MAS1L Antikörper (AA 201-300)
Kurzübersicht für MAS1L Antikörper (AA 201-300) (ABIN759926)
Target
Reaktivität
Wirt
Klonalität
Konjugat
Applikation
-
-
Bindungsspezifität
- AA 201-300
-
Kreuzreaktivität
- Human, Ratte
-
Aufreinigung
- Purified by Protein A.
-
Immunogen
- KLH conjugated synthetic peptide derived from human MAS1L
-
Isotyp
- IgG
-
-
-
-
Applikationshinweise
-
WB 1:300-5000
ELISA 1:500-1000
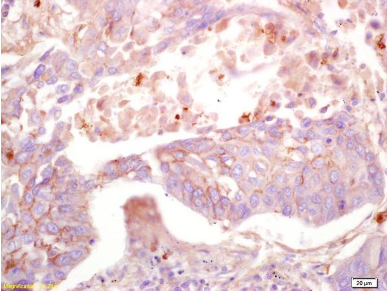
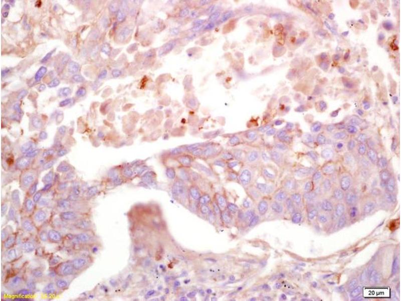
IHC-P 1:200-400
IHC-F 1:100-500
IF(IHC-P) 1:50-200
IF(IHC-F) 1:50-200
IF(ICC) 1:50-200
ICC 1:100-500 -
Beschränkungen
- Nur für Forschungszwecke einsetzbar
-
-
-
Format
- Liquid
-
Konzentration
- 1 μg/μL
-
Buffer
- 0.01M TBS( pH 7.4) with 1 % BSA, 0.02 % Proclin300 and 50 % Glycerol.
-
Konservierungsmittel
- ProClin
-
Vorsichtsmaßnahmen
- This product contains ProClin: a POISONOUS AND HAZARDOUS SUBSTANCE, which should be handled by trained staff only.
-
Lagerung
- 4 °C,-20 °C
-
Informationen zur Lagerung
- Shipped at 4°C. Store at -20°C for one year. Avoid repeated freeze/thaw cycles.
-
Haltbarkeit
- 12 months
-
-
- MAS1L (MAS1 Oncogene Like Protein (MAS1L))
-
Andere Bezeichnung
- Mas1l
-
Hintergrund
-
Synonyms: MRG, MAS-L, dJ994E9.2, Mas-related G-protein coupled receptor MRG, MAS-R, MAS1-like, MAS1L
Background: Belongs to the G-protein coupled receptor 1 family. Mas subfamily.
-
Gen-ID
- 116511
-
UniProt
- P35410
Target
-