed Protein 1 (PBOV1))
-
Andere Bezeichnung
- Pbov1
-
Hintergrund
-
Synonyms: PBOV 1, PBOV-1, Prostate and breast cancer overexpressed gene 1 protein, UROC28, Prostate and breast cancer overexpressed 1, UC28.PBOV1_HUMAN
Background: This gene is overexpressed in prostate and breast cancer.
-
Gen-ID
- 59351
Target
-